Trial Size

SPIB Antibody

CATALOG NUMBER: 8157

Clonality:
Polyclonal
Tested Applications:
ELISA, IF, IHC-P, WB
Host Species:
Rabbit
Species Reactivity:
Human, Mouse, Rat
Conjugate:
Unconjugated
Specifications
Host Species:
Rabbit
Species Reactivity:
Human, Mouse, Rat
Homology:
Predicted species reactivity based on immunogen sequence: Pig: (88%)
Immunogen:
SPIB antibody was raised against a 17 amino acid peptide near the carboxy terminus of human SPIB.
The immunogen is located within amino acids 200 - 250 of SPIB.
Conjugate:
Unconjugated
Tested Applications:
ELISA, IF, IHC-P, WB
Application Note:
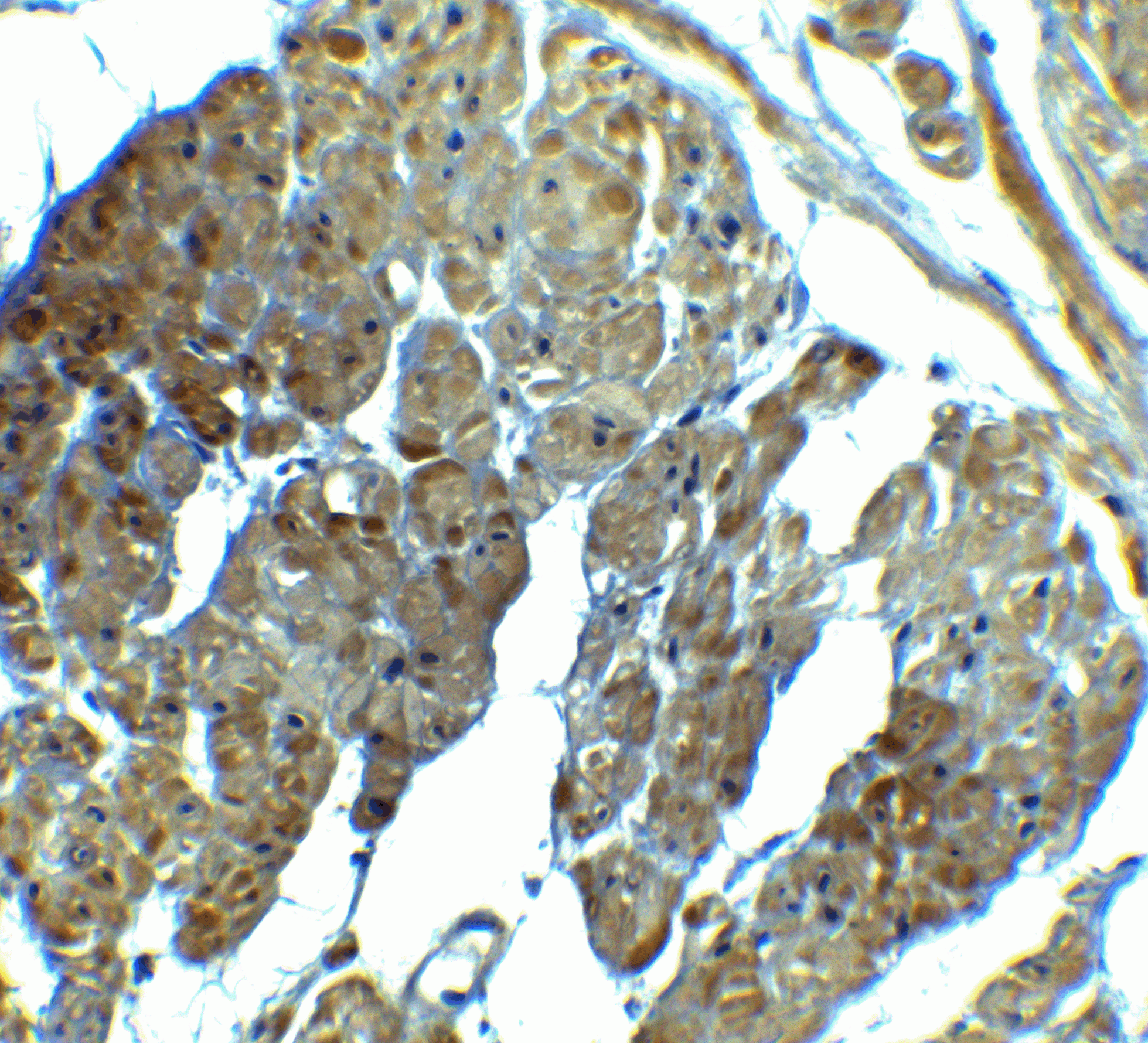
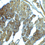
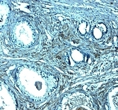
SPIB antibody can be used for detection of SPIB by Western blot at 1 - 2 μg/ml. Antibody can also be used for immunohistochemistry starting at 2.5 μg/mL. For immunofluorescence start at 20 μg/mL.
Antibody validated: Western Blot in human samples; Immunohistochemistry in human samples and Immunofluorescence in human samples. All other applications and species not yet tested.
Specificity:
SPIB antibody is human, mouse and rat reactive. At least four isoforms of SPIB are known to exist; this antibody will detect all but isoform 3.
Positive Control 1:
Cat. No. 1312 - Human Prostate Tissue Lysate
Predicted Molecular Weight:
Predicted: 19, 25, 29 kDa
Observed: 20 kDa
Purification:
SPIB antibody is affinity chromatography purified via peptide column.
Clonality:
Polyclonal
Isotype:
IgG
physical-state:
Liquid
Buffer:
SPIB antibody is supplied in PBS containing 0.02% sodium azide.
Concentration:
1 mg/mL
Storage Conditions:
SPIB antibody can be stored at 4°C for three months and -20°C, stable for up to one year.
Ncbi Official Symbol:
SPIB
Additional Names:
Spi-B transcription factor, SPI-B
Protein Accession Number:
NP_003112
Protein Gi Number:
61888836
Ncbi Gene Id Number:
6689
User Note:
Optimal dilutions for each application to be determined by the researcher.
