Acetyl-Histone H3-K4 Rabbit Recombinant Antibody

CATALOG NUMBER: 82-925

Clonality:
Monoclonal
Tested Applications:
ChIP, DB, ELISA, IF/ICC, IHC-P, IP, WB
Host Species:
Rabbit
Species Reactivity:
Human, Mouse, Other (Wide Range Predicted), Rat
Conjugate:
Unconjugated
Specifications
Host Species:
Rabbit
Species Reactivity:
Human, Mouse, Other (Wide Range Predicted), Rat
Immunogen:
Synthetic peptide. This information is considered to be commercially sensitive.
Conjugate:
Unconjugated
Tested Applications:
ChIP, DB, ELISA, IF/ICC, IHC-P, IP, WB
Application Note:
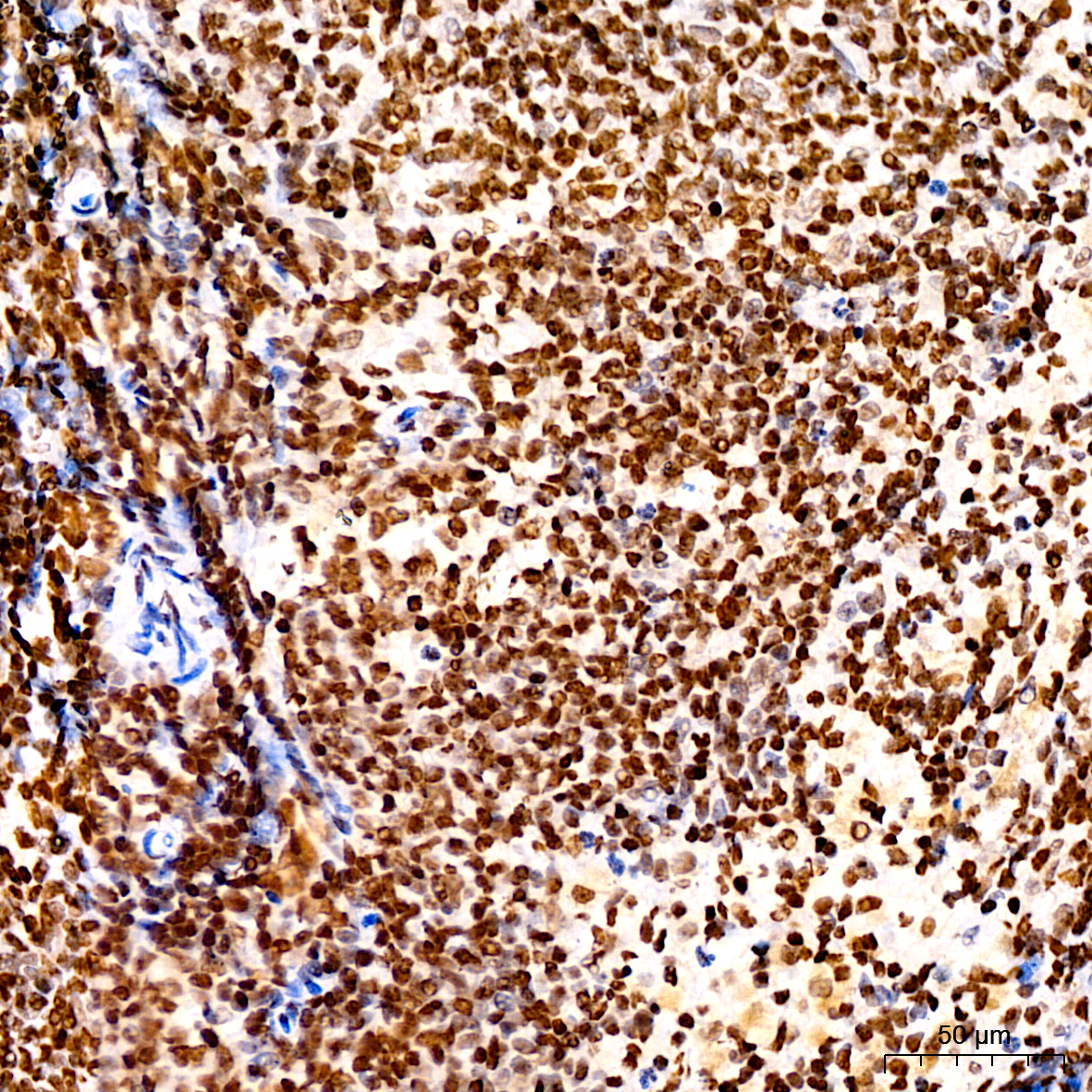
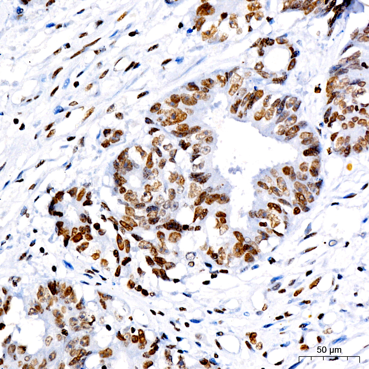
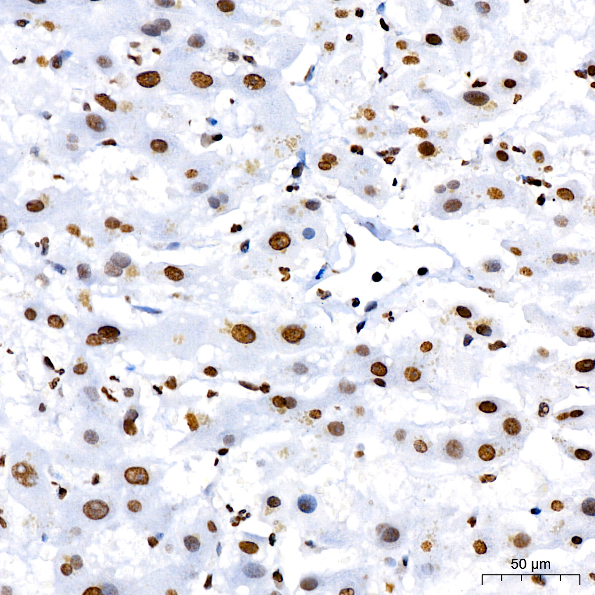
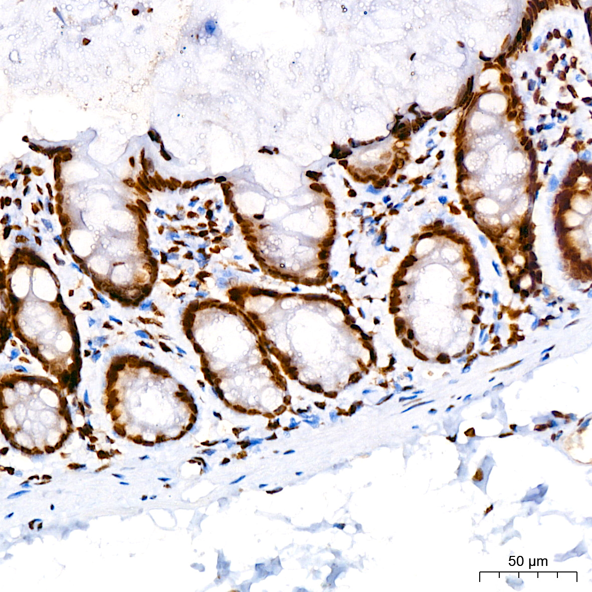
WB,1:1000 - 1:3000, IP,0.5μg-4μg antibody for 400μg-600μg extracts of whole cells, IF/ICC,1:200 - 1:2000, IHC-P,1:50 - 1:200, DB,1:1000 - 1:5000, ChIP,5μg antibody for 5μg-10μg of Chromatin, ELISA,Recommended starting concentration is 1 μg/mL. Please optimize the concentration based on your specific assay requirements.
Positive Control 1:
HeLa treated with TSA, NIH/3T3 treated with TSA, C6 treated with TSA
Predicted Molecular Weight:
15 kDa
purification:
Affinity purification
Clonality:
Monoclonal
Isotype:
IgG
physical-state:
Liquid
Buffer:
Buffer: PBS containing 50% glycerol and 0.05% BSA, preserved with proclin300 or sodium azide (as specified on the Certificate of Analysis), pH 7.3.
Concentration:
Batch dependent
Storage Conditions:
