AK4 Antibody

CATALOG NUMBER: 18-467

Clonality:
Polyclonal
Tested Applications:
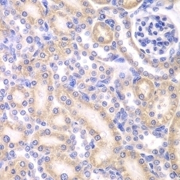
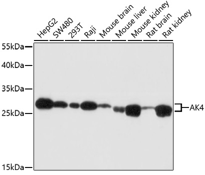
IF, IHC, IP, WB
Host Species:
Rabbit
Species Reactivity:
Human, Mouse, Rat
Conjugate:
Unconjugated
Specifications
Host Species:
Rabbit
Species Reactivity:
Human, Mouse, Rat
Immunogen:
Recombinant fusion protein containing a sequence corresponding to amino acids 1-223 of human AK4 (NP_037542.1).
Conjugate:
Unconjugated
Tested Applications:
IF, IHC, IP, WB
Application Note:
WB: 1:500 - 1:2000
IHC: 1:50 - 1:200
IF: 1:50 - 1:200
IP: 1:50 - 1:100
Positive Control 1:
HepG2
Positive Control 2:
Raji
Positive Control 3:
SW480
Positive Control 4:
Mouse liver
Positive Control 5:
Mouse kidney
Predicted Molecular Weight:
Observed: 27kDa
Purification:
Affinity purification
Clonality:
Polyclonal
Isotype:
IgG
physical-state:
Liquid
Buffer:
PBS with 0.02% sodium azide, 50% glycerol, pH7.3.
Concentration:
batch dependent
Storage Conditions:
Store at -20°C. Avoid freeze / thaw cycles.
Ncbi Official Symbol:
AK4
Additional Names:
AK3L1, AK3, AK4, AK 4, AK3L1, AK3L2
Ncbi Gene Id Number:
205
User Note:
Optimal dilutions for each application to be determined by the researcher.
Background:
This gene encodes a member of the adenylate kinase family of enzymes. The encoded protein is localized to the mitochondrial matrix. Adenylate kinases regulate the adenine and guanine nucleotide compositions within a cell by catalyzing the reversible transfer of phosphate group among these nucleotides. Five isozymes of adenylate kinase have been identified in vertebrates. Expression of these isozymes is tissue-specific and developmentally regulated. A pseudogene for this gene has been located on chromosome 17. Three transcript variants encoding the same protein have been identified for this gene. Sequence alignment suggests that the gene defined by NM_013410, NM_203464, and NM_001005353 is located on chromosome 1.

FOR RESEARCH USE ONLY

For additional information, visit ProSci’s Terms & Conditions Page.

Disclaimer:
Optimal dilutions/concentrations should be determined by the end user. The information provided is a guideline for product use. This product is for research use only.

CATALOG NUMBER:

18-467

List Size:
100 uL

List Price:

$436.00

Out of stock

Shipping Info
Customize your order
Custom Antibody Services

New & Featured Products

CATALOG NUMBER: PM-7369-HRP

CATALOG NUMBER: PM-7369-biotin

CATALOG NUMBER: PM-7369