Trial Size

Blimp-1 Antibody

CATALOG NUMBER: 3991

Clonality:
Polyclonal
Tested Applications:
ELISA, IHC-P, WB
Host Species:
Rabbit
Species Reactivity:
Human, Mouse, Rat
Conjugate:
Unconjugated
Specifications
Host Species:
Rabbit
Species Reactivity:
Human, Mouse, Rat
Immunogen:
Blimp-1 antibody was raised against a 17 amino acid synthetic peptide from near the amino terminus of human Blimp-1.
The immunogen is located within amino acids 100 - 150 of Blimp-1.
Conjugate:
Unconjugated
Tested Applications:
ELISA, IHC-P, WB
Application Note:
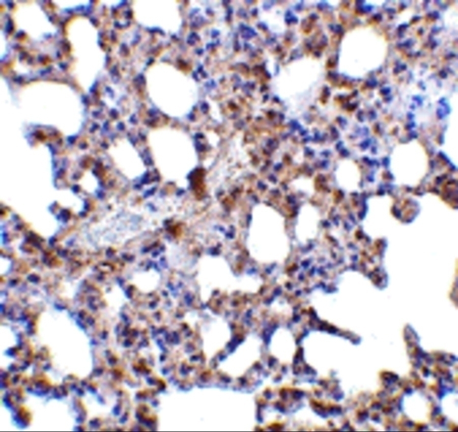
Blimp-1 antibody can be used for detection of Blimp-1 by Western blot at 0.5 - 1 μg/mL. Antibody can also be used for immunohistochemistry starting at 5 μg/mL.
Antibody validated: Western Blot in mouse samples and Immunohistochemistry in mouse samples. All other applications and species not yet tested.
Positive Control 1:
Cat. No. 1402 - Mouse Lung Tissue Lysate
Purification:
Blimp-1 Antibody is affinity chromatography purified via peptide column.
Clonality:
Polyclonal
Isotype:
IgG
physical-state:
Liquid
Buffer:
Blimp-1 Antibody is supplied in PBS containing 0.02% sodium azide.
Concentration:
1 mg/mL
Storage Conditions:
Blimp-1 antibody can be stored at 4°C for three months and -20°C, stable for up to one year. As with all antibodies care should be taken to avoid repeated freeze thaw cycles. Antibodies should not be exposed to prolonged high temperatures.
Ncbi Official Symbol:
PRDM1
Additional Names:
Blimp-1 Antibody: BLIMP1, PRDI-BF1, BLIMP1, PR domain zinc finger protein 1, BLIMP-1
Protein Accession Number:
NP_001189
Protein Gi Number:
172072684
Ncbi Gene Id Number:
639
User Note:
Optimal dilutions for each application to be determined by the researcher.
Background:
Blimp-1 Antibody: Blimp-1 was initially identified as a zinc finger-containing protein that drives the maturation of B lymphocytes into immunoglobulin-secreting cells. Together with X-box-binding protein 1 (XBP1), Blimp-1 is induced upon terminal differentiation of plasma cells. The transcriptional repressor activity of Blimp-1 has also been found to regulate T cell homeostasis and function, possibly by suppressing the expression of the cytokines IL-2 and interferon-gamma during T cell development. More recent experiments have suggested that Blimp-1 also plays a major role in the formation of primordial germ cells (PGC) in developing mammalian embryos. In these experiments, Blimp-1-deficient mutant mouse embryos form a cluster of PGC-like cells which fail to show the expected migration, proliferation, and repression of homeobox genes that normally accompany specification of primordial germ cells. Blimp-1 exists as at least two different isoforms.
Background Reference 1:
Angelin-Duclos C, Cattoretti G, Lin K-I, et al. Commitment of B lymphocytes to a plasma cell fate is associated with Blimp-1 expression. J. Immunol. 2000; 165:5462-71.
Background Reference 2:
Reimold AM, Iwakoshi NN, Manis J, et al. Plasma cell differentiation requires the transcription factor XBP-1. Nature 2001; 412:300-7.
Background Reference 3:
Martins GA, Cimmino L, Shapiro-Shelef M, et al. Transcriptional repressor Blimp-1 regulates T cell homeostasis and function. Nature Immunol. 2006; 7:457-65.

FOR RESEARCH USE ONLY

For additional information, visit ProSci’s Terms & Conditions Page.

Disclaimer:
Optimal dilutions/concentrations should be determined by the end user. The information provided is a guideline for product use. This product is for research use only.

CATALOG NUMBER:

3991

List Size:
0.02 mg, 0.1 mg

List Price:

Price range: $99.00 through $445.00

Shipping Info
Customize your order
Custom Antibody Services

New & Featured Products

CATALOG NUMBER: PM-7369-HRP

CATALOG NUMBER: PM-7369-biotin

CATALOG NUMBER: PM-7369