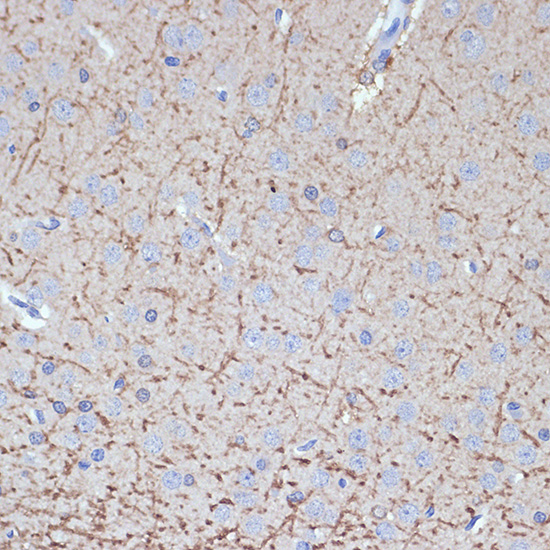
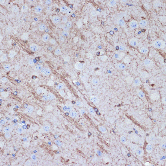
TMOD2 Rabbit Recombinant Antibody

CATALOG NUMBER: 81-629

Clonality:
Monoclonal
Tested Applications:
ELISA, IF-P, IHC-P, WB
Host Species:
Rabbit
Species Reactivity:
Mouse, Rat
Conjugate:
Unconjugated
Specifications
Host Species:
Rabbit
Species Reactivity:
Mouse, Rat
Immunogen:
Synthetic peptide. This information is considered to be commercially sensitive.
Conjugate:
Unconjugated
Tested Applications:
ELISA, IF-P, IHC-P, WB
Application Note:
WB,1:500 - 1:1000, IF-P,1:100 - 1:1000, IHC-P,1:100 - 1:400, ELISA,Recommended starting concentration is 1 μg/mL. Please optimize the concentration based on your specific assay requirements.
Positive Control 1:
Mouse testis,Mouse brain,Rat brain
Predicted Molecular Weight:
40kDa
purification:
Affinity purification
Clonality:
Monoclonal
Isotype:
IgG
physical-state:
Liquid
Buffer:
Buffer: PBS with 0.02% sodium azide,0.05% BSA,50% glycerol,pH7.3.
Concentration:
Batch dependent
Storage Conditions:
Store at -20℃. Avoid freeze / thaw cycles.
Ncbi Official Symbol:
TMOD2
Additional Names:
NTMOD; N-TMOD; TMOD2
Protein Accession Number:
Q9NZR1
Ncbi Gene Id Number:
29767
User Note:
Optimal dilutions for each application to be determined by the researcher.
Background:
This gene encodes a neuronal-specific member of the tropomodulin family of actin-regulatory proteins. The encoded protein caps the pointed end of actin filaments preventing both elongation and depolymerization. The capping activity of this protein is dependent on its association with tropomyosin. Alternatively spliced transcript variants encoding different isoforms have been described.

FOR RESEARCH USE ONLY

For additional information, visit ProSci’s Terms & Conditions Page.

Disclaimer:
This product is for research use only.

CATALOG NUMBER:

81-629

List Size:
100 uL

List Price:

$477.00

Shipping Info
Customize your order
Custom Antibody Services

New & Featured Products

CATALOG NUMBER: PM-7369-HRP

CATALOG NUMBER: PM-7369-biotin

CATALOG NUMBER: PM-7369