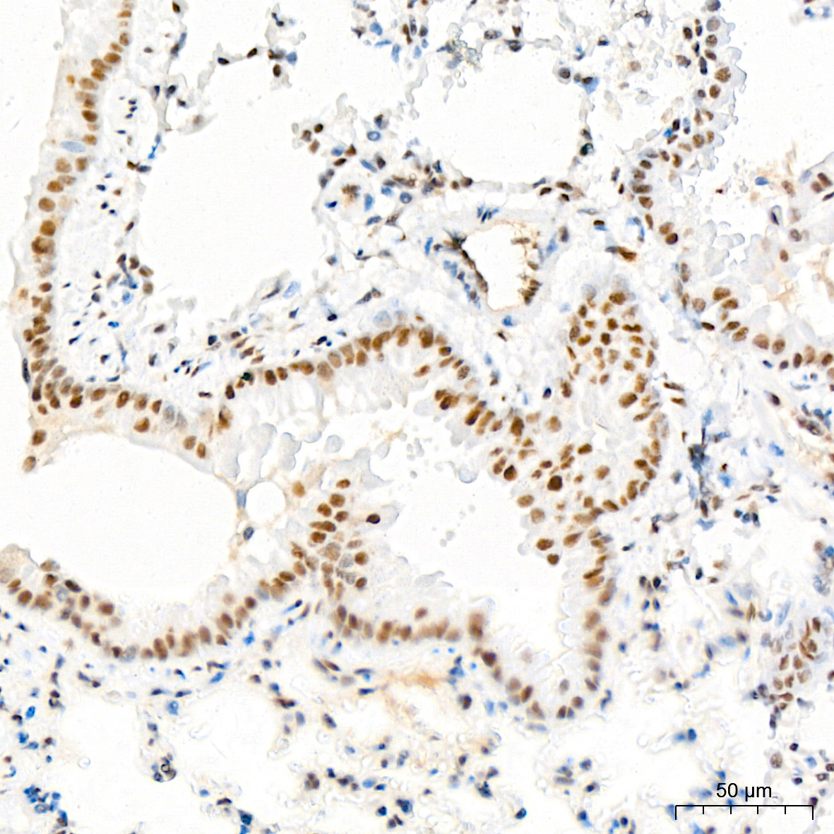
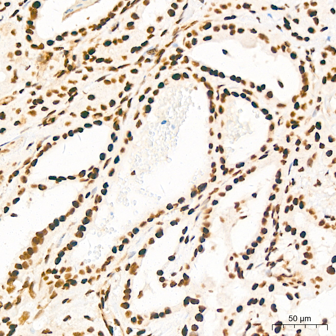
[KO Validated] FTO Rabbit Recombinant Antibody

CATALOG NUMBER: 82-277

Clonality:
Monoclonal
Tested Applications:
ELISA, IHC-P, WB
Host Species:
Rabbit
Species Reactivity:
Human, Mouse, Rat
Conjugate:
Unconjugated
Specifications
Host Species:
Rabbit
Species Reactivity:
Human, Mouse, Rat
Immunogen:
Recombinant protein (or fragment).This information is considered to be commercially sensitive.
Conjugate:
Unconjugated
Tested Applications:
ELISA, IHC-P, WB
Application Note:
WB,1:500 - 1:1000, IHC-P,1:50 - 1:200, ELISA,Recommended starting concentration is 1 μg/mL. Please optimize the concentration based on your specific assay requirements.
Positive Control 1:
293T,HeLa,SH-SY5Y,Mouse liver,Mouse brain,Mouse kidney,Rat liver,Rat brain
Predicted Molecular Weight:
58kDa
purification:
Affinity purification
Clonality:
Monoclonal
Isotype:
IgG
physical-state:
Liquid
Buffer:
Buffer: PBS with 0.05% proclin300,0.05% BSA,50% glycerol,pH7.3.
Concentration:
Batch dependent
Storage Conditions:
Store at -20℃. Avoid freeze / thaw cycles.
Ncbi Official Symbol:
FTO
Additional Names:
GDFD; ALKBH9; BMIQ14; TO
Protein Accession Number:
Q9C0B1
Ncbi Gene Id Number:
79068
User Note:
Optimal dilutions for each application to be determined by the researcher.
Background:
This gene is a nuclear protein of the AlkB related non-haem iron and 2-oxoglutarate-dependent oxygenase superfamily but the exact physiological function of this gene is not known. Other non-heme iron enzymes function to reverse alkylated DNA and RNA damage by oxidative demethylation. Studies in mice and humans indicate a role in nervous and cardiovascular systems and a strong association with body mass index, obesity risk, and type 2 diabetes.

FOR RESEARCH USE ONLY

For additional information, visit ProSci’s Terms & Conditions Page.

Disclaimer:
This product is for research use only.

CATALOG NUMBER:

82-277

List Size:
100 uL

List Price:

$540.00

Shipping Info
Customize your order
Custom Antibody Services

New & Featured Products

CATALOG NUMBER: PM-7369-HRP

CATALOG NUMBER: PM-7369-biotin

CATALOG NUMBER: PM-7369