ABAT Antibody

CATALOG NUMBER: 19-570

Clonality:
Polyclonal
Tested Applications:
IF, IHC, WB
Host Species:
Rabbit
Species Reactivity:
Human, Mouse, Rat
Conjugate:
Unconjugated
Specifications
Host Species:
Rabbit
Species Reactivity:
Human, Mouse, Rat
Immunogen:
Recombinant fusion protein containing a sequence corresponding to amino acids 29-300 of human ABAT (NP_001120920.1).
Conjugate:
Unconjugated
Tested Applications:
IF, IHC, WB
Application Note:
WB: 1:500 - 1:2000
IHC: 1:50 - 1:200
IF: 1:50 - 1:200
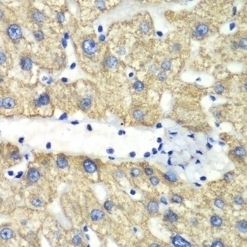
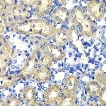
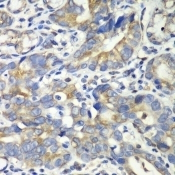
Positive Control 1:
SW480
Positive Control 2:
A375
Positive Control 3:
Mouse liver
Positive Control 4:
Mouse kidney
Positive Control 5:
Mouse brain
Predicted Molecular Weight:
Observed: 49kDa
Purification:
Affinity purification
Clonality:
Polyclonal
Isotype:
IgG
physical-state:
Liquid
Buffer:
PBS with 0.09% Sodium azide, 50% glycerol, pH7.3.
Concentration:
batch dependent
Storage Conditions:
Store at -20°C. Avoid freeze / thaw cycles.
Ncbi Official Symbol:
ABAT
Additional Names:
ABAT, GABA-AT, GABAT, NPD009
Ncbi Gene Id Number:
18
User Note:
Optimal dilutions for each application to be determined by the researcher.
Background:
4-aminobutyrate aminotransferase (ABAT) is responsible for catabolism of gamma-aminobutyric acid (GABA), an important, mostly inhibitory neurotransmitter in the central nervous system, into succinic semialdehyde. The active enzyme is a homodimer of 50-kD subunits complexed to pyridoxal-5-phosphate. The protein sequence is over 95% similar to the pig protein. GABA is estimated to be present in nearly one-third of human synapses. ABAT in liver and brain is controlled by 2 codominant alleles with a frequency in a Caucasian population of 0.56 and 0.44. The ABAT deficiency phenotype includes psychomotor retardation, hypotonia, hyperreflexia, lethargy, refractory seizures, and EEG abnormalities. Multiple alternatively spliced transcript variants encoding the same protein isoform have been found for this gene.

FOR RESEARCH USE ONLY

For additional information, visit ProSci’s Terms & Conditions Page.

Disclaimer:
Optimal dilutions/concentrations should be determined by the end user. The information provided is a guideline for product use. This product is for research use only.

CATALOG NUMBER:

19-570

List Size:
100 uL

List Price:

$436.00

Shipping Info
Customize your order
Custom Antibody Services

New & Featured Products

CATALOG NUMBER: PM-7369-HRP

CATALOG NUMBER: PM-7369-biotin

CATALOG NUMBER: PM-7369