Trial Size

BAFF Antibody

CATALOG NUMBER: 2221

Clonality:
Polyclonal
Tested Applications:
ELISA, ICC, IF, IHC, WB
Host Species:
Rabbit
Species Reactivity:
Human, Mouse, Rat
Conjugate:
Unconjugated
Specifications
Host Species:
Rabbit
Species Reactivity:
Human, Mouse, Rat
Immunogen:
Anti-BAFF antibody (2221) was raised against a peptide corresponding to 16 amino acids near the carboxy terminus of human BAFF.
The immunogen is located within the last 50 amino acids of BAFF.
Conjugate:
Unconjugated
Tested Applications:
ELISA, ICC, IF, IHC, WB
Application Note:
WB: 0.25-1 μg/mL; ICC: 1 μg/mL; IF: 20 μg/mL.
Antibody validated: Western Blot in human, mouse and rat samples; Immunocytochemistry in human samples; Immunofluorescence in human samples; Immunohistochemistry in human and mouse samples. All other applications and species not yet tested.
Positive Control 1:
Cat. No. 1209 - HL60 Cell Lysate
Positive Control 2:
Cat. No. 1406 - Mouse Spleen Tissue Lysate
Positive Control 3:
Cat. No. 17-009 - HL-60 Cell Slide
Predicted Molecular Weight:
Predicted: 31kD
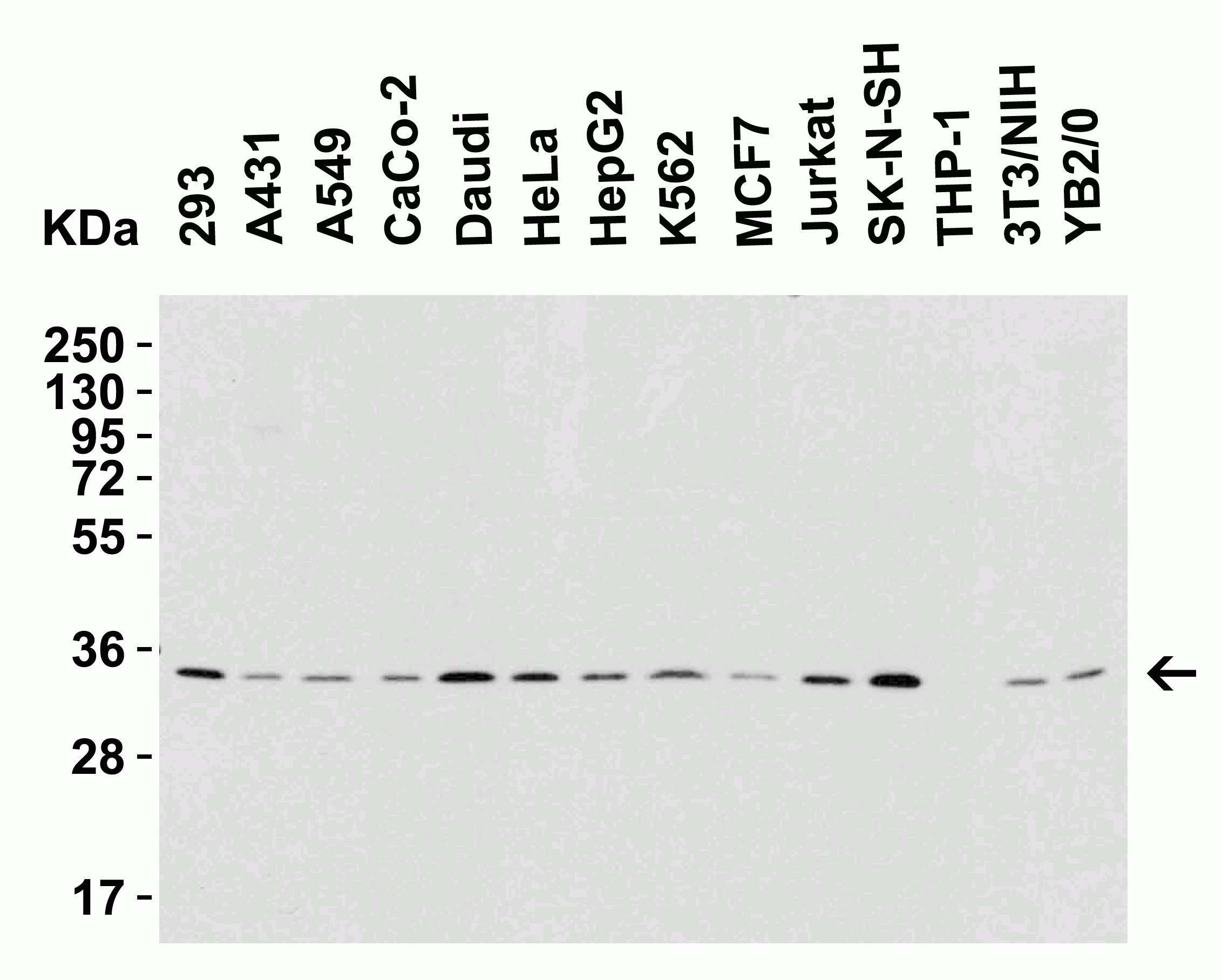
Observed: 35 kD
Validation:

Recombinant Protein Test (Figure 3): Anti-BAFF antibodies (2221) detected human BAFF recombinant protein at different concentrations.

