TrkA+B+C Rabbit Recombinant Antibody

CATALOG NUMBER: 83-352

Clonality:
Monoclonal
Tested Applications:
ELISA, IHC-P, WB
Host Species:
Rabbit
Species Reactivity:
Human, Mouse, Rat
Conjugate:
Unconjugated
Specifications
Host Species:
Rabbit
Species Reactivity:
Human, Mouse, Rat
Immunogen:
Synthetic peptide. This information is considered to be commercially sensitive.
Conjugate:
Unconjugated
Tested Applications:
ELISA, IHC-P, WB
Application Note:
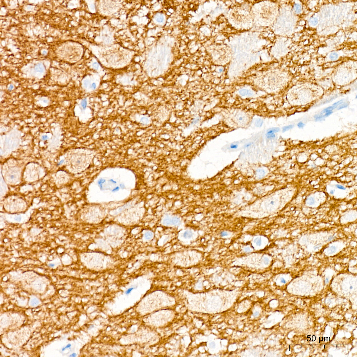
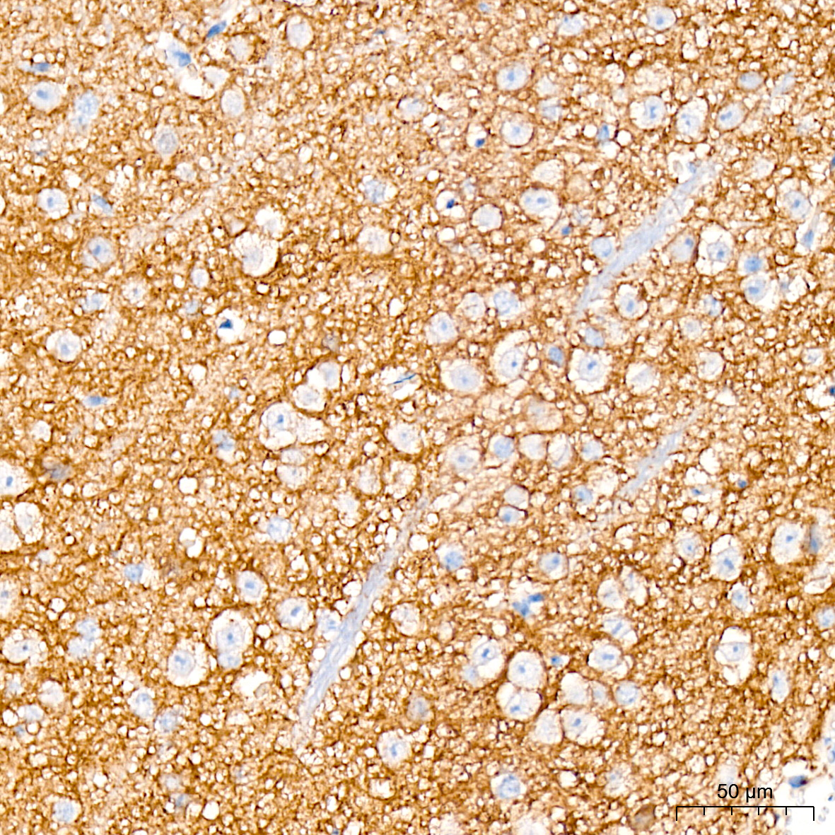
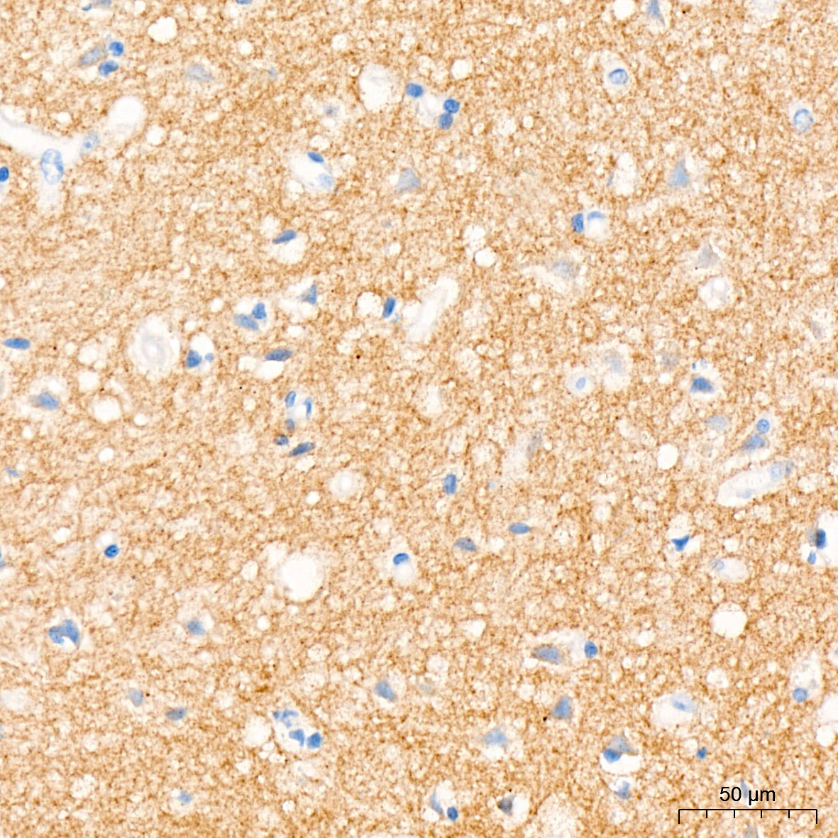
WB,1:7000 - 1:20000, IHC-P,1:50 - 1:200, ELISA,Recommended starting concentration is 1 μg/mL. Please optimize the concentration based on your specific assay requirements.
Positive Control 1:
Mouse brain, Rat brain,IMR-32
Predicted Molecular Weight:
140kDa
purification:
Affinity purification
Clonality:
Monoclonal
Isotype:
IgG
physical-state:
Liquid
Buffer:
Buffer: PBS with 0.02% sodium azide,0.05% BSA,50% glycerol,pH7.3.
Concentration:
Batch dependent
Storage Conditions:
Store at -20℃. Avoid freeze / thaw cycles.
Ncbi Official Symbol:
NTRK1/NTRK2/NTRK3
Additional Names:
MTC; TRK; TRK1; TRKA; Trk-A; p140-TrkA; TRKC; GP145-TrkC; gp145(trkC); OBHD; TRKB; DEE58; trk-B; EIEE58; GP145-TrkB; TrkA+B+C
Protein Accession Number:
P04629/Q16288/Q16620
Ncbi Gene Id Number:
4914/4916/4915
User Note:
Optimal dilutions for each application to be determined by the researcher.
Background:
This gene encodes a member of the neurotrophic tyrosine kinase receptor (NTKR) family. This kinase is a membrane-bound receptor that, upon neurotrophin binding, phosphorylates itself and members of the MAPK pathway. The presence of this kinase leads to cell