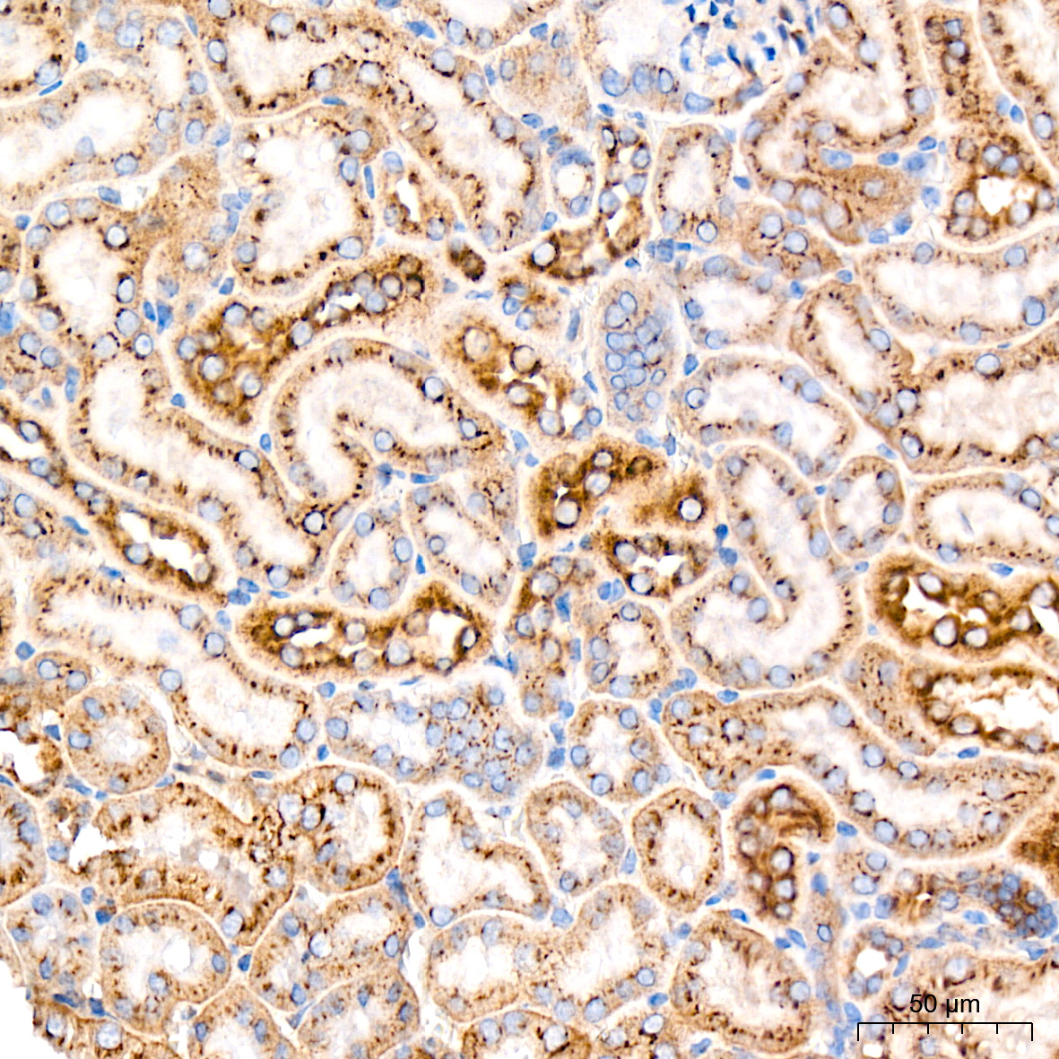
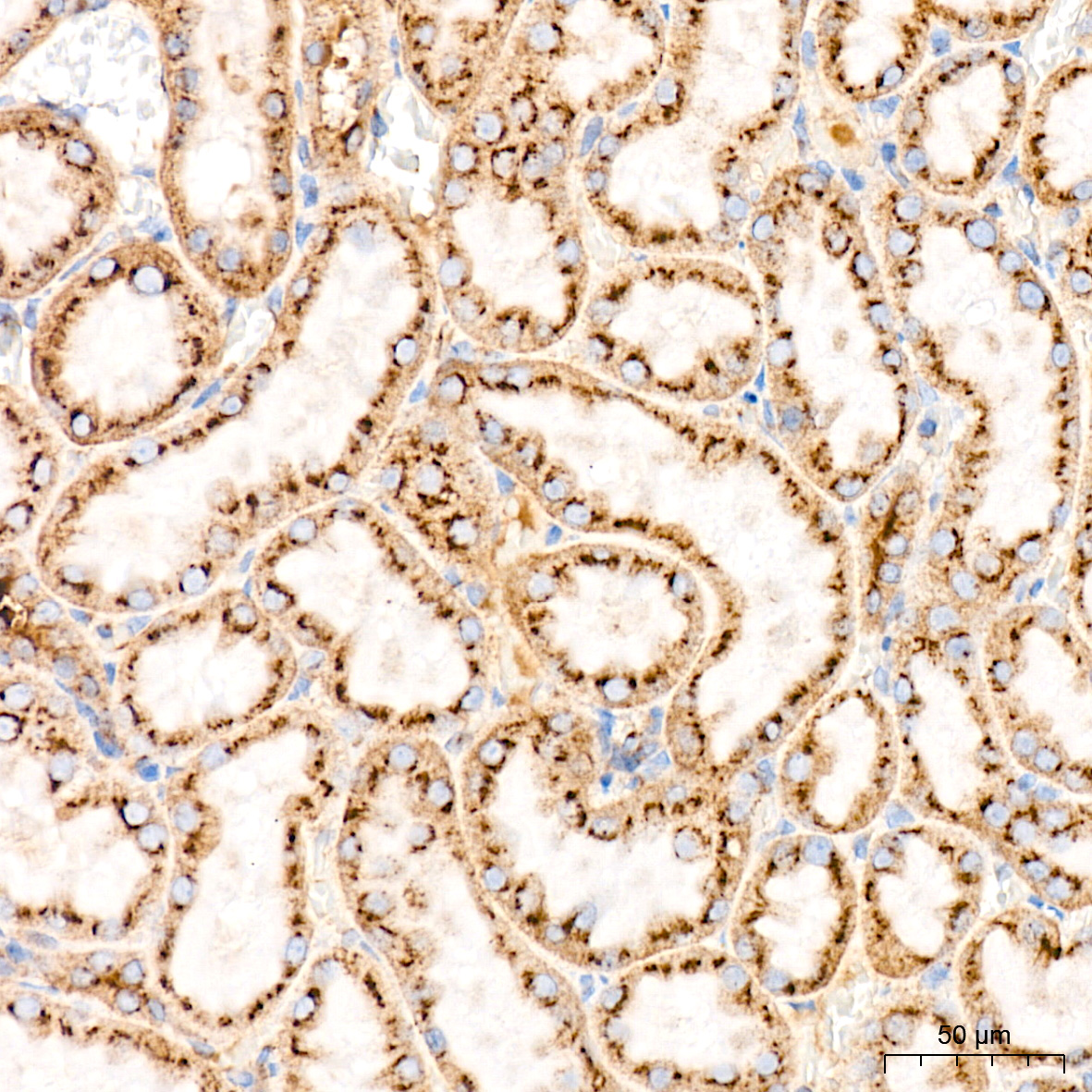
Syntaxin 16 Rabbit Recombinant Antibody (84-388)

