Cell Treatment
KO
Most Cited
Most Images
Trial Size

DR5 Antibody

CATALOG NUMBER: 2019

Clonality:
Polyclonal
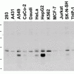
Tested Applications:
ELISA, IF, IHC-P, WB
Host Species:
Rabbit
Species Reactivity:
Human, Mouse, Rat
Conjugate:
Unconjugated
Specifications
Host Species:
Rabbit
Species Reactivity:
Human, Mouse, Rat
Immunogen:
DR5 antibody was raised against a peptide corresponding to 20 amino acids near the carboxy terminus of human DR5 precursor.
The immunogen is located within the last 50 amino acids of DR5.
Conjugate:
Unconjugated
Tested Applications:
ELISA, IF, IHC-P, WB
Application Note:
WB: 0.5-2 μg/mL; IHC-P: 5 μg/mL; IF: 5-10 μg/mL.
Antibody validated: Western Blot in human, mouse and rat samples; Immunohistochemistry in mouse samples; Immunocytochemistry in human samples and Immunofluorescence in human, mouse and rat samples. All other applications and species not yet tested.
Specificity:
Antibody has no cross reaction to DR4.
Positive Control 1:
Cat. No. 1201 - HeLa Cell Lysate
Positive Control 2:
Cat. No. 1204 - K562 Cell Lysate
Positive Control 3:
Cat. No. 17-001 - HeLa Cell Slide
Positive Control 4:
Cat. No. 1282 - 3T3/NIH Cell Lysate
Positive Control 5:
Cat. No. 1285 - C2C12 Cell Lysate
Predicted Molecular Weight:
Predicted: 48kD and 45kD
Observed: 48kD and 45kD
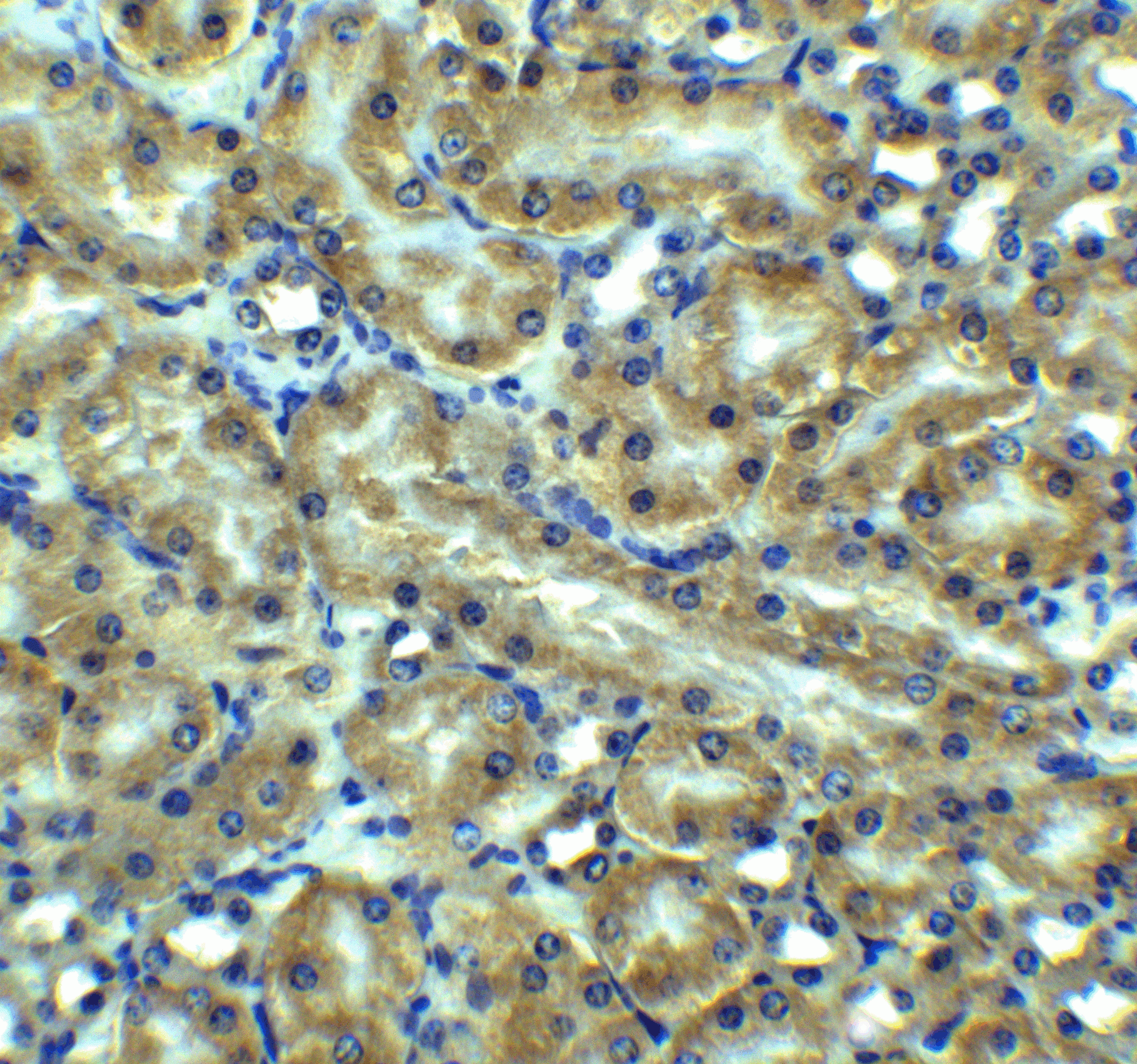
Validation:

