IL-33 Antibody

CATALOG NUMBER: 38-303

Clonality:
Polyclonal
Tested Applications:
ELISA, IHC, Neutralization Assay, WB
Host Species:
Rabbit
Species Reactivity:
Human
Conjugate:
Unconjugated
Specifications
Host Species:
Rabbit
Species Reactivity:
Human
Immunogen:
E.coli derived Recombinant Human IL-33
Conjugate:
Unconjugated
Tested Applications:
ELISA, IHC, Neutralization Assay, WB
Application Note:
ELISA:
Sandwich:
To detect hIL-33 by sandwich ELISA (using 100μL/well antibody solution) a concentration of 0.5 - 2.0 μg/mL of this antibody is required. This antigen affinity purified antibody, in conjunction with ProSci’s Polyclonal Biotinylated Anti-Human IL-33 (38-193) as a detection antibody, allows the detection of at least 0.2 - 0.4 ng/well of recombinant hIL-33.
Western Blot:
To detect hIL-33 by Western Blot analysis this antibody can be used at a concentration of 0.1 - 0.2 μg/mL. Used in conjunction with compatible secondary reagents the detection limit for recombinant hIL-33 is 1.5 - 3.0 ng/lane, under either reducing or non-reducing conditions.
Neutralization:
To yield one-half maximal inhibition [ND50] of the biological activity of Human IL-33 (1.0 ng/mL), a concentration of 0.2-0.4 μg/mL of this antibody is required.
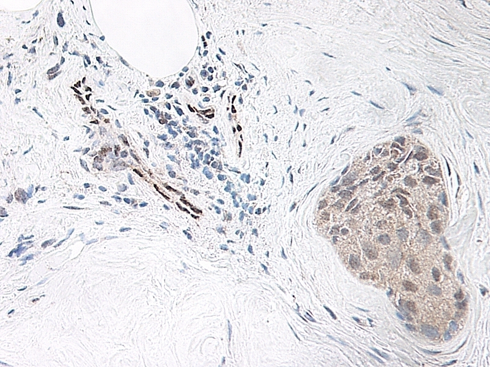
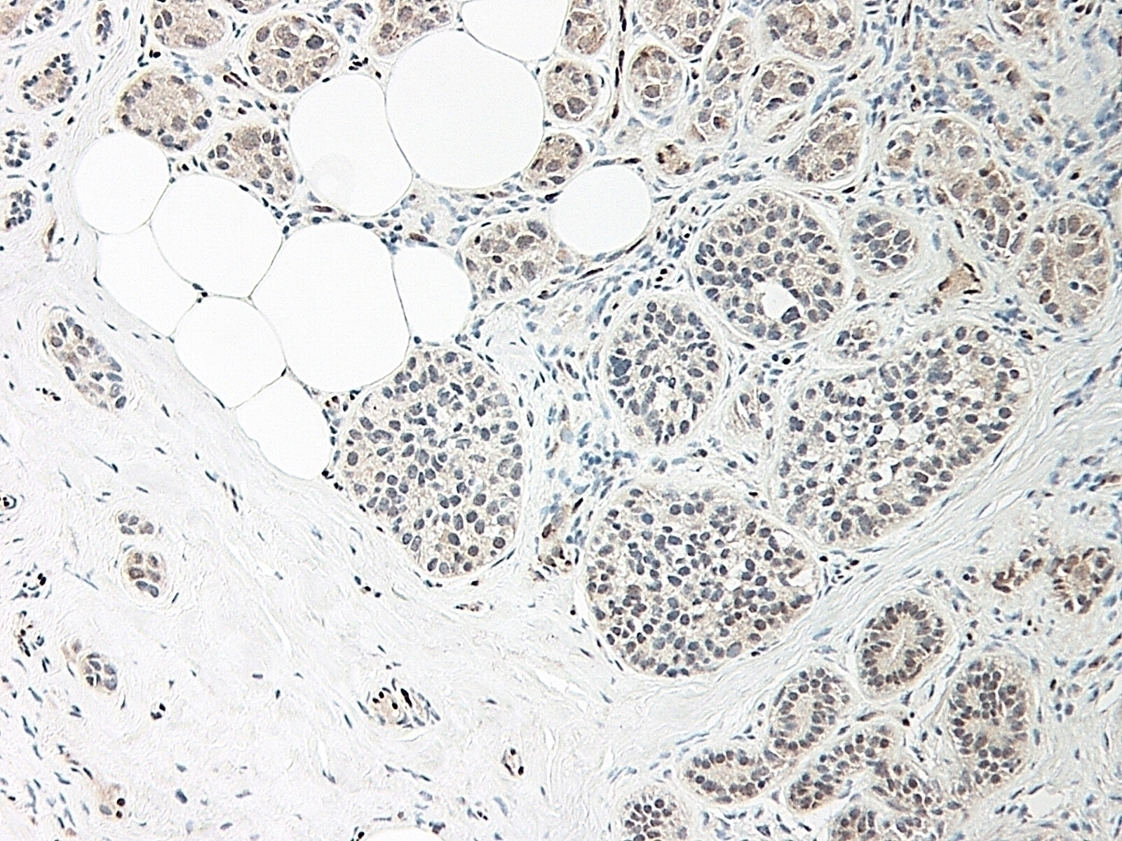
Immunohistochemistry:
This antibody stained formalin-fixed, paraffin-embedded sections of human breast malignant ductal adenocarcinoma. The recommended concentration is 0.125 mg/mL-0.25 mg/mL with an overnight incubation at 4°C. An HRP-labeled polymer detection system was used with a DAB chromogen. Heat induced antigen retrieval with a pH 6.0 sodium citrate buffer is recommended.
Purification:
IL-33 specific antibody was purified by affinity chromatography employing immobilized hIL-33 matrix.
Clonality:
Polyclonal
physical-state:
Lyophilized
Concentration:
batch dependent
Storage Conditions:
The lyophilized antibody is stable for at least 2 years from date of receipt at -20°C. The reconstituted antibody is stable for at least two weeks at 2-80°C. Frozen aliquots are stable for at least 6 months when stored at -20°C. Avoid repeated freeze-thaw cycles.
Ncbi Official Symbol:
IL33
Additional Names:
DVS27, IL1F11, NF-HEV, NFEHEV, C9orf26, RP11-575C20.2, NFHEV, Interleukin-33, Interleukin-1 family member 11, IL-33
Protein Accession Number:
O95760
Protein Gi Number:
68565855
Ncbi Gene Id Number:
90865
User Note:
Centrifuge vial prior to opening.

FOR RESEARCH USE ONLY

For additional information, visit ProSci’s Terms & Conditions Page.

Disclaimer:
This product is for research use only.

CATALOG NUMBER:

38-303

List Size:
0.1 mg

List Price:

$408.00

Shipping Info
Customize your order
Custom Antibody Services

New & Featured Products

CATALOG NUMBER: PM-7369-HRP

CATALOG NUMBER: PM-7369-biotin

CATALOG NUMBER: PM-7369