Trial Size

NALP3 Antibody

CATALOG NUMBER: 5447

Clonality:
Polyclonal
Tested Applications:
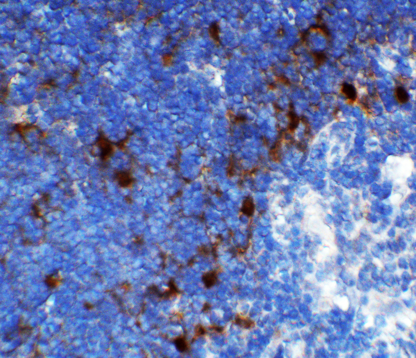
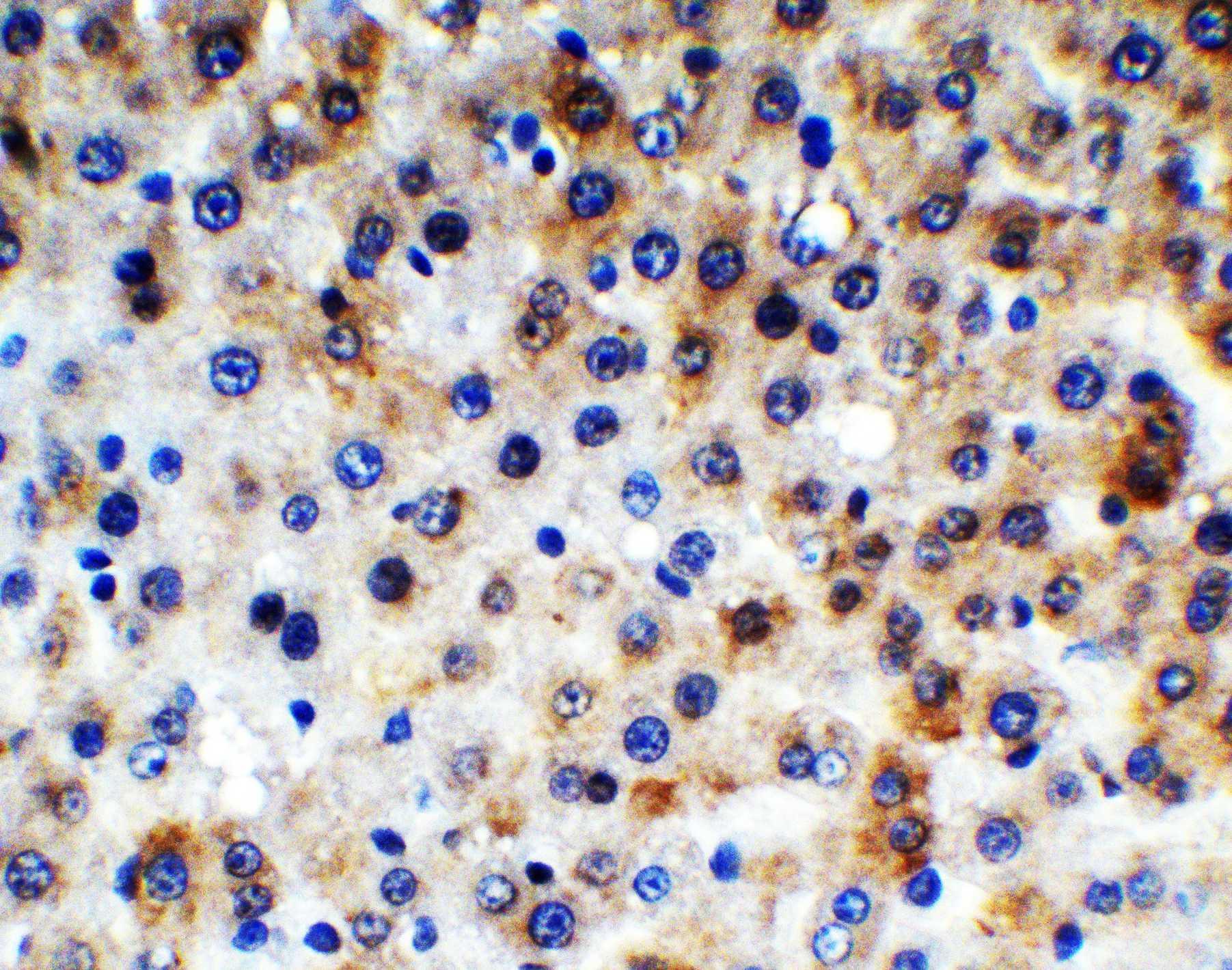
ELISA, IF, IHC, WB
Host Species:
Rabbit
Species Reactivity:
Human, Mouse, Rat
Conjugate:
Unconjugated
Specifications
Host Species:
Rabbit
Species Reactivity:
Human, Mouse, Rat
Homology:
Predicted species reactivity based on immunogen sequence: Bovine: (88%)
Immunogen:
Anti-NALP3 antibody (5447) was raised against a 16 amino acid synthetic peptide from near the amino terminus of human NALP3.
The immunogen is located within amino acids 120 - 170 of NALP3.
Conjugate:
Unconjugated
Tested Applications:
ELISA, IF, IHC, WB
Application Note:
WB: 0.5 μg/mL; IF: 20 μg/mL.
Antibody validated: Western Blot in human, mouse and rat samples; Immunofluorescence in human, mouse and rat samples. All other applications and species not yet tested.
Positive Control 1:
Cat. No. 1204 - K562 Cell Lysate
Positive Control 2:
Cat. No. 17-004 - K-562 Cell Slide
Predicted Molecular Weight:
Predicted: 118 kDa
Observed: 118 kDa
Isoforms:
Human NALP3 has 6 isoforms, including isoform 1 (1036aa, 118.2kD), isoform 2 (922aa, 106kD), isoform 3 (719aa, 83.5kD), isoform 4 (979aa, 111.9kD), isoform 5 (979aa, 112.3kD), and isoform 6 (1016aa, 116kD). Mouse NALP3 has 4 isoforms, including isoform 1 (1033aa, 118.3kD), isoform 2 (976aa, 112.1kD), isoform 3 (976aa, 112kD), and isoform 4 (829aa, 95.7kD). Rat NALP3 has 1 isoform (1035aa, 118.5kD). 5447 can detect NALP3 in human, mouse, and rat.
Purification:
NALP3 Antibody is affinity chromatography purified via peptide column.
Clonality:
Polyclonal
Isotype:
IgG
physical-state:
Liquid
Buffer:
NALP3 Antibody is supplied in PBS containing 0.02% sodium azide.
Concentration:
1 mg/mL
Storage Conditions:
NALP3 antibody can be stored at 4°C for three months and -20°C, stable for up to one year. As with all antibodies care should be taken to avoid repeated freeze thaw cycles. Antibodies should not be exposed to prolonged high temperatures.
Ncbi Official Symbol:
NLRP3
Additional Names:
NALP3 Antibody: AII, AVP, FCU, MWS, FCAS, CIAS1, NALP3, C1orf7, CLR1.1, PYPAF1, AGTAVPRL, NACHT, LRR and PYD domains-containing protein 3, Cold autoinflammatory syndrome 1 protein
Protein Accession Number:
NP_899632
Protein Gi Number:
34878690
Ncbi Gene Id Number:
114548
User Note:
Optimal dilutions for each application to be determined by the researcher.
Background:
NALP3 Antibody: NALP3, a member of Nod-like receptors, has a crucial role in inflammation and immunity and may be a proximal sensor of cellular stress and danger signals. NALP3 forms a caspase-1 activating molecular complex termed the inflammasome. The inflammasome allows activation of IL-1β, the key player of the inflammation and fever. NALP3 gene encodes a pyrin like protein which contains a pyrin domain, a nucleotide binding site (NBS) domain, and a leucine rich repeat (LRR) motif. NALP3 protein interacts with apoptosis associated speck like protein containing a CARD and may function as an inducer of apoptosis and an activator of NF-κB signaling. Defects in NALP3 have been associated with familial cold autoinflammatory syndrome (FCAS), Muckle-Wells syndrome (MWS), chronic infantile neurological cutaneous and articular (CINCA) syndrome, and neonatal-onset multisystem inflammatory disease (NOMID). Recently, NALP3 has been shown to be a key factor in the lung pathology for the body's SARS-CoV-2 response. Inhibition of the NLRP3 inflammasome pathway reduces the inflammatory profile of infected cells as well as reducing immune cell infiltration and enhancing tissue recovery to homeostasis. The goal of this treatment is to reduce symptoms of Covid19 infection in the lungs.
Background Reference 1:
Chamaillard et al. Cell. Microbiol.2003; 5:581-92.
Background Reference 2:
O'Connor et al. J. Immunol.2003; 171:6329-33.
Background Reference 3:
Kanneganti et al. Nature 2006; 440:233-6.
Background Reference 4:
Agostini et al. Immunity 2004; 20:319-25.
Background Reference 5:
Sefik et al. Nature 2022 April 28.

FOR RESEARCH USE ONLY

For additional information, visit ProSci’s Terms & Conditions Page.

Disclaimer:
Optimal dilutions/concentrations should be determined by the end user. The information provided is a guideline for product use. This product is for research use only.

CATALOG NUMBER:

5447

List Size:
0.02 mg, 0.1 mg

List Price:

Price range: $99.00 through $445.00

Shipping Info
Customize your order
Custom Antibody Services

New & Featured Products

CATALOG NUMBER: PM-7369-HRP

CATALOG NUMBER: PM-7369-biotin

CATALOG NUMBER: PM-7369