differentiation and may play a role in specifying sensory neuron subtypes. Mutations in this gene have been associated with congenital insensitivity to pain, anhidrosis, self-mutilating behavior, cognitive disability and cancer. Alternate transcriptional splice variants of this gene have been found, but only three have been characterized to date.This gene encodes a member of the neurotrophic tyrosine receptor kinase (NTRK) family. This kinase is a membrane-bound receptor that, upon neurotrophin binding, phosphorylates itself and members of the MAPK pathway. Signalling through this kinase leads to cell differentiation and may play a role in the development of proprioceptive neurons that sense body position. Mutations in this gene have been associated with medulloblastomas, secretory breast carcinomas and other cancers. Several transcript variants encoding different isoforms have been found for this gene. This gene encodes a member of the neurotrophic tyrosine receptor kinase (NTRK) family. This kinase is a membrane-bound receptor that, upon neurotrophin binding, phosphorylates itself and members of the MAPK pathway. Signalling through this kinase leads to cell differentiation. Mutations in this gene have been associated with obesity and mood disorders. Alternative splicing results in multiple transcript variants.

FOR RESEARCH USE ONLY

For additional information, visit ProSci’s Terms & Conditions Page.

Disclaimer:
This product is for research use only.

CATALOG NUMBER:

83-352

List Size:
100 uL

List Price:

$477.00

Shipping Info
Customize your order
Custom Antibody Services

New & Featured Products

CATALOG NUMBER: PM-7369-HRP

CATALOG NUMBER: PM-7369-biotin

CATALOG NUMBER: PM-7369