B7-H3 Detection Set (Risk Free)

CATALOG NUMBER: RF16090

Clonality:
Monoclonal
Tested Applications:
ELISA, Flow, ICC, IF, IHC-P, WB
Host Species:
Mouse
Species Reactivity:
Human
Conjugate:
Unconjugated
Specifications
Host Species:
Mouse
Species Reactivity:
Human
Immunogen:
B7-H3 antibodies were raised against the extracellular domain of human B7-H3
Conjugate:
Unconjugated
Tested Applications:
ELISA, Flow, ICC, IF, IHC-P, WB
Set Contents:
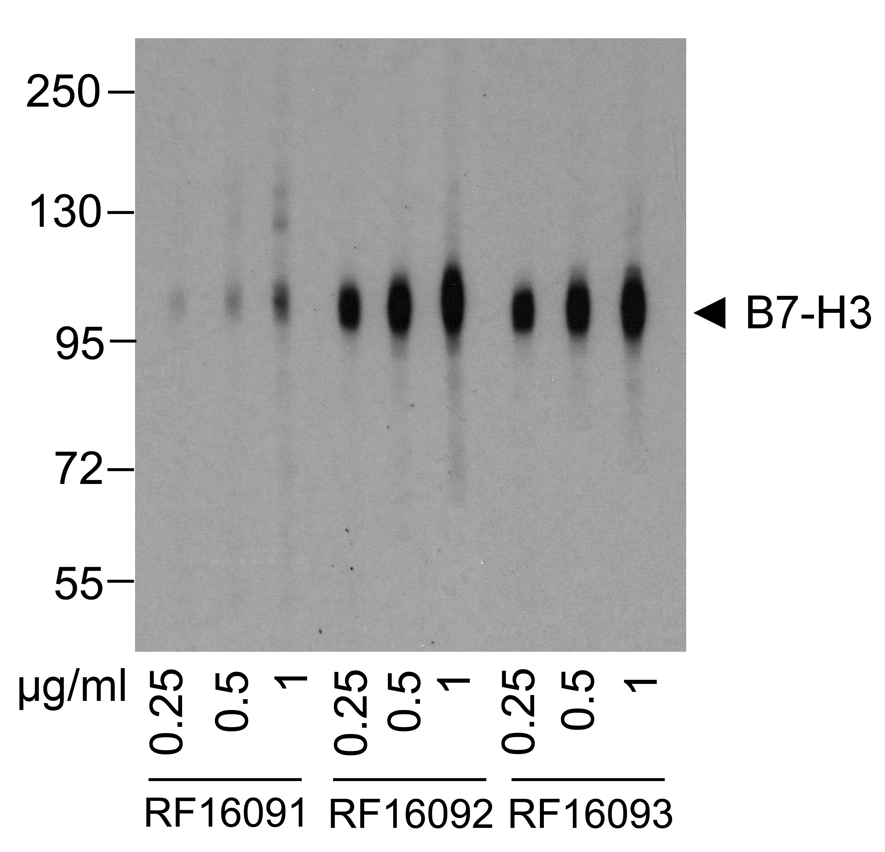
B7-H3 Antibody [2H5], Cat. No. RF16091 (20 μg)

B7-H3 Antibody [2A7], Cat. No. RF16092 (20 μg)
B7-H3 Antibody [4H3], Cat. No. RF16093 (20 μg)
B7-H3 Antibody [7B3], Cat. No. RF16094 (20 μg)
B7-H3 Antibody [10G6], Cat. No. RF16095 (20 μg)
Purification:
Antibodies are supplied as protein A purified IgG1
Clonality:
Monoclonal
Isotype:
IgG1
physical-state:
Liquid
Buffer:
PBS containing 0.02% sodium azide.
Concentration:
Antibody 1 mg/mL
Storage Conditions:
Antibodies can be stored at 4°C for three months and -20°C, stable for up to one year. As with all antibodies care should be taken to avoid repeated freeze thaw cycles. Antibodies should not be exposed to prolonged high temperatures.
User Note:
Optimal dilutions for each application to be determined by the researcher.
Background:
B7-H3 Antibody: CD276, also known as B7-H3, was initially identified as a member of the B7 family of proteins through its homology with previously identified B7 molecules (1). CD276 mRNA is widely expressed, but its protein expression is usually rather low (2). CD276 has been shown to play a role in both the costimulation as well as the coinhibition of T cell response (3). In a similar fashion, CD276 plays a critical role in the control of antitumor immune responses in some cases, while in others appears to mediate antitumor immunity (4). It thus joins other immune checkpoint proteins as a possible therapeutic target for at least a subset of cancers. ProSci's Risk-FreeTM antibodies are mouse monoclonal antibodies made to improve in vivo studies. Unlike antibodies developed using proteins made in yeast or bacteria, Risk-FreeTM antibodies are developed with antigens expressed in mammalian cell lines, giving the most native post-translational modifications to the protein. Validated for flow cytometry and ELISA Rigorously tested for the following applications: Immunoblot Immunohistochemistry Immunocytochemistry Immunofluorescence Multiple antibodies per target allowing the user to choose the best antibody for their application Available individually or as a set Risk-FreeTM means they are guaranteed to work for their approved applications
Background Reference 1:
Chapoval AI, Ni J, Lau JS, et al. B7-H3: a costimulatory molecule for T cell activation and IFN-gamma production. Nat Immunol 2001; 2:269-74.
Background Reference 2:
Sun M, Richards S, Prasad DV, et al. Characterization of mouse and human B7-H3 genes. J Immunol 2002; 168:6294-7.
Background Reference 3:
Yi KH and Chen L. Fine tuning the immune response through B7-H3 and B7-H4. Immunol Rev 2009; 229:145-51.
Background Reference 4:
Wang L, Kang FB, and Shan BE. B7-H3-mediated tumor immunology: friend or foe?. Int J Cancer 2014; 134:2764-71.
Set Contents:
B7-H3 Antibody [2H5], Cat. No. RF16091 (20 μg)

B7-H3 Antibody [2A7], Cat. No. RF16092 (20 μg)
B7-H3 Antibody [4H3], Cat. No. RF16093 (20 μg)
B7-H3 Antibody [7B3], Cat. No. RF16094 (20 μg)
B7-H3 Antibody [10G6], Cat. No. RF16095 (20 μg)

FOR RESEARCH USE ONLY

For additional information, visit ProSci’s Terms & Conditions Page.

Disclaimer:
This product is for research use only.

CATALOG NUMBER:

RF16090

List Size:
1 Set

List Price:

$429.00

Shipping Info
Customize your order
Custom Antibody Services

New & Featured Products

CATALOG NUMBER: PM-7369-HRP

CATALOG NUMBER: PM-7369-biotin

CATALOG NUMBER: PM-7369