Trial Size

TIGIT Antibody [10B1]

CATALOG NUMBER: RF16058

Clonality:
Monoclonal
Tested Applications:
ELISA, Flow, ICC, IF, IHC-P
Host Species:
Mouse
Species Reactivity:
Human
Conjugate:
Unconjugated
Specifications
Host Species:
Mouse
Species Reactivity:
Human
Immunogen:
TIGIT antibody was raised against the extracellular domain of human TIGIT
Conjugate:
Unconjugated
Tested Applications:
ELISA, Flow, ICC, IF, IHC-P
Application Note:
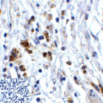
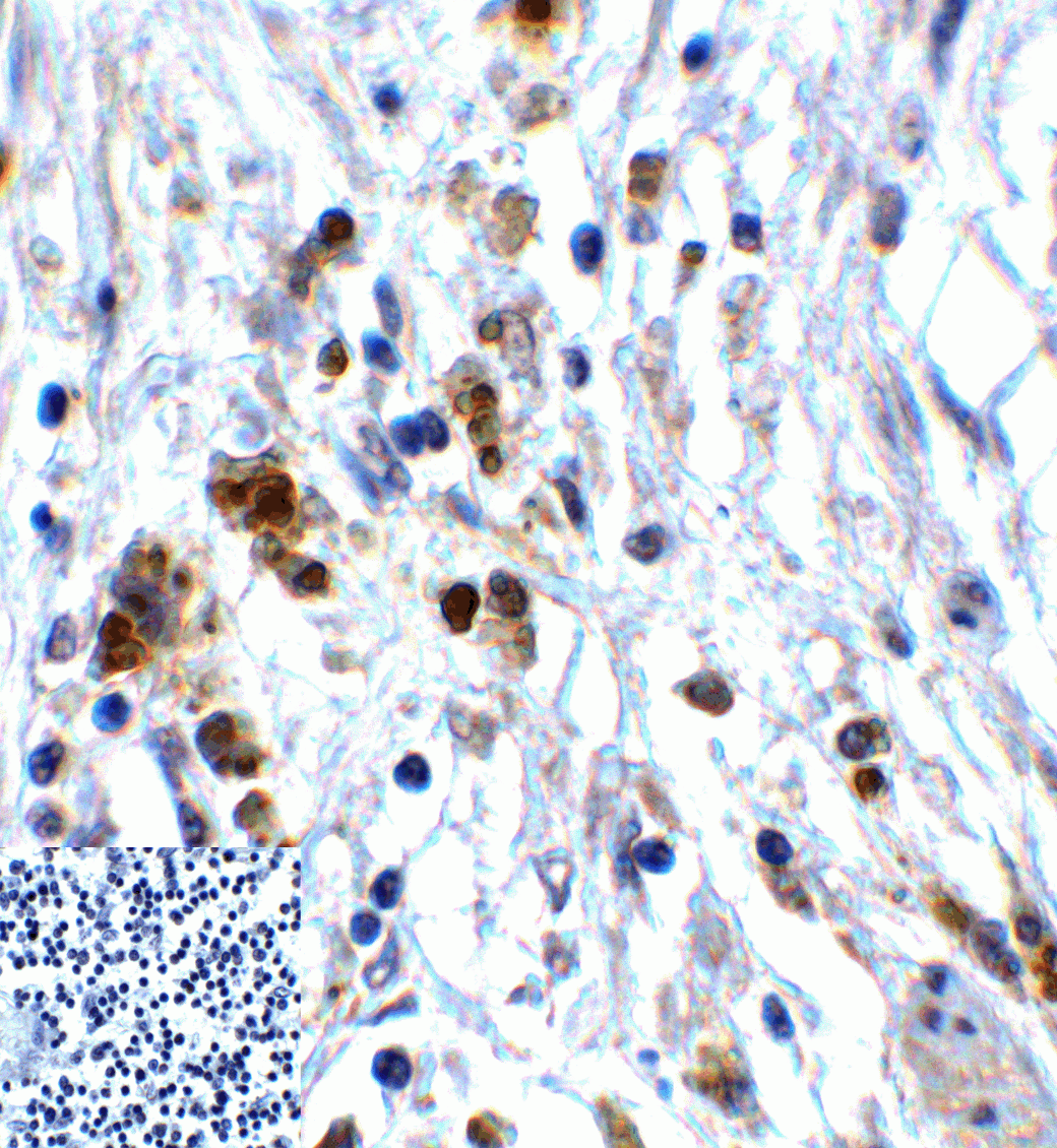
TIGIT antibody can be used for immunohistochemistry starting at 2 μg/mL. For immunofluorescence start at 1 μg/mL. For flow cytometry at 1 μg/ml. For immunocytochemistry at 1 μg/mL.
Antibody validated: Immunohistochemistry in human samples; Immunocytochemistry in human samples; Immunofluorescence in human samples and Flow Cytometry in human samples. All other applications and species not yet tested.
Positive Control 1:
Cat. No. 1340 - Human Stomach Carcinoma Tissue Lysate
Predicted Molecular Weight:
Predicted: 26 kDa
Observed: 47 kDa
Purification:
TIGIT Antibody is supplied as protein A purified IgG1.
Clonality:
Monoclonal
Isotype:
IgG1
physical-state:
Liquid
Buffer:
TIGIT Antibody is supplied in PBS containing 0.02% sodium azide and 50% glycerol.
Concentration:
1 mg/mL
Storage Conditions:
TIGIT antibody can be stored at 4°C for three months and -20°C, stable for up to one year. As with all antibodies care should be taken to avoid repeated freeze thaw cycles. Antibodies should not be exposed to prolonged high temperatures.
Ncbi Official Symbol:
TIGIT
Additional Names:
TIGIT Antibody: T-cell immunoreceptor with Ig and ITIM domains, VSIG9, VSTM3, WUCAM
Protein Accession Number:
NP_776160
Protein Gi Number:
256600228
