IL-6 Antibody

CATALOG NUMBER: XP-5194

Clonality:
Polyclonal
Tested Applications:
ELISA, Neutralization Assay, WB
Host Species:
Rabbit
Species Reactivity:
Mouse
Conjugate:
Unconjugated
Specifications
Host Species:
Rabbit
Species Reactivity:
Mouse
Immunogen:
Produced from sera of rabbits pre-immunized with highly pure (>98%) recombinant mIL-6 (murine Interleukin-6).
Conjugate:
Unconjugated
Tested Applications:
ELISA, Neutralization Assay, WB
Application Note:
Neutralization:
To yield one-half maximal inhibition [ND50] of the biological activity of mIL-6 (0.1 ng/mL), a concentration of 0.012 -0.014 μg/mL of this antibody is required.
ELISA:
To detect mIL-6 by direct ELISA (using 100 μL/well antibody solution) a concentration of at least 0.5 μg/mL of this antibody is required. This antigen affinity purified antibody, in conjunction with compatible secondary reagents, allows the detection of 0.2 - 0.4 ng/well of recombinant mIL-6.
Sandwich:
To detect mIL-6 by sandwich ELISA (using 100 μL/well antibody solution) a concentration of 0.5 - 2.0 μg/mL of this antibody is required. This antigen affinity purified antibody, in conjunction with our Biotinylated Anti-Murine IL-6 (XP-5194Bt) as a detection antibody, allows the detection of at least 0.2 - 0.4 ng/well of recombinant mIL-6.
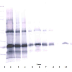
Western Blot:
To detect mIL-6 by Western Blot analysis this antibody can be used at a concentration of 0.1 - 0.2 μg/mL. Used in conjunction with compatible secondary reagents the detection limit for recombinant mIL-6 is 1.5 - 3.0 ng/lane, under either reducing or non-reducing conditions.
Purification:
Anti-mIL-6 specific antibody was purified by affinity chromatography employing immobilized mIL-6 matrix.
Clonality:
Polyclonal
physical-state:
Lyophilized
Concentration:
batch dependent
Storage Conditions:
IL-6 antibody is stable for at least 2 years from date of receipt at -20°C. The reconstituted antibody is stable for at least two weeks at 2-8°C. Frozen aliquots are stable for at least 6 months when stored at -20°C. Avoid repeated freeze-thaw cycles.
Ncbi Official Symbol:
Il6
Additional Names:
Il-6, Il-6, Interleukin-6, B-cell hybridoma growth factor, IL-6
Protein Accession Number:
P08505
Protein Gi Number:
124348
Ncbi Gene Id Number:
16193
User Note:
Centrifuge vial prior to opening.
Background:
IL-6 is reported to be produced by fibroblasts, activated T cells, activated monocytes or macrophages and endothelial cells. It acts upon a variety of cells including fibroblasts, myeloid progenitor cells, T cells, B cells and hepatocytes. In addition, IL-6 appears to interact with IL2 in the proliferation of T lymphocytes. IL-6 potentiates the proliferative effect of IL-3 on multipotential hematopoietic progenitors. IL-6 is a multifunctional 24 kDa protein originally discovered in the medium of RNA stimulated fibroblastoid cells. It is upregulated by IL1, TNF, PDGF, IFN beta, TNF alpha, NGF, IL17 and downregulated by glucocorticoids IL4, TGF beta. IL-6 appears to be directly involved in the responses that occur after infection and cellular injury, and it may prove to be as important as IL1 and TNF alpha in regulating the acute phase response. IL6 has also been implicated in regulating adipose mass.

FOR RESEARCH USE ONLY

For additional information, visit ProSci’s Terms & Conditions Page.

Disclaimer:
This product is for research use only.

CATALOG NUMBER:

XP-5194

List Size:
0.1 mg

List Price:

$408.00

Shipping Info
Customize your order
Custom Antibody Services

New & Featured Products

CATALOG NUMBER: PM-7369-HRP

CATALOG NUMBER: PM-7369-biotin

CATALOG NUMBER: PM-7369