IAV
KD
KO
Most Cited
Most Images
Trial Size

MYD88 Antibody

CATALOG NUMBER: 2125

Clonality:
Polyclonal
Tested Applications:
ELISA, IF, IHC-P, IP, WB
Host Species:
Rabbit
Species Reactivity:
Human, Mouse, Rat
Conjugate:
Unconjugated
Specifications
Host Species:
Rabbit
Species Reactivity:
Human, Mouse, Rat
Homology:
Predicted species reactivity based on immunogen sequence: Pig: (100%), Sheep: (100%), Bovine: (100%), Chicken: (100%)
Immunogen:
Anti-MYD88 antibody (2125) was raised against a peptide corresponding to 16 amino acids near the center of human MYD88 isoform 1.
The immunogen is located within amino acids 220 - 270 of MYD88.
Conjugate:
Unconjugated
Tested Applications:
ELISA, IF, IHC-P, IP, WB
Application Note:
WB: 1 - 2 μg/mL; IHC-P: 2 μg/mL; IF: 10-20 μg/mL.
Antibody validated: Western Blot in human, mouse and rat samples; Immunohistochemistry, Immunoprecipitation and Immunofluorescence in human samples. All other applications and species not yet tested.
Positive Control 1:
Cat. No. 1202 - A431 Cell Lysate
Positive Control 2:
Cat. No. 1203 - A549 Cell Lysate
Positive Control 3:
Cat. No. 1204 - K562 Cell Lysate
Positive Control 4:
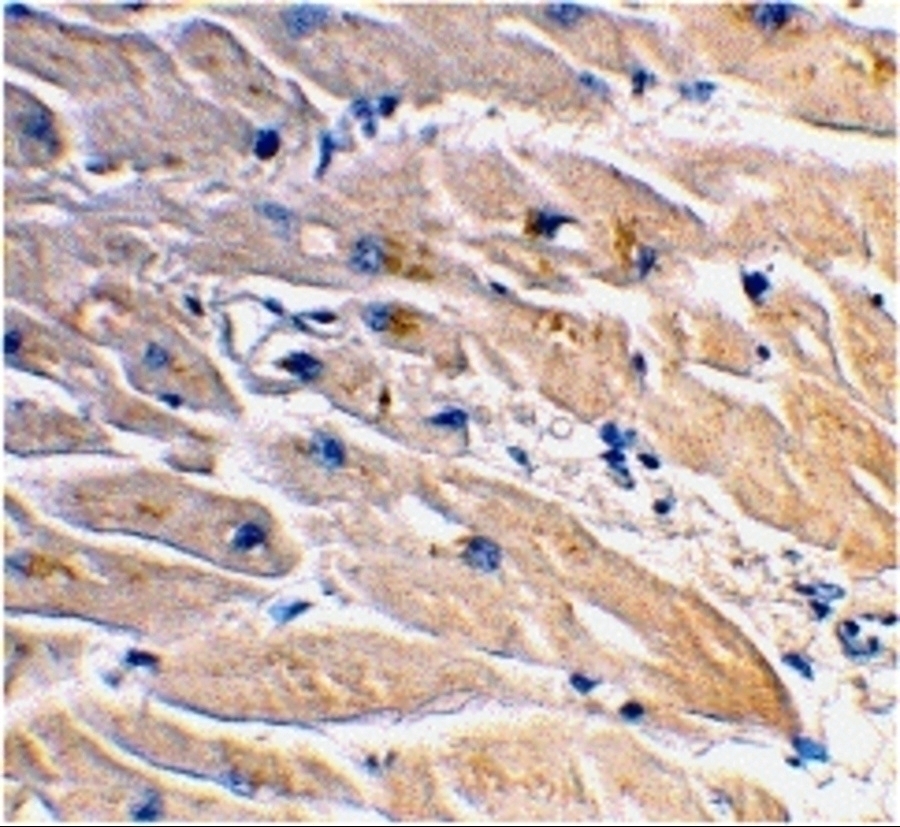
Cat. No. 10-501 - Human Heart Tissue Slide
Positive Control 5:
Cat. No. 1301 - Human Heart Tissue Lysate
Predicted Molecular Weight:
Predicted: 35kD
Observed: 35kD
Validation:

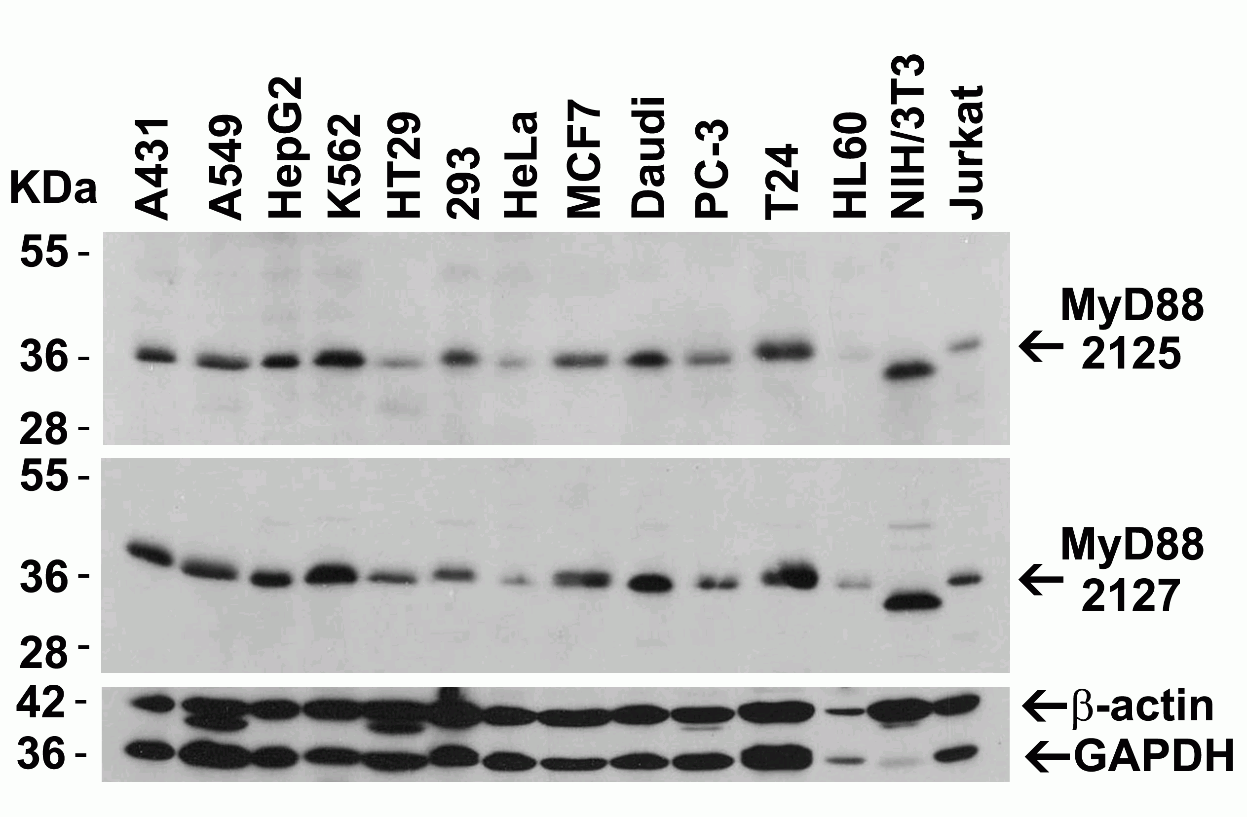
Independent Antibody Validation in Cell lines (Figure 2) shows similar MYD88 expression profile in both human and mouse cell lines detected by two independent anti-MYD88 antibodies that recognize different epitopes, 2125 against internal domain and 2127 against the C-terminus domain.  MYD88 proteins are detected in all the tested cell lines at different expression levels by the two independent antibodies.  Additionally, Figure 2 shows the mouse MYD88 protein in NIH/3T3 cells migrates slightly faster than human isoform 1 detected by both MYD88 antibodies (2125 and 2127), which is well correlated with their calculated molecular masses (33.8 kDa vs 35.4 kDa).  

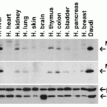
Independent Antibody Validation in Human Tissues (Figure 3) shows similar MYD88 expression profile in human tissues detected by two independent anti-MYD88 antibodies (2125 and 2127). MYD88 proteins are detected by the two independent antibodies in liver, kidney, lung, thymus, colon, bladder and breast of human tissues at different expression levels, but not in heart, brain, skin and pancreas.

