TPO Antibody

CATALOG NUMBER: XP-5288

Clonality:
Polyclonal
Tested Applications:
ELISA, Neutralization Assay, WB
Host Species:
Goat
Species Reactivity:
Human
Conjugate:
Unconjugated
Specifications
Host Species:
Goat
Species Reactivity:
Human
Immunogen:
Produced from sera of goats pre-immunized with highly pure (>98%) recombinant hTPO.
Conjugate:
Unconjugated
Tested Applications:
ELISA, Neutralization Assay, WB
Application Note:
Neutralization:
To yield one-half maximal inhibition [ND50] of the biological activity of hTPO (5 ng/mL), a concentration of 4.2 - 6.3 μg/mL of this antibody is required.
ELISA:
To detect hTPO by direct ELISA (using 100 μL/well antibody solution) a concentration of at least 0.5 μg/mL of this antibody is required. This antigen affinity purified antibody, in conjunction with compatible secondary reagents, allows the detection of 0.2 - 0.4 ng/well of recombinant hTPO.
Sandwich:
To detect hTPO by sandwich ELISA (using 100 μL/well antibody solution) a concentration of 0.5 - 2.0 μg/mL of this antibody is required. This antigen affinity purified antibody, in conjunction with our Biotinylated Anti-Human TPO (XP-5288Bt) as a detection antibody, allows the detection of at least 0.2 - 0.4 ng/well of recombinant hTPO.
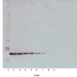
Western Blot:
To detect hTPO by Western Blot analysis this antibody can be used at a concentration of 0.1 - 0.2 μg/mL. Used in conjunction with compatible secondary reagents the detection limit for recombinant hTPO is 1.5 - 3.0 ng/lane, under either reducing or non-reducing conditions.
Purification:
Anti-hTPO specific antibody was purified by affinity chromatography employing immobilized hTPO matrix.
Clonality:
Polyclonal
physical-state:
Lyophilized
Concentration:
batch dependent
Storage Conditions:
TPO antibody is stable for at least 2 years from date of receipt at -20°C. The reconstituted antibody is stable for at least two weeks at 2-8°C. Frozen aliquots are stable for at least 6 months when stored at -20°C. Avoid repeated freeze-thaw cycles.
Ncbi Official Symbol:
THPO
Additional Names:
ML, TPO, MGDF, MKCSF, MPLLG, THCYT1, Thrombopoietin, C-mpl ligand, ML
Protein Accession Number:
P40225
Protein Gi Number:
730982
Ncbi Gene Id Number:
7066
User Note:
Centrifuge vial prior to opening.
Background:
Thrombopoietin is a humoral growth factor that is necessary for megakaryocyte proliferation and maturation, as well as for thrombopoiesis. This protein is the ligand for MLP/cMPL, the product of myeloproliferative leukemia virus oncogene. Alternatively spliced transcript variants encoding distinct isoforms have been reported.

FOR RESEARCH USE ONLY

For additional information, visit ProSci’s Terms & Conditions Page.

Disclaimer:
This product is for research use only.

CATALOG NUMBER:

XP-5288

List Size:
0.1 mg

List Price:

$408.00

Shipping Info
Customize your order
Custom Antibody Services

New & Featured Products

CATALOG NUMBER: PM-7369-HRP

CATALOG NUMBER: PM-7369-biotin

CATALOG NUMBER: PM-7369