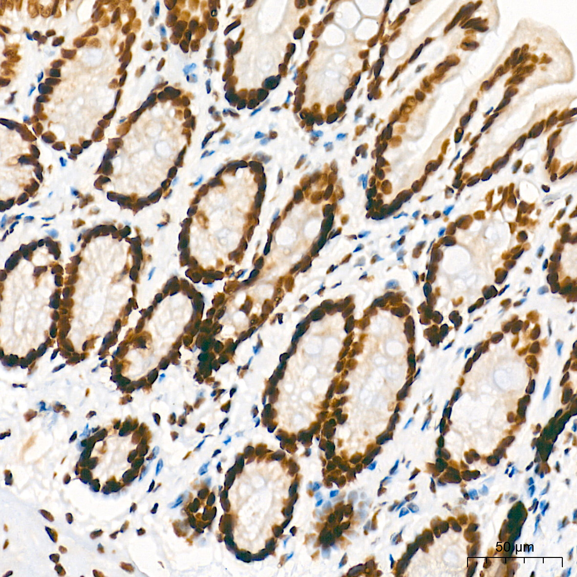
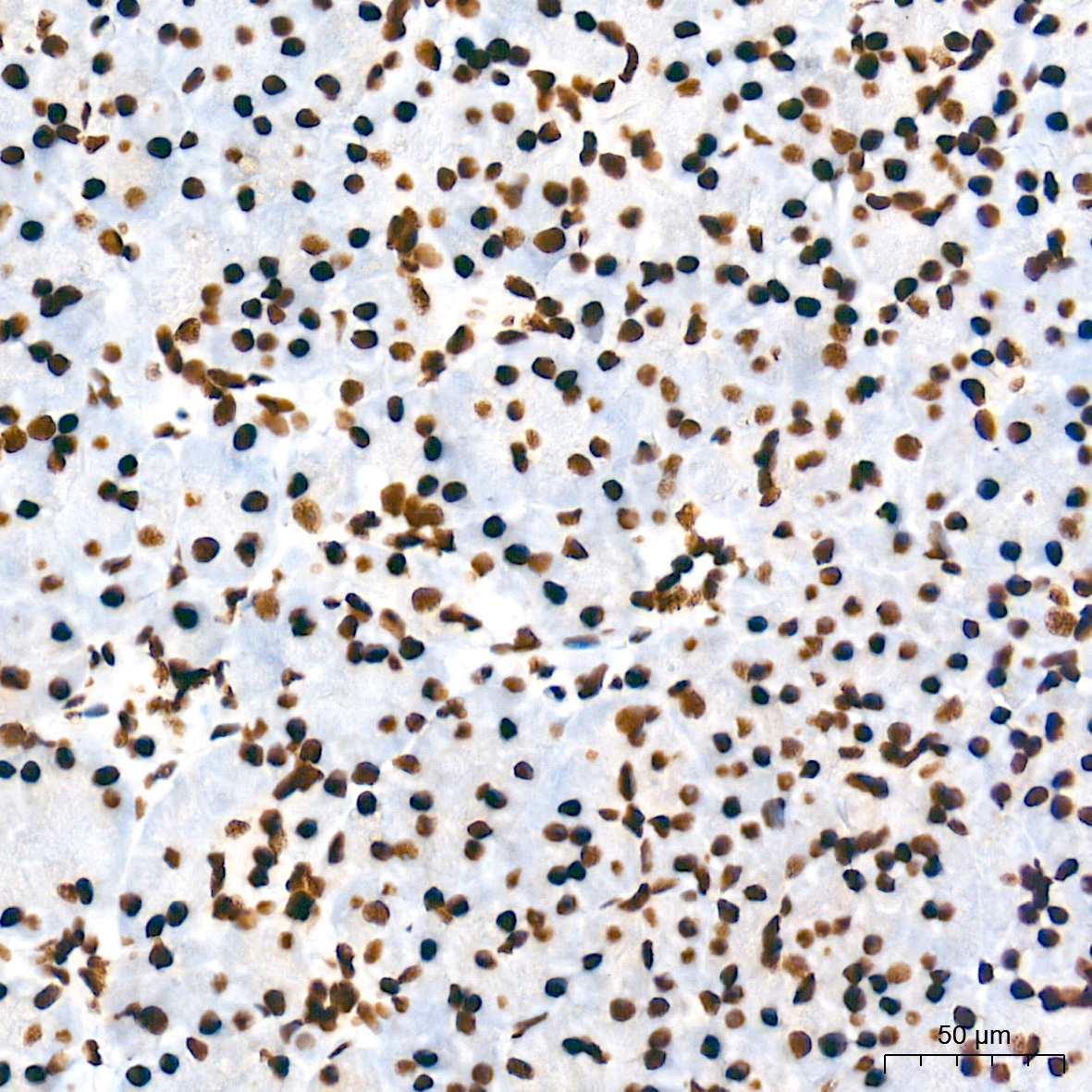
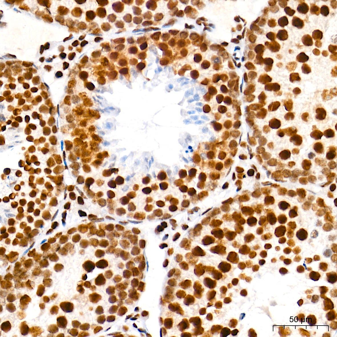
[KD Validated] hnRNP A2B1 Rabbit Recombinant Antibody

