IAV
KD
KO
Most Cited
Most Images
Trial Size

BACE Antibody

CATALOG NUMBER: 2253

Clonality:
Polyclonal
Tested Applications:
ELISA, IHC-P, WB, IHC-P/IF
Host Species:
Rabbit
Species Reactivity:
Human, Mouse
Conjugate:
Unconjugated
Specifications
Host Species:
Rabbit
Species Reactivity:
Human, Mouse
Homology:
Predicted species reactivity based on immunogen sequence: Guinea pig: (94%), Rat: (94%), Bovine: (94%)
Immunogen:
Anti-BACE antibody (2253) was raised against a peptide corresponding to 17 amino acids near the carboxy terminus of human BACE.
The immunogen is located within the last 50 amino acids of BACE.
Conjugate:
Unconjugated
Tested Applications:
ELISA, IHC-P, WB, IHC-P/IF
Application Note:
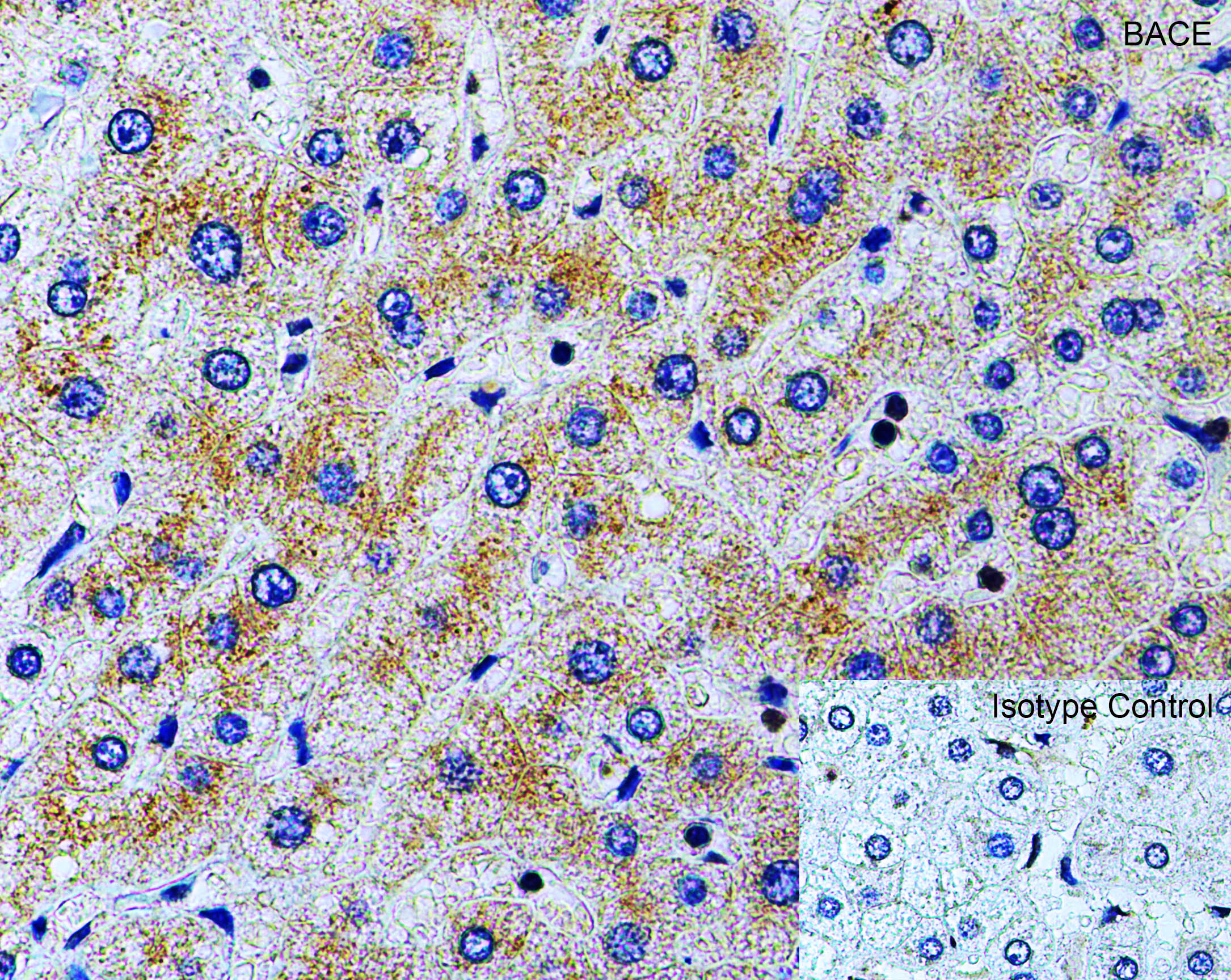
WB: 1 μg/mL; IHC-P: 2.5 μg/mL; ICC: 10 μg/mL; IF: 20 μg/mL.
Antibody validated: Western Blot in human and mouse samples; Immunohistochemistry, Immunocytochemistry and Immunofluorescence in mouse samples. All other applications and species not yet tested.
Positive Control 1:
Cat. No. 1303 - Human Brain Tissue Lysate
Positive Control 2:
Cat. No. 1282 - 3T3/NIH Cell Lysate
Predicted Molecular Weight:
Predicted: 55kD
Observed: 65kD (Post-modification: 4 N-linked glycosylation)
Validation:

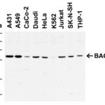
Independent Antibody Validation in Cell lines (Figure 2) shows similar BACE expression profile in human cell lines detected by two independent anti-BACE antibodies that recognize different epitopes, 2253 against C-terminus domain and  32-238 against recombinant fragment protein.  BACE proteins are detected in all the tested cell lines except K562 at different expression levels by the two independent antibodies.  

KO validation (Figure 6,9): Anti-BACE antibody (2253) specificity was further verified by BACE KO mice (figure6) and KO cell line (figure9). BACE signal was not detected in BACE KO mice and KO cell line.

KD validation (Figure 7,8,10): Anti-BACE antibody (2253) specificity was verified by BACE specific siRNA knockdown. BACE signal in mouse brain injected with BACE siRNAs and DRG transfected with BACE siRNAs was disrupted in comparison with control.

Overexpression validation (Figure 6): Anti-BACE antibody (2253) detected high expression levels of BACE in 293 cells transfected with hBACE or mBACE (figure6) as compared to eGFP transfected cells.

Isoforms:
Human BACE has 6 isoforms, including isoform A (501aa, 55.8kD), isoform B (476aa, 52.9kD), isoform C (457aa, 51.1kD), isoform D (432aa, 48.2kD), isoform 5 (401aa, 45kD) and isoform 6 (376aa, 42.2kD). This antibody detects all human isoforms. Mouse BACE has only 1 isoform (501aa, 55.7kD). Rat BACE has only one isoform identified so far (501aa, 55.8kD).
Purification:
BACE Antibody is affinity chromatography purified via peptide column.
Clonality:
Polyclonal
Isotype:
IgG
physical-state:
Liquid
Buffer:
BACE Antibody is supplied in PBS containing 0.02% sodium azide.
Concentration:
1 mg/mL
Storage Conditions:
BACE antibody can be stored at 4°C for three months and -20°C, stable for up to one year. As with all antibodies care should be taken to avoid repeated freeze thaw cycles. Antibodies should not be exposed to prolonged high temperatures.
Ncbi Official Symbol:
BACE1
Additional Names:
BACE Antibody: ASP2, BACE, HSPC104, KIAA1149, Beta-secretase 1, Aspartyl protease 2, ASP2
Protein Accession Number:
AF190725
Protein Gi Number:
6118538
Ncbi Gene Id Number:
23621
User Note:
Optimal dilutions for each application to be determined by the researcher.
Background:
BACE Antibody: Accumulation of the amyloid-beta (Abeta) plaque in the cerebral cortex is a critical event in the pathogenesis of Alzheimer's disease. Abeta peptide is generated by proteolytic cleavage of the beta-amyloid protein precursor (APP) at beta- and gamma-sites by two proteases. APP is first cleaved by beta-secretase, producing a soluble derivative of the protein and a membrane anchored 99-amino acid carboxy-terminal fragment (C99). The C99 fragment serves as substrate for gamma-secretase to generate the 4 kDa amyloid-beta peptide, which is deposited in the brains of all suffers of Alzheimer's disease. The long-sought beta-secretase was recently identified by several groups independently and designated beta-site APP cleaving enzyme (BACE) and aspartyl protease 2 (Asp2). BACE/Asp2 is a novel transmembrane aspartic protease and colocalizes with APP.
Background Reference 1:
Vassar et al. Science 1999;286:735-41
Background Reference 2:
Hussain et al. Mol Cell Neurosci 1999;14:419-27
Background Reference 3:
Yan et al. Nature 1999;402:533-7
Background Reference 4:
Sinha et al. Nature 1999;402:537-40
Citation 1:
Singer et al. Targeting BACE1 with siRNAs ameliorates Alzheimer disease neuropathology in a transgenic model. Nat Neurosci. 2005;8(10):1343-9. PMID: 16136043
Citation 2:
Jo et al.Evidence that gamma-secretase mediates oxidative stress-induced beta-secretase expression in Alzheimer's disease. Neurobiol Aging. 2010;31(6):917-25. PMID: 18687504
