GRO/MGSA Antibody

CATALOG NUMBER: XP-5147

Clonality:
Polyclonal
Tested Applications:
ELISA, Neutralization Assay, WB
Host Species:
Rabbit
Species Reactivity:
Human
Conjugate:
Unconjugated
Specifications
Host Species:
Rabbit
Species Reactivity:
Human
Immunogen:
Produced from sera of rabbits pre-immunized with highly pure (>98%) recombinant hGRO/MGSA (human GRO/MGSA).
Conjugate:
Unconjugated
Tested Applications:
ELISA, Neutralization Assay, WB
Application Note:
Neutralization:
To yield one-half maximal inhibition [ND50] of the biological activity of hGRO/MGSA 100 ng/mL), a concentration of 1.5 - 3.0 μg/mL of this antibody is required.
ELISA:
To detect hGRO/MGSA by direct ELISA (using 100 μL/well antibody solution) a concentration of at least 0.5 μg/mL of this antibody is required. This antigen affinity purified antibody, in conjunction with compatible secondary reagents, allows the detection of 0.2 - 0.4 ng/well of recombinant hGRO/MGSA.
Sandwich: To detect hGRO/MGSA by sandwich ELISA (using 100 μL/well antibody solution) a concentration of 0.5 - 2.0 μg/mL of this antibody is required. This antigen affinity purified antibody, in conjunction with our Biotinylated Anti-Human GRO/MGSA (XP-5147Bt) as a detection antibody, allows the detection of at least 0.2 - 0.4 ng/well of recombinant hGRO/MGSA.
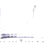
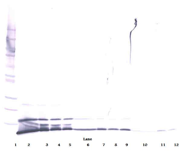
Western Blot:
To detect hGRO/MGSA by Western Blot analysis this antibody can be used at a concentration of 0.1 - 0.2 μg/mL. Used in conjunction with compatible secondary reagents the detection limit for recombinant hGRO/MGSA is 1.5 - 3.0 ng/lane, under either reducing or non-reducing conditions.
Purification:
Anti-hGRO/MGSA specific antibody was purified by affinity chromatography employing immobilized hGRO/MGSA matrix.
Clonality:
Polyclonal
physical-state:
Lyophilized
Concentration:
batch dependent
Storage Conditions:
GRO/MGSA antibody is stable for at least 2 years from date of receipt at -20°C. The reconstituted antibody is stable for at least two weeks at 2-8°C. Frozen aliquots are stable for at least 6 months when stored at -20°C. Avoid repeated freeze-thaw cycles.
Ncbi Official Symbol:
CXCL1
Additional Names:
FSP, GRO1, GROa, MGSA, NAP-3, SCYB1, MGSA-a, GRO, GROA, Growth-regulated alpha protein, C-X-C motif chemokine 1
Protein Accession Number:
P09341
Protein Gi Number:
121622
Ncbi Gene Id Number:
2919
User Note:
Centrifuge vial prior to opening.

FOR RESEARCH USE ONLY

For additional information, visit ProSci’s Terms & Conditions Page.

Disclaimer:
This product is for research use only.

CATALOG NUMBER:

XP-5147

List Size:
0.1 mg

List Price:

$408.00

Shipping Info
Customize your order
Custom Antibody Services

New & Featured Products

CATALOG NUMBER: PM-7369-HRP

CATALOG NUMBER: PM-7369-biotin

CATALOG NUMBER: PM-7369