New
Trial Size

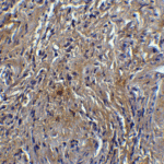
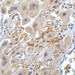
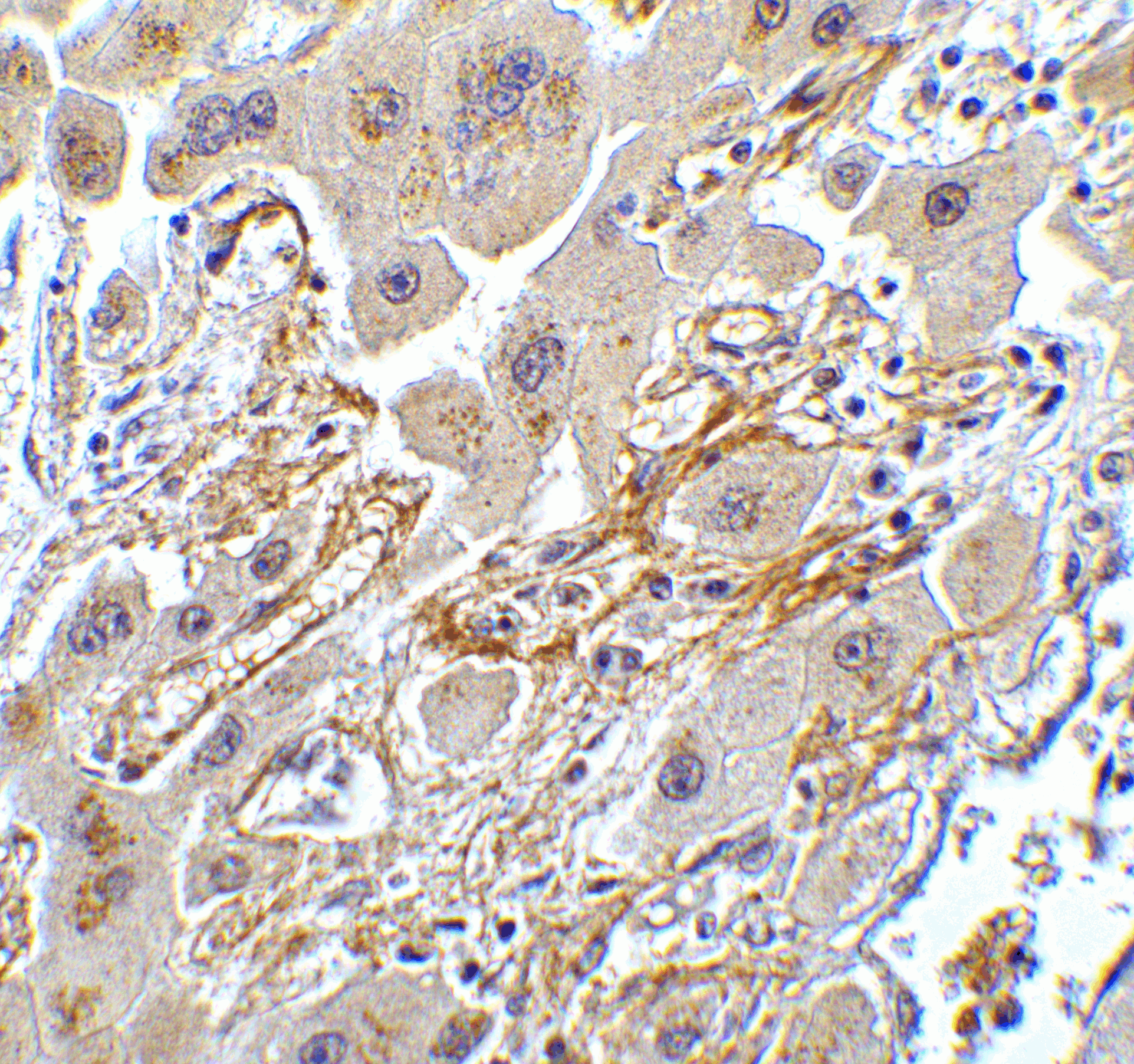
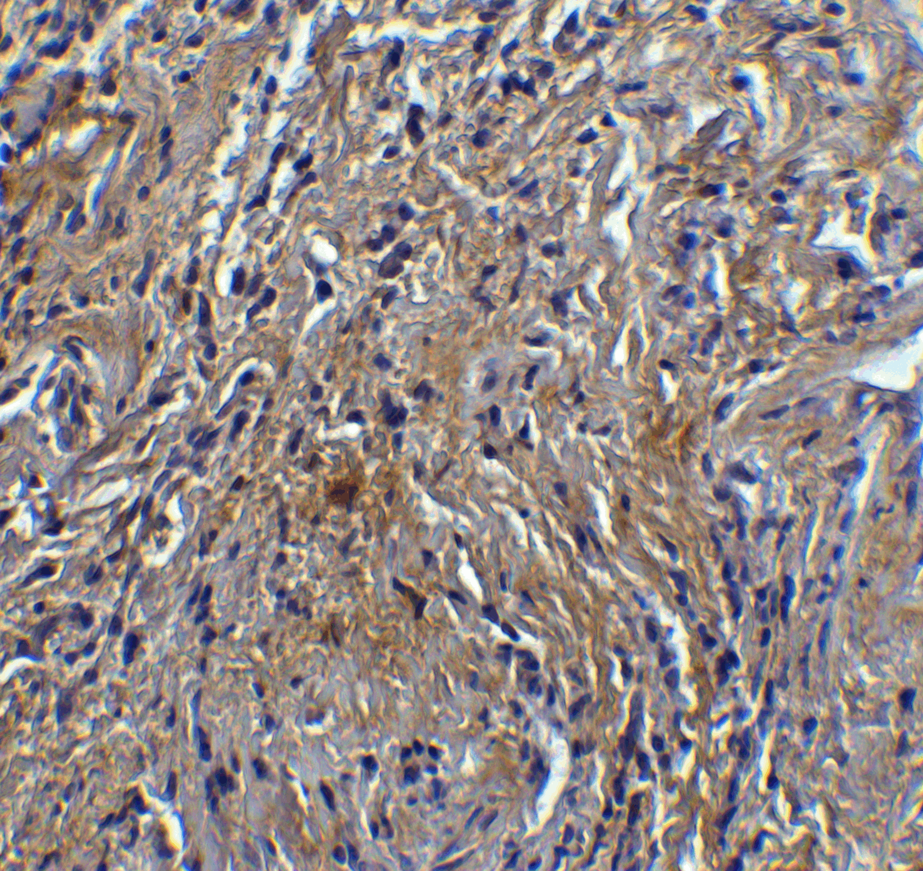
hRIP3 Antibody