KO Validation (Figure 12) shows DR5 expression detected by anti-DR5 antibodies (2019) was disrupted in DR5 KO HCT116 cells. 

KD validation (Figure 13): Anti-DR5 antibody (2019) specificity was further verified by DR5 specific knockdown. DR5 signal in MB231 cells transfected with DR5 siRNAs was disrupted in comparison with that in cells transfected with control siRNAs.

Regulated expression validation (Figure 12, 15): DR5 expression detected by anit-DR5 antibodies (2019) was up-regulated by carfilzomib treatment and was down-regulated by treatment with two or more cytokines.

Isoforms:
Human DR5 has 3 isoforms, including isoform L (440aa, 48kD), isoform S (411aa, 45kD) and isoform 3 (118aa, 13kD). Mouse DR5 has 1 isoform (381aa, 42kD), and Rat DR5 also has 1 isoform (336aa, 37kD). 2019 can detect two human isoforms and can also detect mouse and rat isoforms.
Purification:
DR5 Antibody is affinity chromatography purified via peptide column.
Clonality:
Polyclonal
Isotype:
IgG
physical-state:
Liquid
Buffer:
DR5 Antibody is supplied in PBS containing 0.02% sodium azide.
Concentration:
1 mg/ml
Storage Conditions:
DR5 antibody can be stored at 4°C up to one year. Antibodies should not be exposed to prolonged high temperatures.
Ncbi Official Symbol:
TNFRSF10B
Additional Names:
DR5 Antibody: DR5, CD262, KILLER, TRICK2, TRICKB, ZTNFR9, TRAILR2, TRICK2A, TRICK2B, TRAIL-R2, KILLER/DR5, DR5, UNQ160/PRO186, Tumor necrosis factor receptor superfamily member 10B, Death receptor 5, TRAIL receptor 2
Protein Accession Number:
AF012535
Protein Gi Number:
2338419
Ncbi Gene Id Number:
8795
User Note:
Optimal dilutions for each application to be determined by the researcher.
Background:
DR5 Antibody: Apoptosis is induced by certain cytokines including TNF and Fas ligand in the TNF family through their death domain containing receptors. TRAIL/Apo2L is a new member of the TNF family. DR4 was recently identified as the receptor for TRAIL. A novel death domain containing receptor for TRAIL was more recently identified and designated DR5, Apo2, TRAIL-R2, TRICK2, or KILLER by several groups independently. Like DR4, DR5 transcript is widely expressed in normal tissues and in many types of tumor cells. DR5 binds to TRAIL and mediates TRAIL induced cell death. Overexpression of DR5 induces apoptosis and activates NF-κB.
Background Reference 1:
Pan et al. Science 1997;277:815-8.
Background Reference 2:
Sheridan et al. Science 1997;277:818-21.
Background Reference 3:
Walczak  et al. EMBO J 1997;16:5386-97.
Background Reference 4:
MacFarlane et al. J Biol Chem 1997;272:25417-20
Citation 1:
Han et al. The novel proteasome inhibitor carfilzomib activates and enhances extrinsic apoptosiS involving stabilization of death receptor 5. Oncotarget. 2015;6(19):17532-42. PMID: 26009898
Citation 2:
Rahman et al. TRAIL induces apoptosis in triple-negative breast cancer cells with a mesenchymal phenotype. Breast Cancer Res Treat. 2009;113(2):217-30. doi:10.1007/s10549-008-9924-5. Epub 2008.PMID: 18266105
Citation 3:
Devetzi et al. Death receptor 5 (DR5) and a 5-gene apoptotic biomarker panel with significant differential diagnostic potential in colorectal cancer. Sci Rep. 2016 ;6:36532. PMID: 27827395
Citation 4:
Bretz et al.Inflammatory cytokine regulation of TRAIL-mediated apoptosis in thyroid epithelial cells. Cell Death Differ. 2002;9(3):274-86.PMID: 11859410
Citation 5:
