KO
Trial Size

APP Antibody

CATALOG NUMBER: 2133

Clonality:
Polyclonal
Tested Applications:
ELISA, IHC-P, WB
Host Species:
Rabbit
Species Reactivity:
Human, Mouse, Rat
Conjugate:
Unconjugated
Specifications
Host Species:
Rabbit
Species Reactivity:
Human, Mouse, Rat
Homology:
Predicted species reactivity based on immunogen sequence: Bovine: (100%), Sheep: (100%), Rabbit: (100%), Guinea pig: (100%), Pig: (100%)
Immunogen:
APP antibody was raised against a peptide corresponding to 10 amino acids of human amyloid A4 protein precursor (APP) corresponding to the amino terminus of the 4K Ab peptide generated by beta- and gamma-secretases.
The immunogen is located within amino acids 650 - 700 of APP.
Conjugate:
Unconjugated
Tested Applications:
ELISA, IHC-P, WB
Application Note:
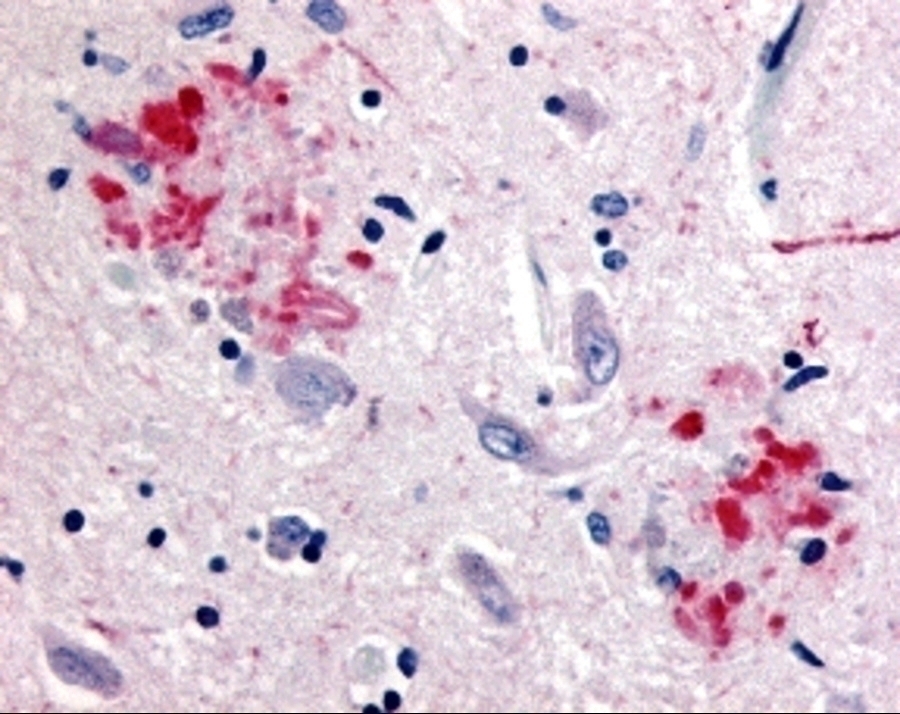
APP antibody can be used for detection of APP and Ab peptide by Western blot at 1 μg/mL. Antibody can also be used for immunohistochemistry starting at 2.5 μg/mL.
Antibody validated: Western Blot in human, mouse, and rat samples; Immunohistochemistry in human samples and Immunofluorescence in rat samples. All other applications and species not yet tested.
Positive Control 1:
Cat. No. 1403 - Mouse Brain Tissue Lysate
Positive Control 2:
Cat. No. 10-301 - Human Brain Tissue Slide
Predicted Molecular Weight:
Predicted: 83 kDa
Observed: 115 kDa
Validation:

KO Validation (Figure 1): Anti-APP antibodies (2133) specificity was further verified by APP specific knockout. APP signal was not detected in APP knockout 293T cells as compared to that in control wild type cells.

Purification:
APP Antibody is affinity chromatography purified via peptide column.
Clonality:
Polyclonal
Isotype:
IgG
physical-state:
Liquid
Buffer:
APP Antibody is supplied in PBS containing 0.02% sodium azide.
Concentration:
1 mg/mL
Storage Conditions:
APP antibody can be stored at 4°C for three months and -20°C, stable for up to one year. As with all antibodies care should be taken to avoid repeated freeze thaw cycles. Antibodies should not be exposed to prolonged high temperatures.
Ncbi Official Symbol:
APP
Additional Names:
APP Antibody: AAA, AD1, PN2, ABPP, APPI, CVAP, ABETA, PN-II, CTFgamma, A4, Amyloid beta A4 protein, APP
Protein Accession Number:
CAA30050
Protein Gi Number:
28721
Ncbi Gene Id Number:
351
User Note:
Optimal dilutions for each application to be determined by the researcher.
Background:
APP Antibody: Accumulation of the amyloid-beta peptide (Abeta) in the cerebral cortex is a critical event in the pathogenesis of Alzheimer's disease. The beta-amyloid protein precursor (APP) is cleaved by beta-secretase, producing a soluble derivative of the protein and a membrane anchored 99-amino acid carboxy-terminal fragment (C99). The C99 fragment serves as substrate for gamma-secretase to generate the 4 kDa amyloid-beta peptide (Abeta), which is deposited in the brains of all suffers of Alzheimer's disease.
Background Reference 1:
Ponte P, Gonzalez-DeWhitt P, Schilling J, et al. A new A4 amyloid mRNA contains a domain homologous to serine proteinase inhibitors. Nature 1988; 331:525-7.
Background Reference 2:
Selkoe D.J. Cell biology of the amyloid β-protein precursor and the mechanism of Alzheimer's disease. Annu. Rev. Cell Biol. 1994; 10:373-403.

FOR RESEARCH USE ONLY

For additional information, visit ProSci’s Terms & Conditions Page.

Disclaimer:
Optimal dilutions/concentrations should be determined by the end user. The information provided is a guideline for product use. This product is for research use only.

CATALOG NUMBER:

2133

List Size:
0.02 mg, 0.1 mg

List Price:

Price range: $99.00 through $445.00

Shipping Info
Customize your order
Custom Antibody Services

New & Featured Products

CATALOG NUMBER: PM-7369-HRP

CATALOG NUMBER: PM-7369-biotin

CATALOG NUMBER: PM-7369