Animal Species Reactivity (Figure 4): Anti-MYD88 antibodies (2125 and 2127) can detect the expression of MYD88 protein in the liver and spleen of all tissues and mouse heart, but not in human heart. Additionally, Figure 4 also shows MYD88 protein detected by both MYD88 antibodies (2125 and 2127) in human liver and Daudi cells migrates slightly slower than that in the tissues of mouse and rat, which is well correlated with their calculated molecular masses (35.4 kDa vs 33.8 kDa and 33.9kD). 

siRNA knockdown validation (Figure 5): Anti-MYD88 antibody (2125) specificity was further verified by MYD88 specific siRNA knockdown. MYD88 signal in HeLa cells transfected with MYD88 siRNAs was weaker in comparison with that in HeLa cells transfected with control siRNAs.

Isoforms:
Human MYD88 has 7 isoforms, including isoform 1 (317aa, 35.4kD), isoform 2 (296aa, 33.2 kD), isoform 3 (251aa, 28.3kD), isoform 4 (191aa, 20.8kD), isoform 5 (146aa, 15.8kD), isoform 6 (275aa, 31.5kD), and isoform 7 (304aa, 34.1kD). This antibody detects human isoform 1,2,3,6,7, but not isoform 4,5. Mouse MYD88 has two isoforms, including isoform 1 (296aa, 33.8kD) and isoform 2 (250aa, 28.7kD). Rat MYD88 has only one isoform identified so far (296aa, 33.9kD).
Purification:
MYD88 Antibody is affinity chromatography purified via peptide column.
Clonality:
Polyclonal
Isotype:
IgG
physical-state:
Liquid
Buffer:
MYD88 Antibody is supplied in PBS containing 0.02% sodium azide.
Concentration:
1 mg/mL
Storage Conditions:
MYD88 antibody can be stored at 4°C for three months and -20°C, stable for up to one year. As with all antibodies care should be taken to avoid repeated freeze thaw cycles. Antibodies should not be exposed to prolonged high temperatures.
Ncbi Official Symbol:
MYD88
Additional Names:
MYD88 Antibody: Myeloid differentiation primary response 88, MYD88D
Protein Accession Number:
AAB49967.1
Protein Gi Number:
1763090
Ncbi Gene Id Number:
4615
User Note:
Optimal dilutions for each application to be determined by the researcher.
Background:
MYD88, myeloid differentiation primary response 88, was identified as an innate immune signal transduction adaptor involved in the Toll-like receptor (TLR) and interleukin-1 (IL-1) signaling pathway (1,2,3) and plays an important role in the inflammatory response induced by cytokines IL-1 and IL-18 and endotoxin. MyD88 functions as an adaptor protein for TLRs and IL-1 receptors, which stimulates IRAKs, IRF7 and TRAF6, leading to NF-κB activation, cytokine secretion and inflammatory response (2, 4,5,6). Nuclear factor-kappa-B activation modulates multiple genes regulating the body's immune reactions and inflammatory responses. MyD88 associates with and recruits IRAK to the IL-1 receptor complex in response to IL-1 treatment and dominant negative form of MyD88 attenuates IL-1R-mediated NF-κB activation(4,5). MyD88 is also employed as a regulator molecule by IL-18 receptor. Targeted disruption of the MyD88 gene results in loss of cellular responses to IL-1 and IL-18, and MyD88-deficient mice lack responses to bacterial product LPS that employs TLR2 and TLR4 as the signaling receptors(7,8). MyD88 gene is expressed in many tissues.
Background Reference 1:
Medzhitov et al. Mol. Cell. 1998;2:253-8
Background Reference 2:
Kawai et al. Nat. Immunol. 2004;5:1061-8
Background Reference 3:
Semaan et al. J. Immunol. 2008;180:3485-91
Background Reference 4:
Muzio et al. Science 1997;278:1612-5
Background Reference 5:
Yamamoto et al. Mol. Immunol. 2014;58:66-76
Background Reference 6:
Ohnishi et al. Proc. Natl. Acad. Sci. U.S.A. 2009;106:10260-5
Background Reference 7:
Adachi et al. Immunity 1998;9:143-50
Background Reference 8:
Kawai et al. Immunity 1999;11:115-22
Citation 1:
Miller et al. MyD88 media16413925tes neutrophil recruitment initiated by IL-1R but not TLR2 activation in immunity against Staphylococcus aureus. Immunity. 2006;24(1):79-91. PMID: 16413925
Citation 2:
