Trial Size

B7H3 Antibody [4H3]

CATALOG NUMBER: RF16093

Clonality:
Monoclonal
Tested Applications:
ELISA, Flow, ICC, IF, IHC-P, WB
Host Species:
Mouse
Species Reactivity:
Human
Conjugate:
Unconjugated
Specifications
Host Species:
Mouse
Species Reactivity:
Human
Immunogen:
B7-H3 antibody was raised against the extracellular domain of human B7-H3
Conjugate:
Unconjugated
Tested Applications:
ELISA, Flow, ICC, IF, IHC-P, WB
Application Note:
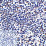
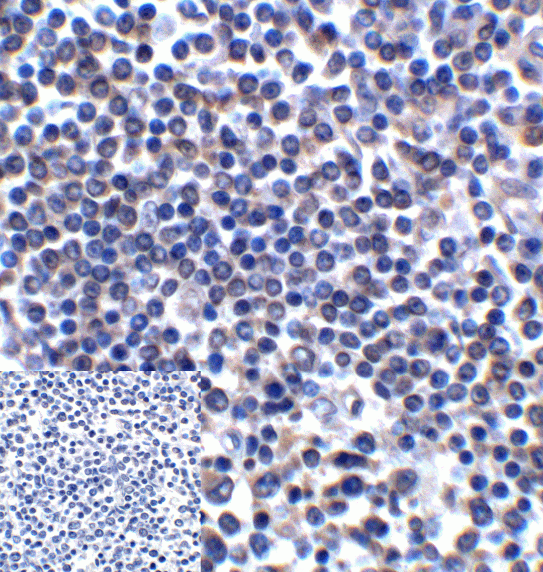
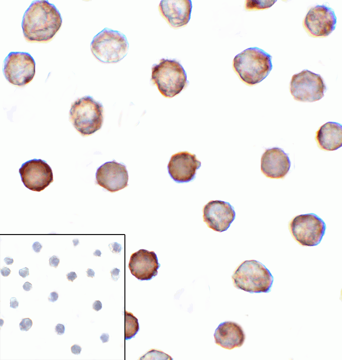
B7-H3 antibody can be used for detection of B7-H3 by Western blot at 0.25 μg/mL. Antibody can also be used for immunohistochemistry starting at 2 μg/mL and Immunocytochemistry starting at 1 μg/mL. For immunofluorescence start at 10 μg/mL. Flow cytometry at 1 μg/ml.
Antibody validated: Western Blot in human samples; Immunohistochemistry in human samples; Immunocytochemistry in human samples; Immunofluorescence in human samples and Flow Cytometry in human samples. All other applications and species not yet tested.
Positive Control 1:
Cat. No. 1210 - HEK293 Cell Lysate
Positive Control 2:
Cat. No. 17-010 - HEK293 Cell Slide
Predicted Molecular Weight:
Predicted: 57 kDa
Observed: 100 kDa
Purification:
B7-H3 Antibody is supplied as protein A purified IgG1.
Clonality:
Monoclonal
Isotype:
IgG1,k
physical-state:
Liquid
Buffer:
B7-H3 Antibody is supplied in PBS containing 0.02% sodium azide and 50% glycerol.
Concentration:
1 mg/mL
Storage Conditions:
B7-H3 antibody can be stored at 4°C for three months and -20°C, stable for up to one year. As with all antibodies care should be taken to avoid repeated freeze thaw cycles. Antibodies should not be exposed to prolonged high temperatures.
Ncbi Official Symbol:
CD276
Additional Names:
B7-H3 Antibody: CD276 molecule, B7H3, B7RP-2, 4Ig-B7-H3, CD276
Protein Accession Number:
NP_001019907
Protein Gi Number:
67188443
Ncbi Gene Id Number:
80381
User Note:
Optimal dilutions for each application to be determined by the researcher.
Background:
CD276, also known as B7-H3, was initially identified as a member of the B7 family of proteins through its homology with previously identified B7 molecules (1). CD276 mRNA is widely expressed, but its protein expression is usually rather low (2). CD276 has been shown to play a role in both the costimulation as well as the coinhibition of T cell response (3). In a similar fashion, CD276 plays a critical role in the control of antitumor immune responses in some cases, while in others appears to mediate antitumor immunity (4). It thus joins other immune checkpoint proteins as a possible therapeutic target for at least a subset of cancers.
Background Reference 1:
Chapoval AI, Ni J, Lau JS, et al. B7-H3: a costimulatory molecule for T cell activation and IFN-gamma production. Nat Immunol 2001; 2:269-74.
Background Reference 2:
Sun M, Richards S, Prasad DV, et al. Characterization of mouse and human B7-H3 genes. J Immunol 2002; 168:6294-7.
Background Reference 3:
Yi KH and Chen L. Fine tuning the immune response through B7-H3 and B7-H4. Immunol Rev 2009; 229:145-51.
Background Reference 4:
Wang L, Kang FB, and Shan BE. B7-H3-mediated tumor immunology: friend or foe?. Int J Cancer 2014; 134:2764-71.

FOR RESEARCH USE ONLY

For additional information, visit ProSci’s Terms & Conditions Page.

Disclaimer:
Optimal dilutions/concentrations should be determined by the end user. The information provided is a guideline for product use. This product is for research use only.

CATALOG NUMBER:

RF16093

List Size:
0.02 mg, 0.1 mg

List Price:

Price range: $99.00 through $445.00

Shipping Info
Customize your order
Custom Antibody Services

New & Featured Products

CATALOG NUMBER: PM-7369-HRP

CATALOG NUMBER: PM-7369-biotin

CATALOG NUMBER: PM-7369