CATALOG NUMBER: 84-388

Clonality:
Monoclonal
Tested Applications:
ELISA, IHC-P, WB
Host Species:
Rabbit
Species Reactivity:
Human, Mouse, Rat
Conjugate:
Unconjugated
Specifications
Host Species:
Rabbit
Species Reactivity:
Human, Mouse, Rat
Immunogen:
Synthetic peptide. This information is considered to be commercially sensitive.
Conjugate:
Unconjugated
Tested Applications:
ELISA, IHC-P, WB
Application Note:
WB,1:500 - 1:1000, IHC-P,1:50 - 1:200, ELISA,Recommended starting concentration is 1 μg/mL. Please optimize the concentration based on your specific assay requirements.
Positive Control 1:
293T,SH-SY5Y,Mouse lung,Mouse brain,Mouse thymus,Rat brain,Rat pancreas
Predicted Molecular Weight:
37kDa
purification:
Affinity purification
Clonality:
Monoclonal
Isotype:
IgG
physical-state:
Liquid
Buffer:
Buffer: PBS with 0.02% sodium azide,0.05% BSA,50% glycerol,pH7.3.
Concentration:
Batch dependent
Storage Conditions:
Store at -20℃. Avoid freeze / thaw cycles.
Ncbi Official Symbol:
STX16
Additional Names:
SYN16; SYN-16; Syntaxin 16
Protein Accession Number:
O14662
Ncbi Gene Id Number:
8675
User Note:
Optimal dilutions for each application to be determined by the researcher.
Background:
This gene encodes a protein that is a member of the syntaxin or t-SNARE (target-SNAP receptor) family. These proteins are found on cell membranes and serve as the targets for V-SNARES (vesicle-SNAP receptors) permitting specific synaptic vesicle docking and fusion. A microdeletion in the region of chromosome 20 where this gene is located has been associated with pseudohypoparathyroidism type Ib. Multiple transcript variants have been found for this gene. Read-through transcription also exists between this gene and the neighboring downstream aminopeptidase-like 1 (NPEPL1) gene.

FOR RESEARCH USE ONLY

For additional information, visit ProSci’s Terms & Conditions Page.

Disclaimer:
This product is for research use only.

CATALOG NUMBER:

84-388

List Size:
100 uL

List Price:

$477.00

Shipping Info
Customize your order
Custom Antibody Services

New & Featured Products

CATALOG NUMBER: PM-7369-HRP

CATALOG NUMBER: PM-7369-biotin

CATALOG NUMBER: PM-7369