Burns et al. Inhibition of Interleukin 1 Receptor/Toll-like Receptor Signaling through the Alternatively Spliced, Short Form of MyD88 Is Due to Its Failure to Recruit IRAK-4. J Exp Med. 2003;197(2): 263-8. PMID: 12538665
Citation 3:
Vlantis et al. TLR-independent anti-inflammatory function of intestinal epithelial TRAF6 signalling prevents DSS-induced colitis in mice. Gut. 2016;65(6):935-43.PMID: 25761602
Citation 4:
Ahmad et al. Elevated expression of the toll like receptors 2 and 4 in obese individuals: its significance for obesity-induced inflammation. J Inflamm (Lond). 2012;9:48. PMID: 23191980
Citation 5:
Kawai et al. Interferon-alpha induction through Toll-like receptors involves a direct interaction of IRF7 with MyD88 and TRAF6. Nat Immunol. 2004;5(10):1061-8.PMID: 15361868
Citation 6:
Romics L Jr et al. Selective priming to Toll-like receptor 4 (TLR4), not TLR2, ligands by P. acnes involves up-regulation of MD-2 in mice. Hepatology. 2004;40(3):555-64PMID: 15349893
Citation 7:
Ahmad et al. Requirement of TLR2-mediated signaling for the induction of IL-15 gene expression in human monocytic cells by HSV-1. Blood. 2008;112(6):2360-8. PMID: 18583567
Citation 8:
Kawagoe T et al. Essential role of IRAK-4 protein and its kinase activity in Toll-like receptor-mediated immune responses but not in TCR signaling. J Exp Med. 2007;204(5):1013-24. PMID: 17485511
Citation 9:
Lin et al. The tyrosine kinase Syk differentially regulates Toll-like receptor signaling downstream of the adaptor molecules TRAF6 and TRAF3. Sci Signal. 2013;6(289):ra71. PMID: 23962979
Citation 10:
Ahmad et al. MyD88, IRAK1 and TRAF6 knockdown in human chondrocytes inhibits interleukin-1-induced matrix metalloproteinase-13 gene expression and promoter activity by impairing MAP kinase activation. Cell Signal. 2007;19(12):2549-57. PMID: 17905570
Citation 11:
Mukherjee et al. Lipopolysaccharide-driven Th2 Cytokine Production in Macrophages Is Regulated by Both MyD88 and TRAM. J Biol Chem. 2009;284(43): 29391-8.PMID: 19638630
Citation 12:
Campanholle et al. TLR-2/TLR-4 TREM-1 Signaling Pathway Is Dispensable in Inflammatory Myeloid Cells during Sterile Kidney Injury. PLoS One. 2013;8(7): e68640. PMID: 23844229
Citation 13:
Murakami et al. Human herpesvirus 6 infection impairs Toll-like receptor signaling. Virol J. 2010;7:91.PMID: 20459723
Citation 14:
Su et al. Expression and regulation of Toll-like receptor 2 by IL-1beta and fibronectin fragments in human articular chondrocytes. Osteoarthritis Cartilage. 2005;13(10):879-86. PMID: 15961329
Citation 15:
Pedrosa et al. Bacteria and spontaneous experimental colitis: immunological changes. Eur J Clin Invest. 2011;41(10):1047-53. PMID: 21902690
Citation 16:
Mañé J et al. Lactobacillus fermentum CECT 5716 prevents and reverts intestinal damage on TNBS-induced colitis in mice. Inflamm Bowel Dis. 2009;15(8):1155-63.PMID: 19266568
Citation 17:
Doyle et al. Toll-like receptor 3 mediates a more potent antiviral response than Toll-like receptor 4. J Immunol.;170(7):3565-71.PMID: 2646618
Citation 18:
Serramía et al. HIV-1 increases TLR responses in human primary astrocytes. Sci Rep. 2015;5:17887. PMID: 26671458
Citation 19:
Ahmad et al. Adaptor proteins and Ras synergistically regulate IL-1-induced ADAMTS-4 expression in human chondrocytes. J Immunol. 2009;182(8):5081-7. PMID: 19342688
Citation 20:
Sato et al. A variety of microbial components induce tolerance to lipopolysaccharide by differentially affecting MyD88-dependent and -independent pathways. Int Immunol. 2002;14(7):783-91. PMID: 12096038

FOR RESEARCH USE ONLY

For additional information, visit ProSci’s Terms & Conditions Page.

Disclaimer:
Optimal dilutions/concentrations should be determined by the end user. The information provided is a guideline for product use. This product is for research use only.

CATALOG NUMBER:

2125

List Size:
0.02 mg, 0.1 mg

List Price:

Price range: $99.00 through $445.00

Shipping Info
Customize your order
Custom Antibody Services

New & Featured Products

CATALOG NUMBER: PM-7369-HRP

CATALOG NUMBER: PM-7369-biotin

CATALOG NUMBER: PM-7369