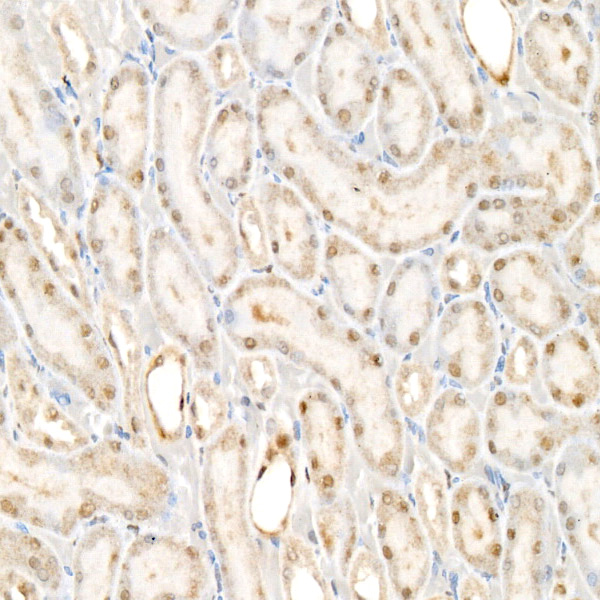
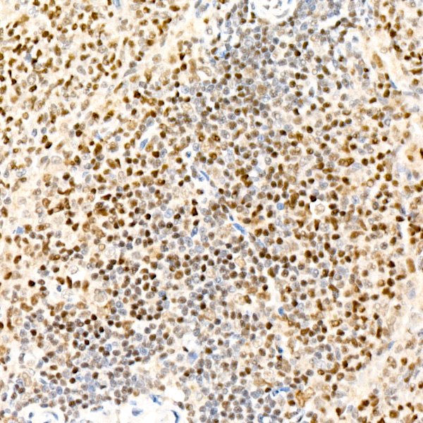
TLE2 Rabbit Recombinant Antibody

CATALOG NUMBER: 82-676

Clonality:
Monoclonal
Tested Applications:
ELISA, IHC-P, WB
Host Species:
Rabbit
Species Reactivity:
Human, Mouse, Rat
Conjugate:
Unconjugated
Specifications
Host Species:
Rabbit
Species Reactivity:
Human, Mouse, Rat
Immunogen:
Recombinant protein (or fragment).This information is considered to be commercially sensitive.
Conjugate:
Unconjugated
Tested Applications:
ELISA, IHC-P, WB
Application Note:
WB,1:500 - 1:1000, IHC-P,1:50 - 1:200, ELISA,Recommended starting concentration is 1 μg/mL. Please optimize the concentration based on your specific assay requirements.
Positive Control 1:
K-562,MCF7,SH-SY5Y
Predicted Molecular Weight:
80KDa
purification:
Affinity purification
Clonality:
Monoclonal
Isotype:
IgG
physical-state:
Liquid
Buffer:
Buffer: PBS containing 50% glycerol and 0.05% BSA, preserved with proclin300 or sodium azide (as specified on the Certificate of Analysis), pH 7.3.
Concentration:
Batch dependent
Storage Conditions:
Store at -20℃. Avoid freeze / thaw cycles.
Ncbi Official Symbol:
TLE2
Additional Names:
ESG; ESG2; GRG2; TLE2
Protein Accession Number:
Q04725
Ncbi Gene Id Number:
7089
User Note:
Optimal dilutions for each application to be determined by the researcher.
Background:
Enables transcription corepressor activity. Involved in negative regulation of canonical Wnt signaling pathway and negative regulation of transcription, DNA-templated. Located in focal adhesion and nuclear body.

FOR RESEARCH USE ONLY

For additional information, visit ProSci’s Terms & Conditions Page.

Disclaimer:
This product is for research use only.

CATALOG NUMBER:

82-676

List Size:
100 uL

List Price:

$477.00

Shipping Info
Customize your order
Custom Antibody Services

New & Featured Products

CATALOG NUMBER: PM-7369-HRP

CATALOG NUMBER: PM-7369-biotin

CATALOG NUMBER: PM-7369