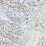
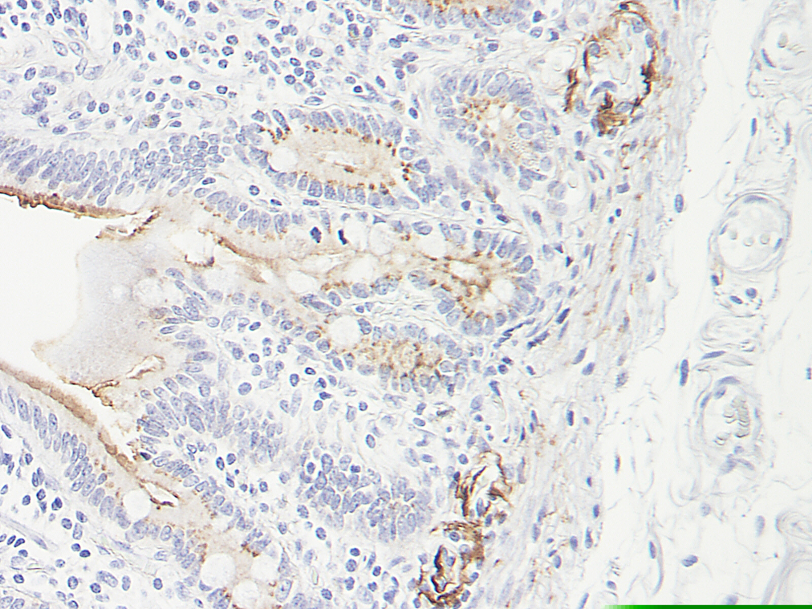
TECK Antibody [1.2_4G1-1G4-1C9]

CATALOG NUMBER: XP-5725-M

Clonality:
Monoclonal
Tested Applications:
ELISA, Neutralization Assay, WB
Host Species:
Mouse
Species Reactivity:
Human
Conjugate:
Unconjugated
Specifications
Host Species:
Mouse
Species Reactivity:
Human
Immunogen:
The monoclonal antibody was produced in Balb/c X ICR F1 mice using recombinant hTECK as the immunizing antigen.
Conjugate:
Unconjugated
Tested Applications:
ELISA, Neutralization Assay, WB
Application Note:
Neutralization:
To yield one-half maximal inhibition [ND50] of the biological activity of hTECK (100 ng/mL), a concentration of 10.0-20.0 μg/mL of this antibody is required.
ELISA:
In a sandwich ELISA (assuming 100 μL/well), a concentration of 1.0-2.0 μg/mL of this antibody will detect at least 300 pg/mL of recombinant human TECK when used with our biotinylated antigen affinity purified anti-human TECK (XP-5280Bt) as the detection antibody at a concentration of approximately 0.5-1.0 μg/mL.
Western Blot:
To detect hTECK by Western Blot analysis this antibody can be used at a concentration of 0.25-0.50 μg/mL. Used in conjunction with compatible secondary reagents the detection limit for recombinant hTECK is 0.50-1.0 ng/lane, under non-reducing conditions.
Purification:
This IgG1k antibody was purified from ascites fluid on a Protein A affinity column.
Clonality:
Monoclonal
physical-state:
Lyophilized
Concentration:
batch dependent
Storage Conditions:
TECK lyophilized antibody is stable at room temperature for at least one month and for greater than a year when kept at -20°C. Reconstitute in sterile water to a concentration of 0.1 - 1.0 mg/mL. The antibody is stable for at least six weeks at 2-4°C when reconstituted.
Ncbi Official Symbol:
CCL25
Additional Names:
Thymus expressed chemokine, Small inducible cytokine A25, CCL25, SCYA25, TECK, C-C motif chemokine 25, Chemokine TECKTECK, Ckb15
Protein Accession Number:
O15444
Protein Gi Number:
212286066
Ncbi Gene Id Number:
6370
User Note:
Centrifuge vial prior to opening.
Background:
This gene belongs to the subfamily of small cytokine CC genes. Cytokines are a family of secreted proteins involved in immunoregulatory and inflammatory processes. The CC cytokines are proteins characterized by two adjacent cysteines. TECK displays chemotactic activity for dendritic cells, thymocytes, and activated macrophages but is inactive on peripheral blood lymphocytes and neutrophils. TECK binds to chemokine receptor CCR9. Two alternatively spliced variants encoding two different isoforms have been identified.

FOR RESEARCH USE ONLY

For additional information, visit ProSci’s Terms & Conditions Page.

Disclaimer:
This product is for research use only.

CATALOG NUMBER:

XP-5725-M

List Size:
0.5 mg

List Price:

$376.00

Shipping Info
Customize your order
Custom Antibody Services

New & Featured Products

CATALOG NUMBER: PM-7369-HRP

CATALOG NUMBER: PM-7369-biotin

CATALOG NUMBER: PM-7369