IAV
Trial Size

Survivin Antibody

CATALOG NUMBER: 2235

Clonality:
Polyclonal
Tested Applications:
ELISA, ICC, IF, WB
Host Species:
Rabbit
Species Reactivity:
Human
Conjugate:
Unconjugated
Specifications
Host Species:
Rabbit
Species Reactivity:
Human
Homology:
Predicted species reactivity based on immunogen sequence: Pig: (92%), Bovine: (79%), Mouse: (71%), Rat: (71%)
Immunogen:
Anti-Survivin antibody (2235) was raised against a peptide corresponding to 14 amino acids near the carboxy terminus of human Survivin.
The immunogen is located within the last 50 amino acids of Survivin.
Conjugate:
Unconjugated
Tested Applications:
ELISA, ICC, IF, WB
Application Note:
WB: 1-5 μg/mL; ICC: 10 μg/mL; IF: 10 μg/mL.
Antibody validated: Western Blot in human samples; Immunocytochemistry in human samples; Immunofluorescence in human samples. All other applications and species not yet tested.
Positive Control 1:
Cat. No. 1206 - MOLT4 Cell Lysate
Positive Control 2:
Cat. No. 17-006 - MOLT-4 Cell Slide
Positive Control 3:
Cat. No. 1201 - HeLa Cell Lysate
Positive Control 4:
Cat. No. 1204 - K562 Cell Lysate
Positive Control 5:
Cat. No. 1224 - Daudi Cell Lysate
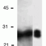
Predicted Molecular Weight:
Predicted: 17kD
Observed: 17 kD
Validation:

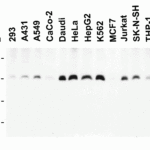
Independent Antibody Validation in Cell lines (Figure 2) shows similar Survivin expression profile in human cell lines detected by two independent anti-Survivin antibodies that recognize different epitopes, 2233 against N-terminus domain and 2235 against C-terminus domain.  Survivin proteins are detected in the most tested cell lines at different expression levels by the two independent antibodies. 

Recombinant Protein Test (Figure 6- 8): Anti-Survivin antibodies (2235) detected human Survivin recombinant protein directly or in sera from cancer patients.

Isoforms:
Human Survivin has 7 isoforms, including isoform 1 (142aa, 16kD), isoform 2 (165aa, 19kD), isoform 3 (137aa, 16kD), isoform 4 (120aa, 14kD), isoform 5 (117aa, 14kD), isoform 6 (78aa, 9kD) and isoform 7 (74aa, 8.5kD). Mouse Survivin has 3 isoforms, including isoform 1 (140aa, 16kD), isoform 2 (121aa, 14kD) and isoform 3 (40aa, 4.7kD). Rat Survivin has one isoform (142aa, 17kD). 2235 can detect human and possibly mouse and rat.
Purification:
Survivin Antibody is affinity chromatography purified via peptide column.
Clonality:
Polyclonal
Isotype:
IgG
physical-state:
Liquid
Buffer:
Survivin Antibody is supplied in PBS containing 0.02% sodium azide.
Concentration:
1 mg/ml
Storage Conditions:
Survivin antibody can be stored at 4°C for three months and -20°C, stable for up to one year. As with all antibodies care should be taken to avoid repeated freeze thaw cycles. Antibodies should not be exposed to prolonged high temperatures.
Ncbi Official Symbol:
BIRC5
Additional Names:
Survivin Antibody: API4, EPR-1, API4, IAP4, Baculoviral IAP repeat-containing protein 5, Apoptosis inhibitor 4
Protein Accession Number:
NP_001159
Protein Gi Number:
59859878
Ncbi Gene Id Number:
332
User Note:
Optimal dilutions for each application to be determined by the researcher.
Background:
Survivin Antibody: Apoptosis, or programmed cell death, is related to many diseases, such as cancer. Apoptosis is triggered by a variety of stimuli including members in the TNF family and prevented by the inhibitor of apoptosis (IAP) proteins. IAP proteins form a conserved gene family that binds to and inhibits cell death proteases. A novel IAP protein was recently identified and designated survivin, apoptosis inhibitor 4 (API4), and TIAP. Survivin/TIAP interacted with the processed form of caspase-3 and inhibited its proteolytic activity. Survivin/TIAP is predominantly expressed in tissues of embryos, transformed cell lines, and many human cancers and lymphomas.
Background Reference 1:
Ambrosini et al. Nat Med 1997;3:917-21.
Background Reference 2:
Li et al. Nature 1998;396:580-4.
Background Reference 3:
Kobayashi et al. Proc Natl Acad Sci USA 1999;96:1457-62 (WD0600).
Citation 1:
Zhang et al. Antibody detectionusing tumor-associated antigen mini-array in immunodiagnosing human hepatocellular carcinoma. J Hepatol. 2007;46(1):107-14. PMID: 17067715
Citation 2:
Megliorino et al. Autoimmune response to anti-apoptotic protein survivin and its association with antibodies to p53 and c-myc in cancer detection. Cancer Detect Prev. 2005;29(3):241-8. PMID: 15896923
Citation 3:
Li et al. Detection of autoantibodies to multiple tumor-associated antigens in the immunodiagnosis of ovarian cancer. Mol Med Rep. 2008;1(4):589-94. PMID: 20523766

FOR RESEARCH USE ONLY

For additional information, visit ProSci’s Terms & Conditions Page.

Disclaimer:
Optimal dilutions/concentrations should be determined by the end user. The information provided is a guideline for product use. This product is for research use only.

CATALOG NUMBER:

2235

List Size:
0.02 mg, 0.1 mg

List Price:

Price range: $99.00 through $445.00

Shipping Info
Customize your order
Custom Antibody Services

New & Featured Products

CATALOG NUMBER: PM-7369-HRP

CATALOG NUMBER: PM-7369-biotin

CATALOG NUMBER: PM-7369