Citation 3:
Hyun. RNA Interference Against BACE1 Suppresses BACE1 and Aβ Expression in PC12 Cells and DRG Neurons. Stanford Journal of Neuroscience. 2007; 1(1):2-8.PMID:
Citation 4:
Okada et al. Proteomic identification of sorting nexin 6 as a negative regulator of BACE1-mediated APP processing. FASEB J. 2010;24(8):2783-94PMID: 20354142
Citation 5:
Liu et al. Glu11 site cleavage and N-terminally truncated A beta production upon BACE overexpression. Biochemistry. 2002;41(9):3128-36PMID: 11863452
Citation 6:
Colombo et al. JNK regulates APP cleavage and degradation in a model of Alzheimer's disease. Neurobiol Dis. 2009;33(3):518-25PMID: 19166938
Citation 7:
Bettegazzi et al. β-Secretase activity in rat astrocytes:translational block of BACE1 and modulation of BACE2 expression. Eur J Neurosci. 2011;33(2):236-43.PMID: 21073551
Citation 8:
Lichtenthaler et al. The cell adhesion protein P-selectin glycoprotein ligand-1 is a substrate for the aspartyl protease BACE1. J Biol Chem. 2003;278(49):48713-9PMID: 14507929
Citation 9:
Lee et al. Secretion and intracellular generation of truncated Abeta in beta site amyloid-beta precursor protein-cleaving enzyme expressing human neurons. J Biol Chem. 2003;278(7):4458-66PMID: 12480937
Citation 10:
Rockenstein et al. High beta-secretase activity elicits neurodegeneration in transgenic mice despite reductions in amyloid-beta levels: implications for the treatment of Alzheimer disease. J Biol Chem. 2005;280(38):32957-67. PMID: 16027115
Citation 11:
Catania et al. The amyloidogenic potential and behavioral correlates of stress. Mol Psychiatry. 2009;14(1):95-105PMID: 17912249
Citation 12:
Parisiadou et al.Homer2 and Homer3 interact with amyloid precursor protein and inhibit Abeta production. Neurobiol Dis. 2008;30(3):353-64PMID: 18387811
Citation 13:
Knock et al. SUMO1 impact on Alzheimer disease pathology in an amyloid depositing mouse model. Neurobiol Dis. 2018;110:154-165PMID: 29217476
Citation 14:
Debatin et al. Association between deposition of beta-amyloid and pathological prion protein in sporadic Creutzfeldt-Jakob disease. Neurodegener Dis. 2008;5(6):347-54.PMID: 18349519
Citation 15:
Gwon etal. Selenium attenuates A beta production and A beta-induced neuronal death. Neurosci Lett. 2010;469(3):391-5. PMID: 20026385
Citation 16:
Kuhn et al. Regulated intramembrane proteolysis of the interleukin-1 receptor II by alpha-, beta, and gamma-secretase. J Biol Chem. 2007;282(16):11982-95. PMID: 17307738
Citation 17:
Succol et al. A role for 12/15 lipoxygenase in the amyloid beta precursor protein metabolism. J Neurochem. 2007;103(1):380-7.PMID: 17877641
Citation 18:
Zhuo et al. Severe In vivo hyper-homocysteinemia is not associatedwith elevation of amyloid-beta peptides in the Tg2576 mice. J Alzheimers Dis. 2010;21(1):133-40. PMID: 20555139
Citation 19:
Zhuo et al. Acceleration of brain amyloidosis in an Alzheimer's disease mouse model by a folate, vitamin B6 and B12-deficient diet. Exp Gerontol.2010;45(3):195-201. PMID: 20005283
Citation 20:
Malnar et al. Cholesterol-depletion corrects APP and BACE1 misstrafficking in NPC1-deficient cells. Biochim Biophys Acta. 2012;1822(8):1270-83. PMID: 22551668

FOR RESEARCH USE ONLY

For additional information, visit ProSci’s Terms & Conditions Page.

Disclaimer:
Optimal dilutions/concentrations should be determined by the end user. The information provided is a guideline for product use. This product is for research use only.

CATALOG NUMBER:

2253

List Size:
0.02 mg, 0.1 mg

List Price:

Price range: $99.00 through $445.00

Shipping Info
Customize your order
Custom Antibody Services

New & Featured Products

CATALOG NUMBER: PM-7369-HRP

CATALOG NUMBER: PM-7369-biotin

CATALOG NUMBER: PM-7369