Candolfi et al. Release of HMGB1 in response to proapoptotic glioma killing strategies: efficacy and neurotoxicity. Clin Cancer Res. 2009;15(13):4401-14. doi: 10.1158/1078-0432.CCR-09-0155. PMID: 19570774
Citation 6:
Malhi et al. Free fatty acids sensitise hepatocytes to TRAIL mediated cytotoxicity. Gut. 2007;56(8):1124-31. PMID: 17470478
Citation 7:
Razumilava et al. miR-25 targets TNF-related apoptosis inducing ligand (TRAIL) death receptor-4 and promotes apoptosis resistance in cholangiocarcinoma. Hepatology. 2012;55(2):465-75.PMID: 21953056
Citation 8:
Koyama et al. Histone deacetylase inhibitors and 15-deoxy-Delta12,14-prostaglandin J2 synergistically induce apoptosis. Clin Cancer Res. 2010;16(8):2320-32. PMID: 20371690
Citation 9:
Kang et al. Drozitumab, a human antibody to death receptor 5, has potent antitumor activity against rhabdomyosarcoma with the expression of caspase-8 predictive of response. Clin Cancer Res. 2011;17(10):3181-92. doi: 10.1158/1078-0432.CCR-10-2874. Epub 2011.PMID: 21385927
Citation 10:
Gupta et al. Nimbolide, a limonoid triterpene, inhibits growth of human colorectal cancer xenografts by suppressing the proinflammatory microenvironment. Clin Cancer Res. 2013;19(16):4465-76. PMID: 23766363
Citation 11:
Yuan et al. PARP-1 regulates resistance of pancreatic cancer to TRAIL therapy. Clin Cancer Res. 2013;19(17):4750-9.PMID: 23833311
Citation 12:
Zhao et al. mTOR complex 2 is involved in regulation of Cbl-dependent c-FLIP degradation and sensitivity of TRAIL-induced apoptosis. Cancer Res. 2013;73(6):1946-57. PMID: 23319802
Citation 13:
Dhandapani et al. Retinoic acid enhances TRAIL-induced apoptosis in cancer cells by upregulating TRAIL receptor 1 expression. Cancer Res. 2011;71(15):5245-54. PMID: 21685476
Citation 14:
Sun et al. Identification of an antiapoptotic protein complex at death receptors. Cell Death Differ. 2008;15(12):1887-900. PMID: 18846110
Citation 15:
Kurita et al. GLI3-dependent repression of DR4 mediates hedgehog antagonism of TRAIL-induced apoptosis. Oncogene. 2010;29(34):4848-58. PMID: 20562908
Citation 16:
Goda et al. Mechanisms of enhancement of TRAIL tumoricidal activity against human cancer cells of different origin by dipyridamole. Oncogene. 2008 ;27(24):3435-45. PMID: 18193086
Citation 17:
Jeon et al. Ribosomal protein S6 is a selective mediator of TRAIL-apoptotic signaling. Oncogene. 2008;27(31):4344-52. PMID: 18362888
Citation 18:
Wu et al. A new oridonin analog suppresses triple-negative breast cancer cells and tumor growth via the induction of death receptor 5. Cancer Lett. 2016 ;380(2):393-402. PMID: 27387452
Citation 19:
Qian et al. Co-inhibition of BET and proteasome enhances ER stress and Bim-dependent apoptosis with augmented cancer therapeutic efficacy. Cancer Lett. 2018;435:44-54. PMID: 30059709
Citation 20:
Li et al. The HECTD3 E3 ubiquitin ligase facilitates cancer cell survival by promoting K63-linked polyubiquitination of caspase-8. Cell Death Dis. 2013;4:e935. PMID: 24287696

FOR RESEARCH USE ONLY

For additional information, visit ProSci’s Terms & Conditions Page.

Disclaimer:
Optimal dilutions/concentrations should be determined by the end user. The information provided is a guideline for product use. This product is for research use only.

CATALOG NUMBER:

2019

List Size:
0.02 mg, 0.1 mg

List Price:

Price range: $99.00 through $445.00

Shipping Info
Customize your order
Custom Antibody Services

New & Featured Products

CATALOG NUMBER: PM-7369-HRP

CATALOG NUMBER: PM-7369-biotin

CATALOG NUMBER: PM-7369