SLC25A1 Antibody

CATALOG NUMBER: 13-528

Clonality:
Polyclonal
Tested Applications:
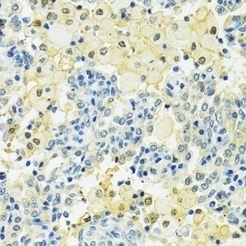
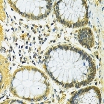
IHC, WB
Host Species:
Rabbit
Species Reactivity:
Human, Mouse, Rat
Conjugate:
Unconjugated
Specifications
Host Species:
Rabbit
Species Reactivity:
Human, Mouse, Rat
Immunogen:
Recombinant fusion protein containing a sequence corresponding to amino acids 1-311 of human SLC25A1 (NP_005975.1).
Conjugate:
Unconjugated
Tested Applications:
IHC, WB
Application Note:
WB: 1:200 - 1:2000
IHC: 1:50 - 1:200
Purification:
Affinity purification
Clonality:
Polyclonal
Isotype:
IgG
physical-state:
Liquid
Buffer:
PBS with 0.02% sodium azide, 50% glycerol, pH7.3.
Concentration:
batch dependent
Storage Conditions:
Store at -20°C. Avoid freeze / thaw cycles.
Ncbi Official Symbol:
SLC25A1
Additional Names:
Tricarboxylate transport protein, mitochondrial, Citrate transport protein, CTP, Solute carrier family 25 member 1, Tricarboxylate carrier protein, SLC25A1, SLC20A3
Ncbi Gene Id Number:
6576
User Note:
Optimal dilutions for each application to be determined by the researcher.
Background:
This gene encodes a member of the mitochondrial carrier subfamily of solute carrier proteins. Members of this family include nuclear-encoded transporters that translocate small metabolites across the mitochondrial membrane. This protein regulates the movement of citrate across the inner membranes of the mitochondria. Mutations in this gene have been associated with combined D-2- and L-2-hydroxyglutaric aciduria. Pseudogenes of this gene have been identified on chromosomes 7, 11, 16, and 19. Alternative splicing results in multiple transcript variants.

FOR RESEARCH USE ONLY

For additional information, visit ProSci’s Terms & Conditions Page.

Disclaimer:
Optimal dilutions/concentrations should be determined by the end user. The information provided is a guideline for product use. This product is for research use only.

CATALOG NUMBER:

13-528

List Size:
100 uL

List Price:

$436.00

Shipping Info
Customize your order
Custom Antibody Services

New & Featured Products

CATALOG NUMBER: PM-7369-HRP

CATALOG NUMBER: PM-7369-biotin

CATALOG NUMBER: PM-7369