IAV
Trial Size

TOM70 Antibody

CATALOG NUMBER: 4949

Clonality:
Polyclonal
Tested Applications:
ELISA, IF, IHC-P, WB
Host Species:
Rabbit
Species Reactivity:
Human, Mouse, Rat
Conjugate:
Unconjugated
Specifications
Host Species:
Rabbit
Species Reactivity:
Human, Mouse, Rat
Immunogen:
Anti-TOM70 antibody (4949) was raised against a peptide corresponding to 17 amino acids near the amino terminus of human TOM70.
The immunogen is located within amino acids 50-100 of TOM70.
Conjugate:
Unconjugated
Tested Applications:
ELISA, IF, IHC-P, WB
Application Note:
WB: 1-4 μg/mL; IHC: 2.5 μg/mL; IF: 20 μg/mL.
Antibody validated: Western Blot in human, mouse and rat samples; Immunohistochemistry and Immunofluorescence in mouse samples. All other applications and species not yet tested.
Specificity:
At least two isoforms of TOM70 are known to exist; this antibody will only detect the larger isoform.
Positive Control 1:
Cat. No. 1403 - Mouse Brain Tissue Lysate
Positive Control 2:
Cat. No. 1202 - A431 lysate
Positive Control 3:
Cat. No. 1224 - Daudi lysate
Positive Control 4:
Cat. No. 1282 - 3T3/NIH lysate
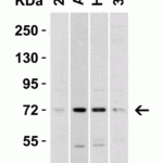
Predicted Molecular Weight:
Predicted: 68kD
Observed: 72 kD
Validation:

Independent Antibody Validation in Cell lines (Figure 1) shows similar TOM70 expression profile in human, mouse and rat cell lines detected by two independent anti-TOM70 antibodies that recognize different epitopes, 4949 against N-terminus domain and 4959 against central domain. TOM70 proteins are detected in the most tested cell lines at different expression levels by the two independent antibodies.

Isoforms:
Human TOM70 has only one isoform (608aa, 67.5kD. Mouse TOM70 has one isoform (611aa, 67.6kD) and Rat TOM70 also has one isoform (610aa, 67.4kD). 4949 can detect human, mouse and rat.
Purification:
TOM70 Antibody is affinity chromatography purified via peptide column.
Clonality:
Polyclonal
Isotype:
IgG
physical-state:
Liquid
Buffer:
TOM70 Antibody is supplied in PBS containing 0.02% sodium azide.
Concentration:
1 mg/mL
Storage Conditions:
TOM70 antibody can be stored at 4°C for three months and -20°C, stable for up to one year. As with all antibodies care should be taken to avoid repeated freeze thaw cycles. Antibodies should not be exposed to prolonged high temperatures.
Ncbi Official Symbol:
TOMM70A
Additional Names:
TOM70 Antibody: KIAA0719, TOM70, Mitochondrial import receptor subunit TOM70, Mitochondrial precursor proteins import receptor
Protein Accession Number:
NP_055635
Protein Gi Number:
54607135
Ncbi Gene Id Number:
9868
User Note:
Optimal dilutions for each application to be determined by the researcher.
Background:
TOM70 Antibody: The translocase of outer mitochondrial membrane (TOM) complex is a multisubunit complex involved in the recognition, unfolding, and translocation of preproteins into the mitochondria. TOM70, an important member of the TOM complex, contains a tetratricopeptide repeat domain similar to those found in cytosolic chaperones such as Hsp90 and Hsc70 and provides a docking site for these proteins. This interaction is thought to be a critical first step in the TOM70-dependent mitochondrial import, followed by contact between the preprotein and TOM70. After targeting to TOM70, preproteins are translocated through the outer membrane via the TOM40 import pore complex. The precise mechanism of how preproteins progress from TOM70 to TOM40 to full translocation is still unclear.
Background Reference 1:
Kutik et al. J. Cell Biol. 2007; 179:585-91.
Background Reference 2:
Young et al. Cell 2003; 112:41-50.

FOR RESEARCH USE ONLY

For additional information, visit ProSci’s Terms & Conditions Page.

Disclaimer:
Optimal dilutions/concentrations should be determined by the end user. The information provided is a guideline for product use. This product is for research use only.

CATALOG NUMBER:

4949

List Size:
0.02 mg, 0.1 mg

List Price:

Price range: $99.00 through $445.00

Shipping Info
Customize your order
Custom Antibody Services

New & Featured Products

CATALOG NUMBER: PM-7369-HRP

CATALOG NUMBER: PM-7369-biotin

CATALOG NUMBER: PM-7369