Background:
SPIB is a member of the ETS transcription factor family that influences lymphoid development and activity and binds the consensus DNA site GGA (A/T) through a unique winged helix-turn-helix motif known as the ETS domain (1). SPIB is found in hematopoietic cells such as B cells and plasmacytoid dendritic cells (DC) (2,3). It promotes the development of plasmacytoid dendritic cells (pDCs) or natural interferon (IFN)-producing cells. SPIB may be required for B-cell receptor (BCR) signaling, which is necessary for normal B-cell development and antigenic stimulation (3,4).
Background Reference 1:
Ray D, Bosselut R, Ghysdael J, et al. Characterization of Spi-B, a transcription factor related to the putative oncoprotein Spi-1/PU.1. Mol. Cell Biol. 1992; 12:4297-304.
Background Reference 2:
Nagy M, Chapuis B, and Matthes T. Expression of transcription factors Pu.1, Spi-B, Blimp-1, BSAP and oct-2 in normal human plasma cells and in multiple myeloma cells. Br. J. Haematol. 2002; 116:429-35.
Background Reference 3:
Schotte R, Rissoan MC, Bendriss-Vermare N, et al. The transcription factor Spi-B is expressed in plasmacytoid DC precursors and inhibits T-, B-, and NK-cell development. Blood 2003; 101:1015-23.
Background Reference 4:
Schotte R, Nagasawa M, Weijer K, et al. The ETS transcription factor Spi-B is required for human plasmacytoid dendritic cell development. J. Exp. Med. 2004; 200:1503-9.

FOR RESEARCH USE ONLY

For additional information, visit ProSci’s Terms & Conditions Page.

Disclaimer:
Optimal dilutions/concentrations should be determined by the end user. The information provided is a guideline for product use. This product is for research use only.

CATALOG NUMBER:

8157

List Size:
0.02 mg, 0.1 mg

List Price:

Price range: $99.00 through $445.00

Shipping Info
Customize your order
Custom Antibody Services

New & Featured Products

CATALOG NUMBER: PM-7369-HRP

CATALOG NUMBER: PM-7369-biotin

CATALOG NUMBER: PM-7369