Trial Size

RIG-1 Antibody

CATALOG NUMBER: 3953

Clonality:
Polyclonal
Tested Applications:
ELISA, IHC-P, WB
Host Species:
Rabbit
Species Reactivity:
Human, Mouse, Rat
Conjugate:
Unconjugated
Specifications
Host Species:
Rabbit
Species Reactivity:
Human, Mouse, Rat
Immunogen:
RIG-1 antibody was raised against human GST-tagged RIG-1 protein.
Conjugate:
Unconjugated
Tested Applications:
ELISA, IHC-P, WB
Application Note:
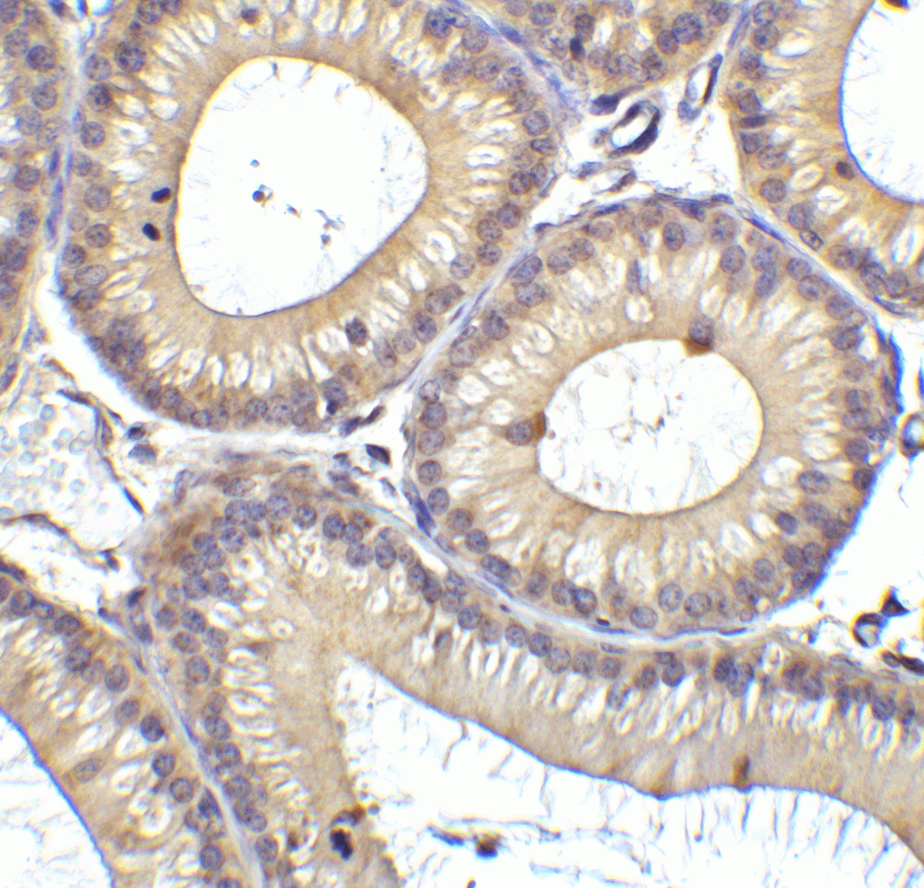
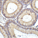
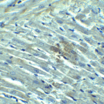
RIG-1 antibody can be used for the detection of RIG-1 by Western blot at 0.5 - 2 μg/mL. Antibody can also be used for immunohistochemistry starting at 5 μg/mL.
Antibody validated: Western Blot in mouse samples and Immunohistochemistry in human and rat samples. All other applications and species not yet tested.
Positive Control 1:
Cat. No. 1285 - C2C12 Cell Lysate
Positive Control 2:
Cat. No. 1301 - Human Heart Tissue Lysate
Positive Control 3:
Cat. No. 10-501 - Human Heart Tissue Slide
Purification:
RIG-1 Antibody is Protein A purified.
Clonality:
Polyclonal
Isotype:
IgG
physical-state:
Liquid
Buffer:
RIG-1 Antibody is supplied in PBS containing 0.02% sodium azide.
Concentration:
1 mg/mL
Storage Conditions:
RIG-1 antibody can be stored at 4°C for three months and -20°C, stable for up to one year. As with all antibodies care should be taken to avoid repeated freeze thaw cycles. Antibodies should not be exposed to prolonged high temperatures.
Ncbi Official Symbol:
DDX58
Additional Names:
RIG-1 Antibody: RIGI, RIG-I, RLR-1, Probable ATP-dependent RNA helicase DDX58, DEAD box protein 58
Protein Accession Number:
O95786
Protein Gi Number:
81170421
Ncbi Gene Id Number:
23586
User Note:
Optimal dilutions for each application to be determined by the researcher.
Background:
RIG-1 Antibody: The innate immune system detects viral infection by recognizing various viral components and triggers antiviral responses. Like the toll-like receptor 3 (TLR3), the cytoplasmic helicase retinoic acid inducible gene protein 1 (RIG-1) recognizes double-stranded (ds) RNA, a molecular pattern associated with viral infection. Unlike TLR3 however, RIG-1 activates the kinases TBK1 and IKKε through the adaptor protein IPS-1. These kinases then phosphorylate the transcription factors IRF-3 and IRF-7 which are essential for the expression of type-I interferons. RIG-1 is required for the production of interferons in response to RNA viruses including paramyxoviruses, influenza virus, and Japanese encephalitis virus.
Background Reference 1:
Akira S, Uematsu S, and Takeuchi O. Pathogen recognition and innate immunity. Cell 2006; 124:783-801.
Background Reference 2:
Yoneyama M, Kikuchi M, Natsukawa T, et al. The RNA helicase RIG-I has an essential function in double-stranded RNA-induced innate antiviral responses. Nat. Immunol. 2004; 5:730-7.
Background Reference 3:
Alexopoulou L, Holt AC, Medzhitov R, et al. Recognition of double-stranded RNA and activation of NF-kappaB by Toll-like receptor 3. Nature 2001; 413:732-8.
Background Reference 4:
Sharma S, tenOever BR, Grandvaux N, et al. Triggering the interferon antiviral response through an IKK-related pathway. Science 2003; 300:1148-51.

FOR RESEARCH USE ONLY

For additional information, visit ProSci’s Terms & Conditions Page.

Disclaimer:
Optimal dilutions/concentrations should be determined by the end user. The information provided is a guideline for product use. This product is for research use only.

CATALOG NUMBER:

3953

List Size:
0.02 mg, 0.1 mg

List Price:

Price range: $99.00 through $445.00

Shipping Info
Customize your order
Custom Antibody Services

New & Featured Products

CATALOG NUMBER: PM-7369-HRP

CATALOG NUMBER: PM-7369-biotin

CATALOG NUMBER: PM-7369