Acetyl-Histone H4-K8 pAb

CATALOG NUMBER: 22-817

Clonality:
Polyclonal
Tested Applications:
ChIP, ChIPseq, IF, IHC, IP, WB
Host Species:
Rabbit
Species Reactivity:
Mouse, Rat
Conjugate:
Unconjugated
Specifications
Host Species:
Rabbit
Species Reactivity:
Mouse, Rat
Immunogen:
A synthetic peptide of human Acetyl-Histone H4-K8
Conjugate:
Unconjugated
Tested Applications:
ChIP, ChIPseq, IF, IHC, IP, WB
Application Note:
WB: 1:1000 - 1:3000
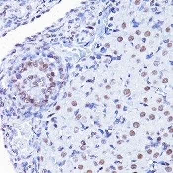
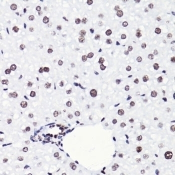
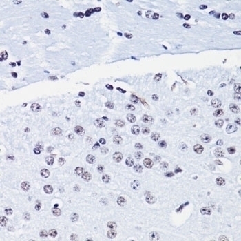
IHC: 1:200 - 1:500
IF: 1:500 - 1:1000
IP: 1:200 - 1:500
CHIP: 1:20 - 1:50
CHIP seq: 1:20 - 1:50
Positive Control 1:
293T
Positive Control 2:
H4
Predicted Molecular Weight:
Observed: 11kDa
Purification:
Affinity purification
Clonality:
Polyclonal
Isotype:
IgG
physical-state:
Liquid
Buffer:
PBS with 0.02% sodium azide, 50% glycerol, pH7.3.
Concentration:
batch dependent
Storage Conditions:
Store at -20°C. Avoid freeze / thaw cycles.
Ncbi Official Symbol:
H4K8ac
Additional Names:
H4/A, H4FA, HIST1H4B, H4/I, H4FI, HIST1H4C, H4/G, H4FG, HIST1H4D, H4/B, H4FB, HIST1H4E, H4/J, H4FJ, HIST1H4F, H4/C, H4FC, HIST1H4H, H4/H, H4FH, HIST1H4I, H4/M, H4FM, HIST1H4J, H4/E, H4FE, HIST1H4K, H4/D, H4FD, HIST1H4L, H4/K, H4FK, HIST2H4A, H4/N, H4F2, H4FN, HIST2H4, HIST2H4B, H4/O, H4FO, HIST4H4, Histone H4H4FA
Ncbi Gene Id Number:
8370
User Note:
Optimal dilutions for each application to be determined by the researcher.
Background:
Histones are basic nuclear proteins that are responsible for the nucleosome structure of the chromosomal fiber in eukaryotes. This structure consists of approximately 146 bp of DNA wrapped around a nucleosome, an octamer composed of pairs of each of the four core histones (H2A, H2B, H3, and H4). The chromatin fiber is further compacted through the interaction of a linker histone, H1, with the DNA between the nucleosomes to form higher order chromatin structures. This gene is intronless and encodes a replication-dependent histone that is a member of the histone H4 family. Transcripts from this gene lack polyA tails; instead, they contain a palindromic termination element. This gene is found in a histone cluster on chromosome 1. This gene is one of four histone genes in the cluster that are duplicated; this record represents the centromeric copy.

FOR RESEARCH USE ONLY

For additional information, visit ProSci’s Terms & Conditions Page.

Disclaimer:
Optimal dilutions/concentrations should be determined by the end user. The information provided is a guideline for product use. This product is for research use only.

CATALOG NUMBER:

22-817

List Size:
100 uL

List Price:

$540.00

Shipping Info
Customize your order
Custom Antibody Services

New & Featured Products

CATALOG NUMBER: PM-7369-HRP

CATALOG NUMBER: PM-7369-biotin

CATALOG NUMBER: PM-7369