Trial Size

ASAH1 Antibody

CATALOG NUMBER: 4741

Clonality:
Polyclonal
Tested Applications:
ELISA, IF, IHC-P, WB
Host Species:
Rabbit
Species Reactivity:
Human, Mouse, Rat
Conjugate:
Unconjugated
Specifications
Host Species:
Rabbit
Species Reactivity:
Human, Mouse, Rat
Homology:
Predicted species reactivity based on immunogen sequence: Bovine: (88%)
Immunogen:
ASAH1 antibody was raised against a 16 amino acid synthetic peptide near the carboxy terminus of the human ASAH1.
The immunogen is located within amino acids 240 - 290 of ASAH1.
Conjugate:
Unconjugated
Tested Applications:
ELISA, IF, IHC-P, WB
Application Note:
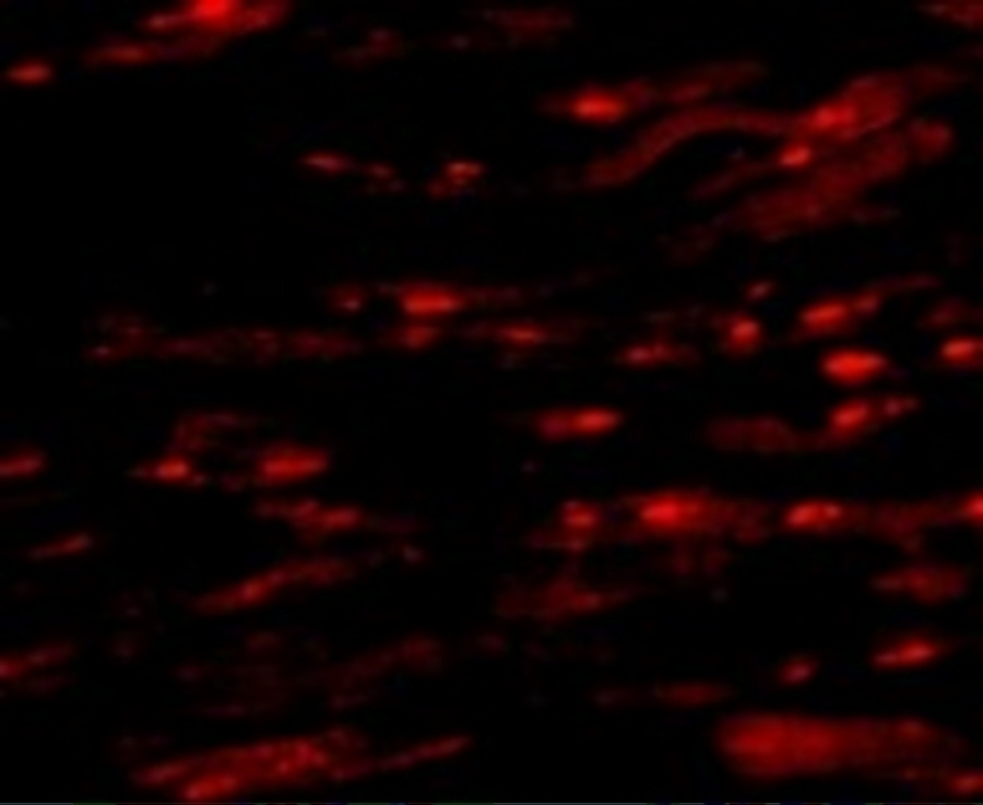
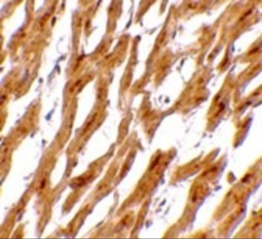
ASAH1 antibody can be used for detection of ASAH1 by Western blot at 1 and 2 μg/mL. Antibody can also be used for immunohistochemistry starting at 2.5 μg/mL. For immunofluorescence start at 20 μg/mL.
Antibody validated: Western Blot in human samples; Immunohistochemistry in human and rat samples and Immunofluorescence in human and rat samples. All other applications and species not yet tested.
Specificity:
Multiple isoforms of ASAH1 are known to exist.
Positive Control 1:
Cat. No. 1301 - Human Heart Tissue Lysate
Positive Control 2:
Cat. No. 10-501 - Human Heart Tissue Slide
Predicted Molecular Weight:
Predicted: 45 kDa
Observed: 49 kDa
Purification:
ASAH1 Antibody is affinity chromatography purified via peptide column.
Clonality:
Polyclonal
Isotype:
IgG
physical-state:
Liquid
Buffer:
ASAH1 Antibody is supplied in PBS containing 0.02% sodium azide.
Concentration:
1 mg/mL
Storage Conditions:
ASAH1 antibody can be stored at 4°C for three months and -20°C, stable for up to one year. As with all antibodies care should be taken to avoid repeated freeze thaw cycles. Antibodies should not be exposed to prolonged high temperatures.
Ncbi Official Symbol:
ASAH1
Additional Names:
ASAH1 Antibody: AC, PHP, ASAH, PHP32, ACDase, SMAPME, HSD-33, HSD33, Acid ceramidase, Acylsphingosine deacylase, AC
Protein Accession Number:
EAW63795
Protein Gi Number:
119584199
Ncbi Gene Id Number:
427
User Note:
Optimal dilutions for each application to be determined by the researcher.
Background:
ASAH1 Antibody: Sphingolipids are hydrolyzed by ceramidases to yield sphingosine and fatty acids. These ceramidases are classified according to the pH range that supports their optimal activity. ASAH1 is an acid ceramidase and key regulator of ceramide metabolism. Mutations in this gene results in Farber Lipogranulomatosis, a fatal human genetic disorder that results in the painful swelling of the joints and tendons and pulminary insufficiency, while a complete knockout of its expression is lethal in mice. Recent studies have shown elevated levels of ASAH1 in Alzheimer's disease (AD) patients correlating with a reduction in sphingomyelin and elevation of ceramide. Pretreatment of cultured neurons with recombinant AHAH1 prevented the cells from undergoing A-beta (Ab)-induced apoptosis.
Background Reference 1:
Nilsson A and Duan RD. Alkaline sphingomyelinases and ceramidases of the gastrointestinal tract. Chem. Phys. Lipids 1999; 102:97-105.
Background Reference 2:
Koch J, Gartner S, Li CM, et al. Molecular cloning and characterization of a full-length complementary DNA encoding human acid ceramidase. Identification of the first molecular lesion causing Farber's disease. J. Biol. Chem. 1996; 271:33110-5.
Background Reference 3:
Li CM, Park JH, Simonaro CM, et al. Insertional mutagenesis of the mouse acid ceramidase gene leads to early embryonic lethality in homozygotes and progressive lipid storage disease in heterozygotes. Genomics 2002; 79:218-24.
Background Reference 4:
He X, Huang Y, Li B, et al. Deregulation of sphingolipid metabolism in Alzheimer's disease. Neurobiol. Aging 2010; 31:398-408.

FOR RESEARCH USE ONLY

For additional information, visit ProSci’s Terms & Conditions Page.

Disclaimer:
Optimal dilutions/concentrations should be determined by the end user. The information provided is a guideline for product use. This product is for research use only.

CATALOG NUMBER:

4741

List Size:
0.02 mg, 0.1 mg

List Price:

Price range: $99.00 through $445.00

Shipping Info
Customize your order
Custom Antibody Services

New & Featured Products

CATALOG NUMBER: PM-7369-HRP

CATALOG NUMBER: PM-7369-biotin

CATALOG NUMBER: PM-7369