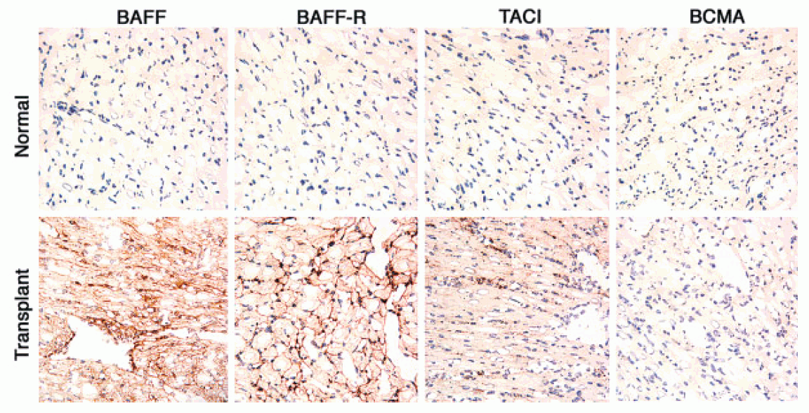
Regulated expression validation (Figure 6-8): BAFF expression detected by anit-BAFF antibodies (2221) was up-regulated  in patients with myloma or Graves’ disease or in murine transplanted heart.

Isoforms:
Human BAFF has 3 isoforms, including isoform 1 (285aa, 31kD), isoform 2 (266aa, 29kD) and isoform 3 (164aa, 17.6kD). Mouse BAFF has 2 isoforms, including isoform 1 (309aa, 34kD) and isoform 2 (290aa, 32kD). Rat BAFF has only one isoform (274aa, 30kD). 2221 can detect two longer human isoforms, mouse and rat.
Purification:
BAFF Antibody is Ion exchange chromatography purified.
Clonality:
Polyclonal
Isotype:
IgG
physical-state:
Liquid
Buffer:
BAFF Antibody is supplied in PBS containing 0.02% sodium azide.
Concentration:
1 mg/mL
Storage Conditions:
BAFF antibody can be stored at 4°C for three months and -20°C, stable for up to one year. As with all antibodies care should be taken to avoid repeated freeze thaw cycles. Antibodies should not be exposed to prolonged high temperatures.
Ncbi Official Symbol:
TNFSF13B
Additional Names:
BAFF Antibody: DTL, BAFF, BLYS, CD257, TALL1, THANK, ZTNF4, TALL-1, TNFSF20, UNQ401/PRO738, Tumor necrosis factor ligand superfamily member 13B, B lymphocyte stimulator
Protein Accession Number:
NP_006564
Protein Gi Number:
5730097
Ncbi Gene Id Number:
10673
User Note:
Optimal dilutions for each application to be determined by the researcher.
Background:
BAFF Antibody: Members in the TNF superfamily regulate immune responses and induce apoptosis. A novel member in the TNF family was recently identified by several groups and designated BAFF (for B cell Activating Factor belonging to the TNF Family), BLyS (for B Lymphocyte Stimulator), TALL-1 (for TNF- and ApoL-related Leukocyte-expressed Ligand), and THANK (for TNF Homologue that Activate Apoptosis, NF-κB and c-jun N-terminal Kinase). BAFF/BLyS was characterized as a B cell activator since it induced B cell proliferation and immunoglobulin secretion. Three receptors for BAFF were recently identified and designated TACI, BCMA and BAFF-R. BAFF and its receptors are essential for B cell development, survival, and humoral immune responses. BAFF is involved in the development of autoimmune diseases including systemic lupus erythaematosus and rheumatoid arthritis.
Background Reference 1:
Moore et al. Science 1999;285:260-3.
Background Reference 2:
Schneider et al. J Exp Med 1999;189:1747-56.
Background Reference 3:
Shu et al. J Leukoc Biol 1999;65:680-3.
Background Reference 4:
Mukhopadhyay et al. J Biol Chem 1999 ;274:15978-81.
Citation 1:
Tai et al. Role of B-cell-activating factor in adhesion and growth of human multiple myeloma cells in the bone marrow microenvironment. Cancer Res. 2006;66(13):6675-82. PMID: 16818641
Citation 2:
Campi et al. B Cell Activating Factor (BAFF) and BAFF Receptor Expression in Autoimmune and Nonautoimmune Thyroid Diseases. Thyroid. 2015;25(9):1043-9. PMID: 26214745
Citation 3:
Ye et al. BAFF binding to T cell-expressed BAFF-R costimulates T cell proliferation and alloresponses. Eur J Immunol. 2004;34(10):2750-9. PMID: 15368291
Citation 4:
Gavin et al. DeltaBAFF, an alternate splice isoform that regulates receptor binding and biopresentation of the B cell survival cytokine, BAFF. J Biol Chem. 2003;278(40):38220-8. PMID: 12867412

FOR RESEARCH USE ONLY

For additional information, visit ProSci’s Terms & Conditions Page.

Disclaimer:
Optimal dilutions/concentrations should be determined by the end user. The information provided is a guideline for product use. This product is for research use only.

CATALOG NUMBER:

2221

List Size:
0.02 mg, 0.1 mg

List Price:

Price range: $99.00 through $445.00

Shipping Info
Customize your order
Custom Antibody Services

New & Featured Products

CATALOG NUMBER: PM-7369-HRP

CATALOG NUMBER: PM-7369-biotin

CATALOG NUMBER: PM-7369