Trial Size

TIM3 Antibody [3G7]

CATALOG NUMBER: RF16105

Clonality:
Monoclonal
Tested Applications:
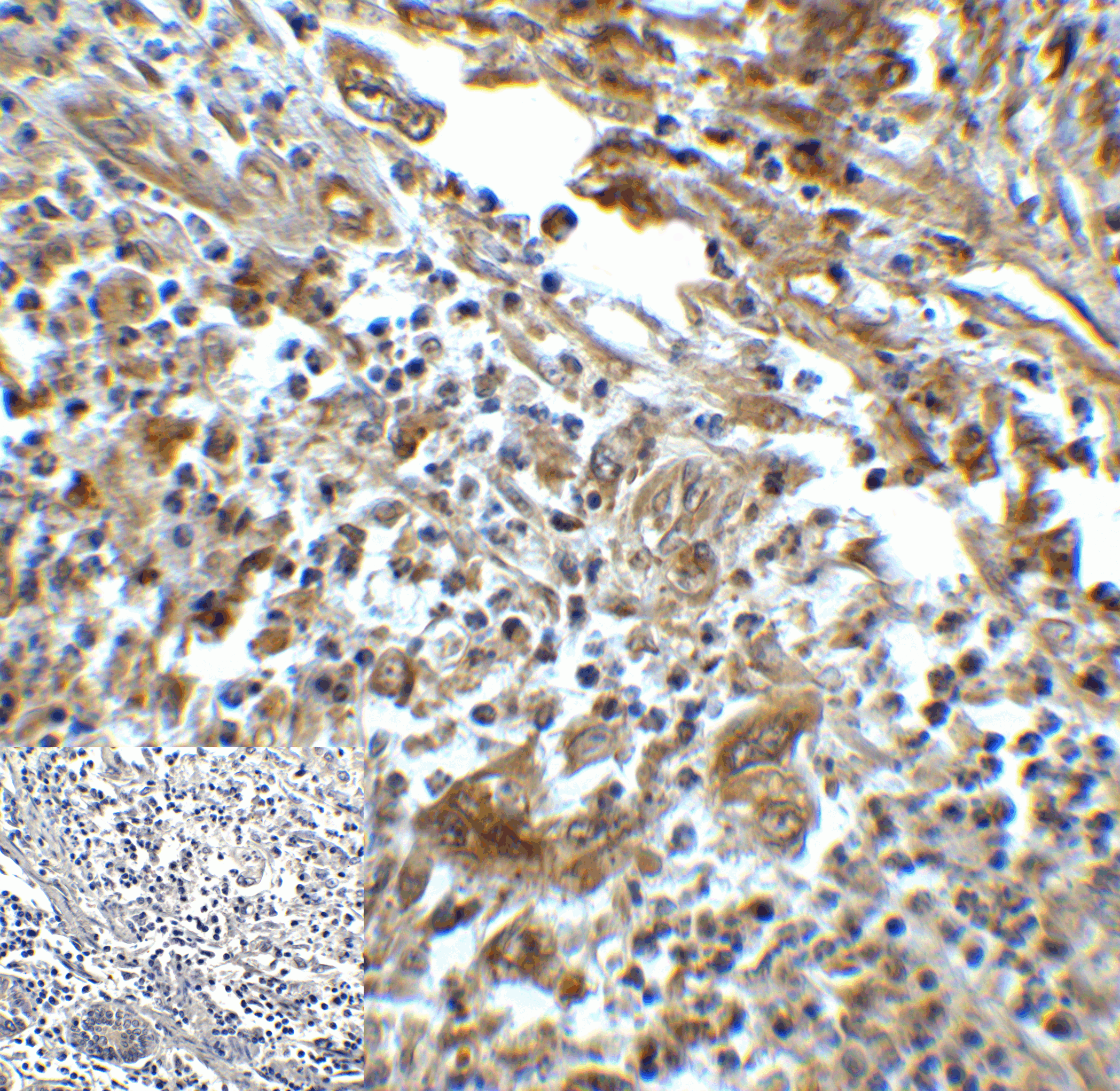
ELISA, Flow, ICC, IF, IHC-P
Host Species:
Mouse
Species Reactivity:
Human
Conjugate:
Unconjugated
Specifications
Host Species:
Mouse
Species Reactivity:
Human
Immunogen:
TIM-3 antibody was raised against the extracellular domain of human TIM-3
Conjugate:
Unconjugated
Tested Applications:
ELISA, Flow, ICC, IF, IHC-P
Application Note:
TIM-3 antibody can be used for ELISA starting at 0.1 μg/mL. For Immunocytochemistry start at 1 μg/mL. For Immunofluorescence start at 10 μg/mL. For Immunohistochemistry start at 5 μg/mL. For Flow Cytometry start at 0.1 μg/ml.
Purification:
TIM-3 Antibody is supplied as protein A purified IgG1.
Clonality:
Monoclonal
Isotype:
IgG1,k
physical-state:
Liquid
Buffer:
TIM-3 Antibody is supplied in PBS containing 0.02% sodium azide and 50% glycerol.
Concentration:
1 mg/mL
Storage Conditions:
TIM-3 antibody can be stored at 4°C for three months and -20°C, stable for up to one year. As with all antibodies care should be taken to avoid repeated freeze thaw cycles. Antibodies should not be exposed to prolonged high temperatures.
Ncbi Official Symbol:
HAVCR2
Additional Names:
TIM-3 Antibody: Hepatitis A virus cellular receptor, HAVCR2, TIM3, CD366, KIM-3, TIMD3, TIMD-3
Protein Accession Number:
NP_116171
Protein Gi Number:
84868
Ncbi Gene Id Number:
84868
User Note:
Optimal dilutions for each application to be determined by the researcher.
Background:
The immune checkpoint protein TIM3 is a member of the immunoglobulin superfamily and TIM family of proteins that was initially identified as a specific marker of fully differentiated IFN-γ producing CD4 T helper 1 (Th1) and CD8 cytotoxic cells. It is a Th1-specific cell surface protein that regulates macrophage activation and negatively regulates Th1-mediated auto- and alloimmune responses, and is also highly expressed on regulatory T cells, monocytes, macrophages, and dendritic cells (1). TIM3 and PD-1 are co-expressed on most CD4 and CD8 T cells infiltrating solid tumors or in hematologic malignancy in mice; blocking TIM3 in conjugation with a PD-1 blockade increases the functionality of exhausted T cells and synergizes with to inhibit tumor growth (2,3).
Background Reference 1:
Monney L, Sabatos CA, Gaglia JL, et al. Th1-specific cell surface protein Tim-3 regulates macrophage activation and severity of autoimmune disease. Nature 2002; 415:536-41.
Background Reference 2:
Sakuishi K, Apetoh L, Sullivan JM, et al. Targeting Tim-3 and PD-1 pathways to reverse T cell exhaustion and restore anti-tumor immunity. J Exp Med 2010; 207:2187–94.
Background Reference 3:
Zhou Q, Munger ME, Veenstra RG, et al. Coexpression of Tim-3 and PD-1 identifies a CD8+ T-cell exhaustion phenotype in mice with disseminated acute myelogenous leukemia. Blood 2011; 117:4501–10.

FOR RESEARCH USE ONLY

For additional information, visit ProSci’s Terms & Conditions Page.

Disclaimer:
Optimal dilutions/concentrations should be determined by the end user. The information provided is a guideline for product use. This product is for research use only.

CATALOG NUMBER:

RF16105

List Size:
0.02 mg, 0.1 mg

List Price:

Price range: $99.00 through $445.00

Shipping Info
Customize your order
Custom Antibody Services

New & Featured Products

CATALOG NUMBER: PM-7369-HRP

CATALOG NUMBER: PM-7369-biotin

CATALOG NUMBER: PM-7369