CATALOG NUMBER: 8963

Clonality:
Polyclonal
Tested Applications:
ELISA, IF, IHC-P, WB
Host Species:
Rabbit
Species Reactivity:
Human
Conjugate:
Unconjugated
Specifications
Host Species:
Rabbit
Species Reactivity:
Human
Immunogen:
Anti-hRIP3 antibody (8963) was raised against a peptide corresponding to 18 amino acids near the carboxy terminus of human hRIP3.
The immunogen is located within the last 50 amino acids of hRIP3.
Conjugate:
Unconjugated
Tested Applications:
ELISA, IF, IHC-P, WB
Application Note:
WB: 0.5-1 μg/mL; IF: 20 μg/mL; IHC: 2-5 μg/mL.
Antibody validated: Western Blot, Immunofluorescence and Immunohistochemistry in human samples. All other applications and species not yet tested.
Specificity:
Several isoforms of hRIP3 are known to exist.
Positive Control 1:
Cat. No. 1205 - Jurkat Cell Lysate
Positive Control 2:
Cat. No. 1224 - Daudi Cell Lysate
Positive Control 3:
Cat. No. 1208 - THP-1 Cell Lysate
Predicted Molecular Weight:
Predicted: 57kD
Observed: 57 kD
Isoforms:
Human RIP3 has 3 isoforms, including isoform 1 (518aa, 57kD), isoform 2 (252aa, 28kD) and isoform 3 (231aa, 25kD). Mouse RIP3 has one isoform (486aa, 53kD) and Rat RIP3 also has one isoform (478aa, 52kD). 8963 can detect only human isoform 1 and cannot detect other human isoforms, mouse and rat isoforms.
Purification:
hRIP3 Antibody is Protein A purified.
Clonality:
Polyclonal
Isotype:
IgG
physical-state:
Liquid
Buffer:
hRIP3 Antibody is supplied in PBS containing 0.02% sodium azide.
Concentration:
1 mg/ml
Storage Conditions:
hRIP3 antibody can be stored at 4°C for three months and -20°C, stable for up to one year. As with all antibodies care should be taken to avoid repeated freeze thaw cycles. Antibodies should not be exposed to prolonged high temperatures.
Ncbi Official Symbol:
Ripk3
Additional Names:
hRIP3 Antibody: Rip3, AW107945, 2610528K09Rik, RIP-like protein kinase 3, RIP-3
Protein Accession Number:
Q9Y572
Protein Gi Number:
205371831
Ncbi Gene Id Number:
11035
User Note:
Optimal dilutions for each application to be determined by the researcher.
Background:
hRIP3 Antibody: Certain serine/threonine protein kinases, such as ASK1, RIP, DAP, and ZIP kinases, are mediators of apoptosis. Receptor interacting proteins including RIP and RIP2/RICK mediate apoptosis induced by TNFR1 and Fas, two prototype members in the death receptor family. A novel member in the RIP kinase family was recently identified and designated RIP3. RIP3 contains N-terminal kinase domain but, unlike RIP or RIP2, lacks the C-terminal death or CARD domain. RIP3 binds to RIP and TNFR1, mediates TNFR1 induced apoptosis, and attenuates RIP and TNFR1 induced NF-κB activation. Overexpression of RIP3 induces apoptosis and NF-κB activation. The messenger RNA of RIP3 is expressed in a subset of adult tissues.
Background Reference 1:
Yu et al. Curr Biol. 1999;9(10):539-42.
Background Reference 2:
Sun et al. J Biol Chem. 1999;274(24):16871-5.
Background Reference 3:
Pazdernik et al. Mol Cell Bio. 1999; 19(10):6500-8 (WD0102)

FOR RESEARCH USE ONLY

For additional information, visit ProSci’s Terms & Conditions Page.

Disclaimer:
Optimal dilutions/concentrations should be determined by the end user. The information provided is a guideline for product use. This product is for research use only.

CATALOG NUMBER:

8963

List Size:
0.02 mg, 0.1 mg

List Price:

Price range: $99.00 through $445.00

Shipping Info
Customize your order
Custom Antibody Services

New & Featured Products

CATALOG NUMBER: PM-7369-HRP

CATALOG NUMBER: PM-7369-biotin

CATALOG NUMBER: PM-7369