SARS Antibody

CATALOG NUMBER: 22-446

Clonality:
Polyclonal
Tested Applications:
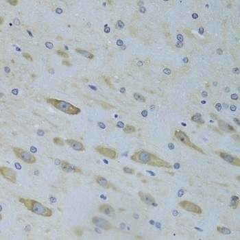
IF, IHC, WB
Host Species:
Rabbit
Species Reactivity:
Human, Mouse, Rat
Conjugate:
Unconjugated
Specifications
Host Species:
Rabbit
Species Reactivity:
Human, Mouse, Rat
Immunogen:
Recombinant fusion protein containing a sequence corresponding to amino acids 1-300 of human SARS (NP_006504.2).
Conjugate:
Unconjugated
Tested Applications:
IF, IHC, WB
Application Note:
WB: 1:500 - 1:2000
IHC: 1:50 - 1:200
IF: 1:50 - 1:200
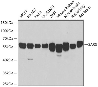
Positive Control 1:
MCF7
Positive Control 2:
HepG2
Positive Control 3:
HeLa
Positive Control 4:
U-251MG
Positive Control 5:
293T
Positive Control 6:
Mouse kidney
Predicted Molecular Weight:
Observed: 59kDa
Purification:
Affinity purification
Clonality:
Polyclonal
Isotype:
IgG
physical-state:
Liquid
Buffer:
PBS with 0.02% sodium azide, 50% glycerol, pH7.3.
Concentration:
batch dependent
Storage Conditions:
Store at -20°C. Avoid freeze / thaw cycles.
Ncbi Official Symbol:
SARS
Additional Names:
SARS, SERS, SERRS
Ncbi Gene Id Number:
6301
User Note:
Optimal dilutions for each application to be determined by the researcher.
Background:
This gene belongs to the class II amino-acyl tRNA family. The encoded enzyme catalyzes the transfer of L-serine to tRNA (Ser) and is related to bacterial and yeast counterparts. Multiple alternatively spliced transcript variants have been described but the biological validity of all variants is unknown.

FOR RESEARCH USE ONLY

For additional information, visit ProSci’s Terms & Conditions Page.

Disclaimer:
Optimal dilutions/concentrations should be determined by the end user. The information provided is a guideline for product use. This product is for research use only.

CATALOG NUMBER:

22-446

List Size:
100 uL

List Price:

$436.00

Shipping Info
Customize your order
Custom Antibody Services

New & Featured Products

CATALOG NUMBER: PM-7369-HRP

CATALOG NUMBER: PM-7369-biotin

CATALOG NUMBER: PM-7369