KO

AIF Antibody, KO Validated

CATALOG NUMBER: 18-715

Clonality:
Polyclonal
Tested Applications:
IF, IHC, IP, WB
Host Species:
Rabbit
Species Reactivity:
Human, Mouse, Rat
Conjugate:
Unconjugated
Specifications
Host Species:
Rabbit
Species Reactivity:
Human, Mouse, Rat
Immunogen:
Recombinant fusion protein containing a sequence corresponding to amino acids 334-613 of human AIF (NP_004199.1).
Conjugate:
Unconjugated
Tested Applications:
IF, IHC, IP, WB
Application Note:
WB: 1:500 - 1:2000
IHC: 1:50 - 1:200
IF: 1:50 - 1:200
IP: 1:50 - 1:100
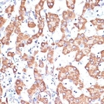
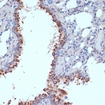
Positive Control 1:
SW620
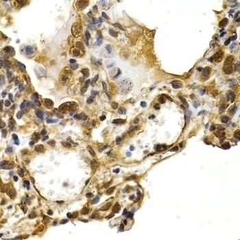
Positive Control 2:
22Rv1
Positive Control 3:
H460
Positive Control 4:
PC-3
Positive Control 5:
U-937
Positive Control 6:
Mouse liver
Predicted Molecular Weight:
Observed: 67kDa
Validation:
Antibody is Knockout validated.
Purification:
Affinity purification
Clonality:
Polyclonal
Isotype:
IgG
physical-state:
Liquid
Buffer:
PBS with 0.02% sodium azide, 50% glycerol, pH7.3.
Concentration:
batch dependent
Storage Conditions:
Store at -20°C. Avoid freeze / thaw cycles.
Ncbi Official Symbol:
AIFM1
Additional Names:
AIF Antibody: CNK, KSR, CNK1, Connector enhancer of kinase suppressor of ras 1, CNK homolog protein 1, Connector enhancer of KSR 1
Ncbi Gene Id Number:
9131
User Note:
Optimal dilutions for each application to be determined by the researcher.
Background:
This gene encodes a flavoprotein essential for nuclear disassembly in apoptotic cells, and it is found in the mitochondrial intermembrane space in healthy cells. Induction of apoptosis results in the translocation of this protein to the nucleus where it affects chromosome condensation and fragmentation. In addition, this gene product induces mitochondria to release the apoptogenic proteins cytochrome c and caspase-9. Mutations in this gene cause combined oxidative phosphorylation deficiency 6 (COXPD6), a severe mitochondrial encephalomyopathy, as well as Cowchock syndrome, also known as X-linked recessive Charcot-Marie-Tooth disease-4 (CMTX-4), a disorder resulting in neuropathy, and axonal and motor-sensory defects with deafness and mental retardation. Alternative splicing results in multiple transcript variants. A related pseudogene has been identified on chromosome 10.

FOR RESEARCH USE ONLY

For additional information, visit ProSci’s Terms & Conditions Page.

Disclaimer:
Optimal dilutions/concentrations should be determined by the end user. The information provided is a guideline for product use. This product is for research use only.

CATALOG NUMBER:

18-715

List Size:
100 uL

List Price:

$540.00

Shipping Info
Customize your order
Custom Antibody Services

New & Featured Products

CATALOG NUMBER: PM-7369-HRP

CATALOG NUMBER: PM-7369-biotin

CATALOG NUMBER: PM-7369