SUN2 Rabbit Recombinant Antibody (81-637)

CATALOG NUMBER: 81-637

Clonality:
Monoclonal
Tested Applications:
ELISA, IHC-P, WB
Host Species:
Rabbit
Species Reactivity:
Human, Mouse, Rat
Conjugate:
Unconjugated
Specifications
Host Species:
Rabbit
Species Reactivity:
Human, Mouse, Rat
Immunogen:
Synthetic peptide. This information is considered to be commercially sensitive.
Conjugate:
Unconjugated
Tested Applications:
ELISA, IHC-P, WB
Application Note:
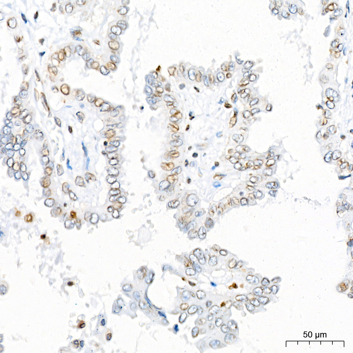
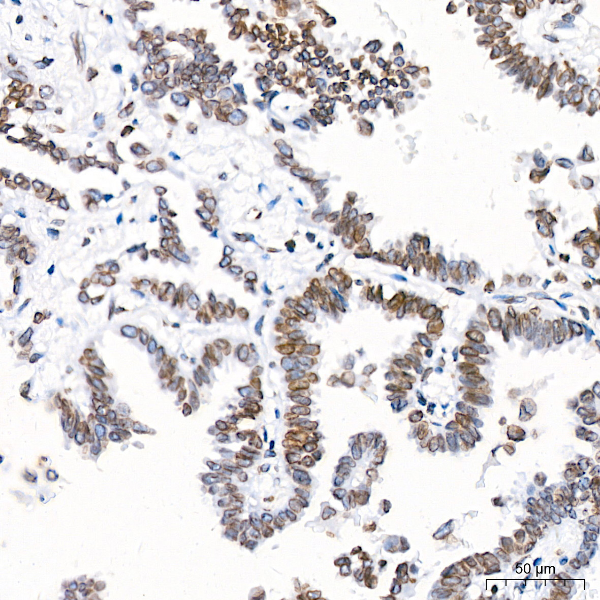
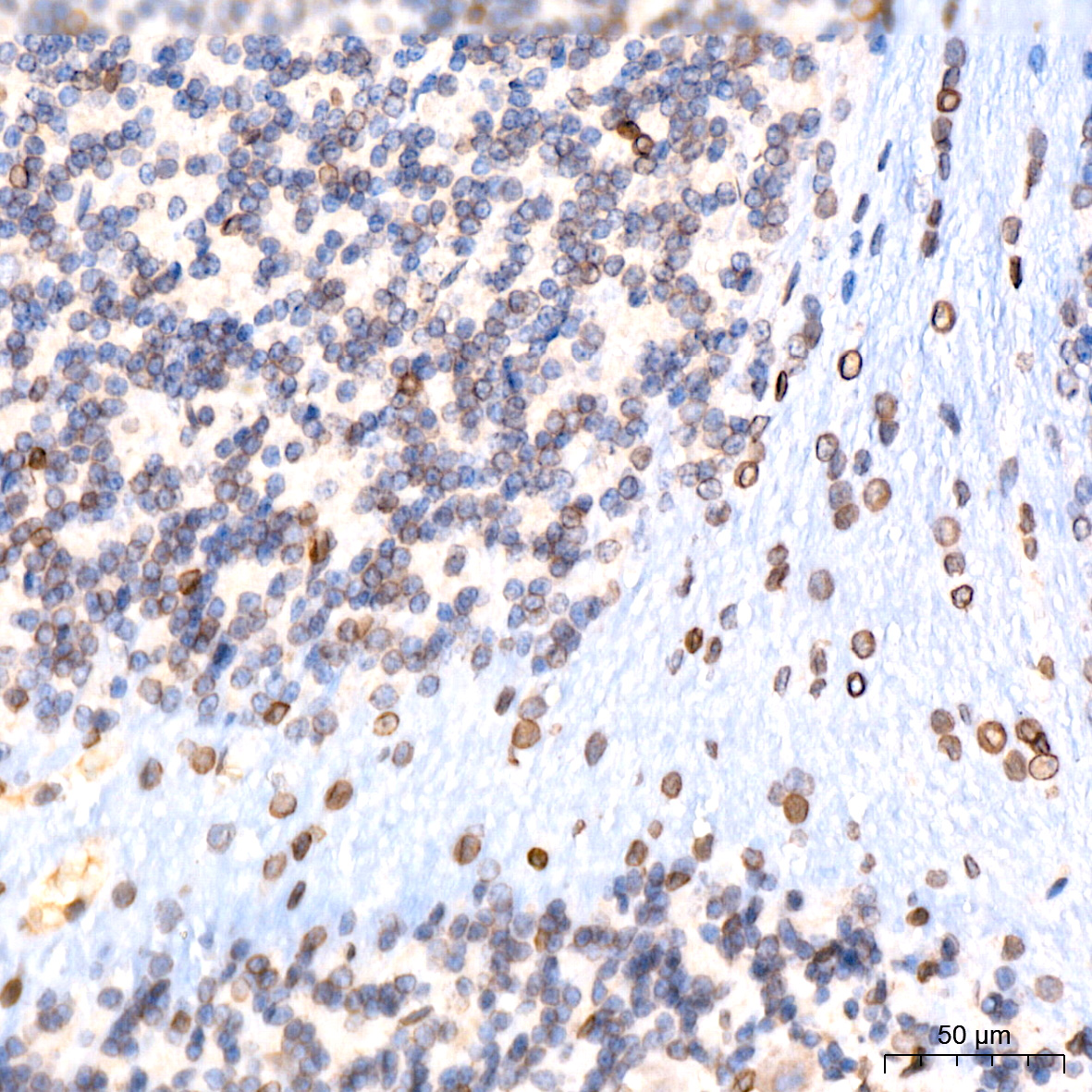
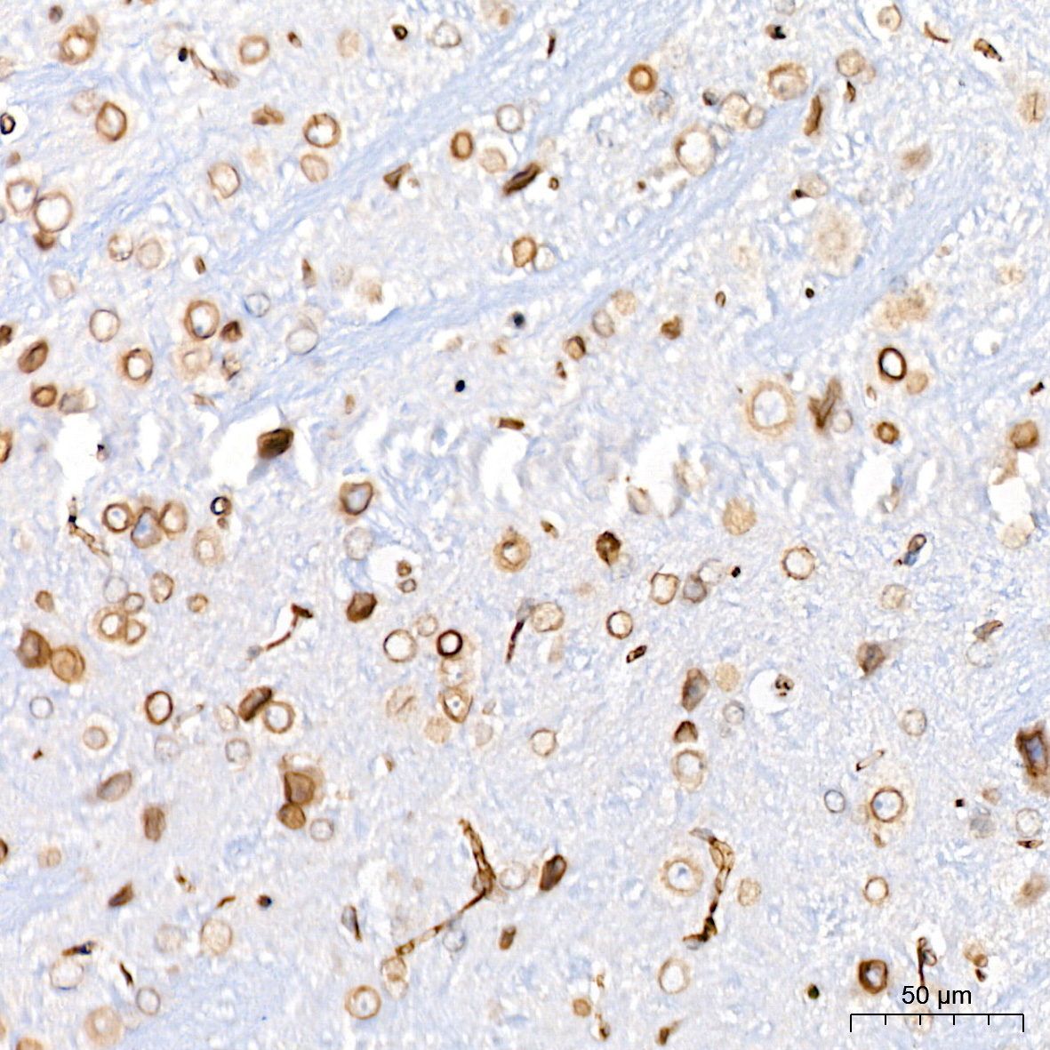
WB,1:1000 - 1:5000, IHC-P,1:50 - 1:200, ELISA,Recommended starting concentration is 1 μg/mL. Please optimize the concentration based on your specific assay requirements.