Store at -20℃. Avoid freeze / thaw cycles.
Ncbi Official Symbol:
Histone H3
Additional Names:
H3t; H3.4; H3/g; H3FT; H3C16; HIST3H3; Acetyl-Histone H3-K4
Protein Accession Number:
Q16695/P68431
Ncbi Gene Id Number:
8290/8350
User Note:
Optimal dilutions for each application to be determined by the researcher.
Background:
Histones are basic nuclear proteins that are responsible for the nucleosome structure of the chromosomal fiber in eukaryotes. Nucleosomes consist of approximately 146 bp of DNA wrapped around a histone octamer composed of pairs of each of the four core histones (H2A, H2B, H3, and H4). The chromatin fiber is further compacted through the interaction of a linker histone, H1, with the DNA between the nucleosomes to form higher order chromatin structures. This gene is intronless and encodes a replication-dependent histone that is a member of the histone H3 family. Transcripts from this gene lack polyA tails; instead, they contain a palindromic termination element. This gene is located separately from the other H3 genes that are in the histone gene cluster on chromosome 6p22-p21.3.

FOR RESEARCH USE ONLY

For additional information, visit ProSci’s Terms & Conditions Page.

Disclaimer:
This product is for research use only.

CATALOG NUMBER:

82-925

List Size:
100 uL

List Price:

$540.00

Shipping Info
Customize your order
Custom Antibody Services

New & Featured Products

CATALOG NUMBER: PM-7369-HRP

CATALOG NUMBER: PM-7369-biotin

CATALOG NUMBER: PM-7369