Ncbi Gene Id Number:
201633
User Note:
Optimal dilutions for each application to be determined by the researcher.
Background:
TIGIT Antibody: The T cell immunoreceptor with Ig and ITIM domains (TIGIT) is a member of the PVR (poliovirus receptor) family of immunoglobin proteins. It is expressed on several classes of T cells including follicular B helper T cells (TFH). TIGIT has been shown to bind PVR with high affinity; this binding is thought to assist interactions between TFH and dendritic cells to regulate T cell dependent B cell responses (1). Similar to other immune checkpoint proteins such as PD-1, TIGIT is upregulated on exhausted T cells in chronic viral infections and cancer. Blockade of both TIGIT and PD-1 pathways leads to tumor rejection in mice suggesting that it may be of therapeutic use against cancer (2).
Background Reference 1:
Stanietsky N, Simic H, Arapovic J, et al. The interaction of TIGIT with PVR and PVRL2 inhibits human NK cell cytotoxicity. Proc Natl Acad Sci USA 2009; 106:17858-63.
Background Reference 2:
Johnston RJ, Comps-Agrar L, Hackney J, et al. The immunoreceptor TIGIT regulates antitumor and antiviral CD8(+) T cell effector function. Cancer Cell 2014; 26:923-37.

FOR RESEARCH USE ONLY

For additional information, visit ProSci’s Terms & Conditions Page.

Disclaimer:
Optimal dilutions/concentrations should be determined by the end user. The information provided is a guideline for product use. This product is for research use only.

CATALOG NUMBER:

RF16058

List Size:
0.02 mg, 0.1 mg

List Price:

Price range: $99.00 through $445.00

Shipping Info
Customize your order
Custom Antibody Services

New & Featured Products

CATALOG NUMBER: PM-7369-HRP

CATALOG NUMBER: PM-7369-biotin

CATALOG NUMBER: PM-7369