Positive Control 1:
HeLa,Jurkat
Predicted Molecular Weight:
80kDa
purification:
Affinity purification
Clonality:
Monoclonal
Isotype:
IgG
physical-state:
Liquid
Buffer:
Buffer: PBS with 0.02% sodium azide,0.05% BSA,50% glycerol,pH7.3.
Concentration:
Batch dependent
Storage Conditions:
Store at -20℃. Avoid freeze / thaw cycles.
Ncbi Official Symbol:
SUN2
Additional Names:
UNC84B; rab5IP; SUN2
Protein Accession Number:
Q9UH99
Ncbi Gene Id Number:
25777
User Note:
Optimal dilutions for each application to be determined by the researcher.
Background:
SUN1 (MIM 607723) and SUN2 are inner nuclear membrane (INM) proteins that play a major role in nuclear-cytoplasmic connection by formation of a 'bridge' across the nuclear envelope, known as the LINC complex, via interaction with the conserved luminal KASH domain of nesprins (e.g., SYNE1; MIM 608441) located in the outer nuclear membrane (ONM). The LINC complex provides a direct connection between the nuclear lamina and the cytoskeleton, which contributes to nuclear positioning and cellular rigidity (summary by Haque et al., 2010 [PubMed 19933576]).

FOR RESEARCH USE ONLY

For additional information, visit ProSci’s Terms & Conditions Page.

Disclaimer:
This product is for research use only.

CATALOG NUMBER:

81-637

List Size:
100 uL

List Price:

$477.00

Shipping Info
Customize your order
Custom Antibody Services

New & Featured Products

CATALOG NUMBER: PM-7369-HRP

CATALOG NUMBER: PM-7369-biotin

CATALOG NUMBER: PM-7369