CNTF Antibody

CATALOG NUMBER: XP-5114

Clonality:
Polyclonal
Tested Applications:
ELISA, Neutralization Assay, WB
Host Species:
Rabbit
Species Reactivity:
Rat
Conjugate:
Unconjugated
Specifications
Host Species:
Rabbit
Species Reactivity:
Rat
Immunogen:
Produced from sera of rabbits pre-immunized with highly pure (>98%) recombinant rCNTF (Rat Ciliary Neurotrophic Factor).
Conjugate:
Unconjugated
Tested Applications:
ELISA, Neutralization Assay, WB
Application Note:
Neutralization:
To yield one-half maximal inhibition [ND50] of the biological activity of rCNTF (0.15 ng/mL), a concentration of 0.02 - 0.05 μg/mL of this antibody is required.
ELISA:
To detect rCNTF by direct ELISA (using 100 μL/well antibody solution) a concentration of at least 0.5 μg/mL of this antibody is required. This antigen affinity purified antibody, in conjunction with compatible secondary reagents, allows the detection of 0.2 - 0.4 ng/well of recombinant rCNTF.
Sandwich: To detect Rat CNTF by sandwich ELISA (using 100 μL/well antibody solution) a concentration of 0.5 - 2.0 μg/mL of this antibody is required. This antigen affinity purified antibody, in conjunction with our Biotinylated Anti-Rat CNTF (XP-5114Bt) as a detection antibody, allows the detection of at least 0.2 - 0.4 ng/well of recombinant Rat CNTF.
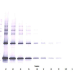
Western Blot:
To detect rCNTF by Western Blot analysis this antibody can be used at a concentration of 0.1 - 0.2 μg/mL. Used in conjunction with compatible secondary reagents the detection limit for recombinant rCNTF is 1.5 - 3.0 ng/lane, under either reducing or non-reducing conditions.
Purification:
Anti-rCNTF specific antibody was purified by affinity chromatography employing immobilized rCNTF matrix.
Clonality:
Polyclonal
physical-state:
Lyophilized
Concentration:
batch dependent
Storage Conditions:
CNTF antibody is stable for at least 2 years from date of receipt at -20°C. The reconstituted antibody is stable for at least two weeks at 2-8°C. Frozen aliquots are stable for at least 6 months when stored at -20°C. Avoid repeated freeze-thaw cycles.
Ncbi Official Symbol:
Cntf
Additional Names:
Ciliary neurotrophic factorCNTF
Protein Accession Number:
P20294
Protein Gi Number:
116587
Ncbi Gene Id Number:
25707
User Note:
Centrifuge vial prior to opening.
Background:
Ciliary neurotrophic factor (CNTF) is expressed in glial cells within the central and peripheral nervous systems. CNTF stimulates gene expression, cell survival or differentiation in a variety of neuronal cell types such as sensory, sympathetic, ciliary and motor neurons. CNTF itself lacks a classical signal peptide sequence of a secreted protein, but is thought to convey its cytoprotective effects after release from adult glial cells by some mechanism induced by injury.

FOR RESEARCH USE ONLY

For additional information, visit ProSci’s Terms & Conditions Page.

Disclaimer:
This product is for research use only.

CATALOG NUMBER:

XP-5114

List Size:
0.1 mg

List Price:

$408.00

Shipping Info
Customize your order
Custom Antibody Services

New & Featured Products

CATALOG NUMBER: PM-7369-HRP

CATALOG NUMBER: PM-7369-biotin

CATALOG NUMBER: PM-7369