ABL1 Antibody

CATALOG NUMBER: 13-126

Clonality:
Polyclonal
Tested Applications:
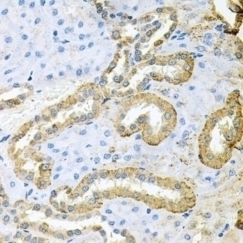
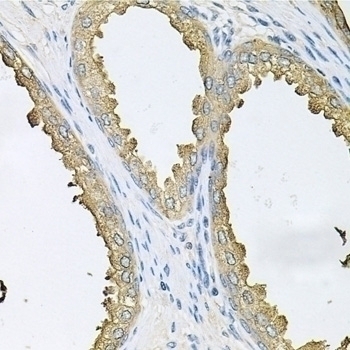
IF, IHC, WB
Host Species:
Rabbit
Species Reactivity:
Human, Mouse, Rat
Conjugate:
Unconjugated
Specifications
Host Species:
Rabbit
Species Reactivity:
Human, Mouse, Rat
Immunogen:
A synthetic peptide corresponding to a sequence within amino acids 490-590 of human ABL1 (NP_005148.2).
Conjugate:
Unconjugated
Tested Applications:
IF, IHC, WB
Application Note:
WB: 1:500 - 1:2000
IHC: 1:100 - 1:200
IF: 1:50 - 1:200
Positive Control 1:
HeLa
Predicted Molecular Weight:
Observed: 139kDa
Purification:
Affinity purification
Clonality:
Polyclonal
Isotype:
IgG
physical-state:
Liquid
Buffer:
PBS with 0.02% sodium azide, 50% glycerol, pH7.3.
Concentration:
batch dependent
Storage Conditions:
Store at -20°C. Avoid freeze / thaw cycles.
Ncbi Official Symbol:
ABL1
Additional Names:
Abelson tyrosine-protein kinase 2, Abelson murine leukemia viral oncogene homolog 2, Abelson-related gene protein, Tyrosine-protein kinase ARG, ABL2, ABLL, ARG
Ncbi Gene Id Number:
25
User Note:
Optimal dilutions for each application to be determined by the researcher.
Background:
This gene is a protooncogene that encodes a protein tyrosine kinase involved in a variety of cellular processes, including cell division, adhesion, differentiation, and response to stress. The activity of the protein is negatively regulated by its SH3 domain, whereby deletion of the region encoding this domain results in an oncogene. The ubiquitously expressed protein has DNA-binding activity that is regulated by CDC2-mediated phosphorylation, suggesting a cell cycle function. This gene has been found fused to a variety of translocation partner genes in various leukemias, most notably the t(9;22) translocation that results in a fusion with the 5' end of the breakpoint cluster region gene (BCR; MIM:151410). Alternative splicing of this gene results in two transcript variants, which contain alternative first exons that are spliced to the remaining common exons.

FOR RESEARCH USE ONLY

For additional information, visit ProSci’s Terms & Conditions Page.

Disclaimer:
Optimal dilutions/concentrations should be determined by the end user. The information provided is a guideline for product use. This product is for research use only.

CATALOG NUMBER:

13-126

List Size:
100 uL

List Price:

$436.00

Shipping Info
Customize your order
Custom Antibody Services

New & Featured Products

CATALOG NUMBER: PM-7369-HRP

CATALOG NUMBER: PM-7369-biotin

CATALOG NUMBER: PM-7369