Trial Size

APP Antibody

CATALOG NUMBER: 5143

Clonality:
Polyclonal
Tested Applications:
ELISA, IF, IHC-P, WB
Host Species:
Rabbit
Species Reactivity:
Human, Mouse, Rat
Conjugate:
Unconjugated
Specifications
Host Species:
Rabbit
Species Reactivity:
Human, Mouse, Rat
Homology:
Predicted species reactivity based on immunogen sequence: Pig: (94%), Guinea pig: (94%)
Immunogen:
APP antibody was raised against an 18 amino acid synthetic peptide near the amino terminus of human APP.
The immunogen is located within amino acids 180 - 230 of APP.
Conjugate:
Unconjugated
Tested Applications:
ELISA, IF, IHC-P, WB
Application Note:
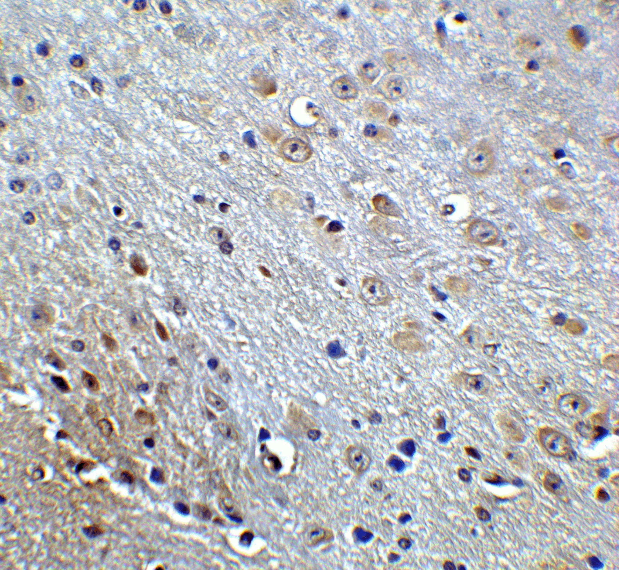
APP antibody can be used for detection of APP by Western blot at 1 - 2 μg/mL. Antibody can also be used for immunohistochemistry starting at 2.5 μg/mL. For immunofluorescence start at 20 μg/mL.
Antibody validated: Western Blot in rat samples; Immunohistochemistry in mouse samples and Immunofluorescence in mouse samples. All other applications and species not yet tested.
Positive Control 1:
Cat. No. 1463 - Rat Brain Tissue Lysate
Purification:
APP Antibody is affinity chromatography purified via peptide column.
Clonality:
Polyclonal
Isotype:
IgG
physical-state:
Liquid
Buffer:
APP Antibody is supplied in PBS containing 0.02% sodium azide.
Concentration:
1 mg/mL
Storage Conditions:
APP antibody can be stored at 4°C for three months and -20°C, stable for up to one year. As with all antibodies care should be taken to avoid repeated freeze thaw cycles. Antibodies should not be exposed to prolonged high temperatures.
Ncbi Official Symbol:
APP
Additional Names:
APP Antibody: AAA, AD1, PN2, ABPP, APPI, CVAP, ABETA, PN-II, CTFgamma, A4, Amyloid beta A4 protein, APP
Protein Accession Number:
CAA30050
Protein Gi Number:
28721
Ncbi Gene Id Number:
351
User Note:
Optimal dilutions for each application to be determined by the researcher.
Background:
APP Antibody: Accumulation of the amyloid-beta peptide (Abeta) in the cerebral cortex is a critical event in the pathogenesis of Alzheimer's disease. The beta-amyloid protein precursor (APP) is cleaved by one of two beta-secretases (BACE and BACE2), producing a soluble derivative of the protein and a membrane anchored 99-amino acid carboxy-terminal fragment (C99). The C99 fragment serves as substrate for gamma-secretase to generate the 4 kDa amyloid-beta peptide (Abeta), which is deposited in the Alzheimer's disease patient's brains. Recently, Death Receptor 6 (DR6) was found to interact with an amino-terminal fragment of the Beta-amyloid protein (N-APP) in neurons, activating a caspase 6-dependent apoptotic event leading to axonal degeneration and pruning during development, suggesting that these two proteins are involved in neural development and may possibly play a role in Alzheimer's disease.
Background Reference 1:
Ponte P, Gonzalez-DeWhitt P, Schilling J, et al. A new A4 amyloid mRNA contains a domain homologous to serine proteinase inhibitors. Nature1988; 331:525-77.
Background Reference 2:
Selkoe DJ. Cell biology of the amyloid beta-protein precursor and the mechanism of Alzheimer's disease. Annu Rev Cell Biol1994; 10:373-403.
Background Reference 3:
Nikolaev A, McLaughlin T, O'Leary DD, et al. APP binds DR6 to trigger axon pruning and neuron death via distinct caspases. Nature2009; 457:981-9.

FOR RESEARCH USE ONLY

For additional information, visit ProSci’s Terms & Conditions Page.

Disclaimer:
Optimal dilutions/concentrations should be determined by the end user. The information provided is a guideline for product use. This product is for research use only.

CATALOG NUMBER:

5143

List Size:
0.02 mg, 0.1 mg

List Price:

Price range: $99.00 through $445.00

Shipping Info
Customize your order
Custom Antibody Services

New & Featured Products

CATALOG NUMBER: PM-7369-HRP

CATALOG NUMBER: PM-7369-biotin

CATALOG NUMBER: PM-7369