CATALOG NUMBER: 83-479

Clonality:
Monoclonal
Tested Applications:
ELISA, IF/ICC, IHC-P, WB
Host Species:
Rabbit
Species Reactivity:
Human, Mouse, Rat
Conjugate:
Unconjugated
Specifications
Host Species:
Rabbit
Species Reactivity:
Human, Mouse, Rat
Immunogen:
Synthetic peptide. This information is considered to be commercially sensitive.
Conjugate:
Unconjugated
Tested Applications:
ELISA, IF/ICC, IHC-P, WB
Application Note:
WB,1:13000 - 1:78000, IHC-P,1:3000 - 1:30000, IF/ICC,1:200 - 1:2000, ELISA,Recommended starting concentration is 1 μg/mL. Please optimize the concentration based on your specific assay requirements.
Predicted Molecular Weight:
37kDa
purification:
Affinity purification
Clonality:
Monoclonal
Isotype:
IgG
physical-state:
Liquid
Buffer:
Buffer: PBS with 0.09% Sodium azide,0.05% BSA,50% glycerol,pH7.3.
Concentration:
Batch dependent
Storage Conditions:
Store at -20℃. Avoid freeze / thaw cycles.
Ncbi Official Symbol:
HNRNPA2B1
Additional Names:
RNPA2; HNRPA2; HNRPB1; SNRPB1; HNRNPA2; HNRNPB1; IBMPFD2; HNRPA2B1
Protein Accession Number:
P22626
Ncbi Gene Id Number:
3181
User Note:
Optimal dilutions for each application to be determined by the researcher.
Background:
This gene belongs to the A/B subfamily of ubiquitously expressed heterogeneous nuclear ribonucleoproteins (hnRNPs). The hnRNPs are RNA binding proteins and they complex with heterogeneous nuclear RNA (hnRNA). These proteins are associated with pre-mRNAs in the nucleus and appear to influence pre-mRNA processing and other aspects of mRNA metabolism and transport. While all of the hnRNPs are present in the nucleus, some seem to shuttle between the nucleus and the cytoplasm. The hnRNP proteins have distinct nucleic acid binding properties. The protein encoded by this gene has two repeats of quasi-RRM domains that bind to RNAs. This gene has been described to generate two alternatively spliced transcript variants which encode different isoforms.

FOR RESEARCH USE ONLY

For additional information, visit ProSci’s Terms & Conditions Page.

Disclaimer:
This product is for research use only.

CATALOG NUMBER:

83-479

List Size:
100 uL

List Price:

$540.00

Shipping Info
Customize your order
Custom Antibody Services

New & Featured Products

CATALOG NUMBER: PM-7369-HRP

CATALOG NUMBER: PM-7369-biotin

CATALOG NUMBER: PM-7369