Trial Size

TRPC6 Antibody

CATALOG NUMBER: 3897

Clonality:
Polyclonal
Tested Applications:
ELISA, IF, IHC-P, WB
Host Species:
Rabbit
Species Reactivity:
Human, Mouse, Rat
Conjugate:
Unconjugated
Specifications
Host Species:
Rabbit
Species Reactivity:
Human, Mouse, Rat
Immunogen:
TRPC6 antibody was raised against a 14 amino acid synthetic peptide from near the carboxy terminus of human TRPC6.
The immunogen is located within the last 50 amino acids of TRPC6.
Conjugate:
Unconjugated
Tested Applications:
ELISA, IF, IHC-P, WB
Application Note:
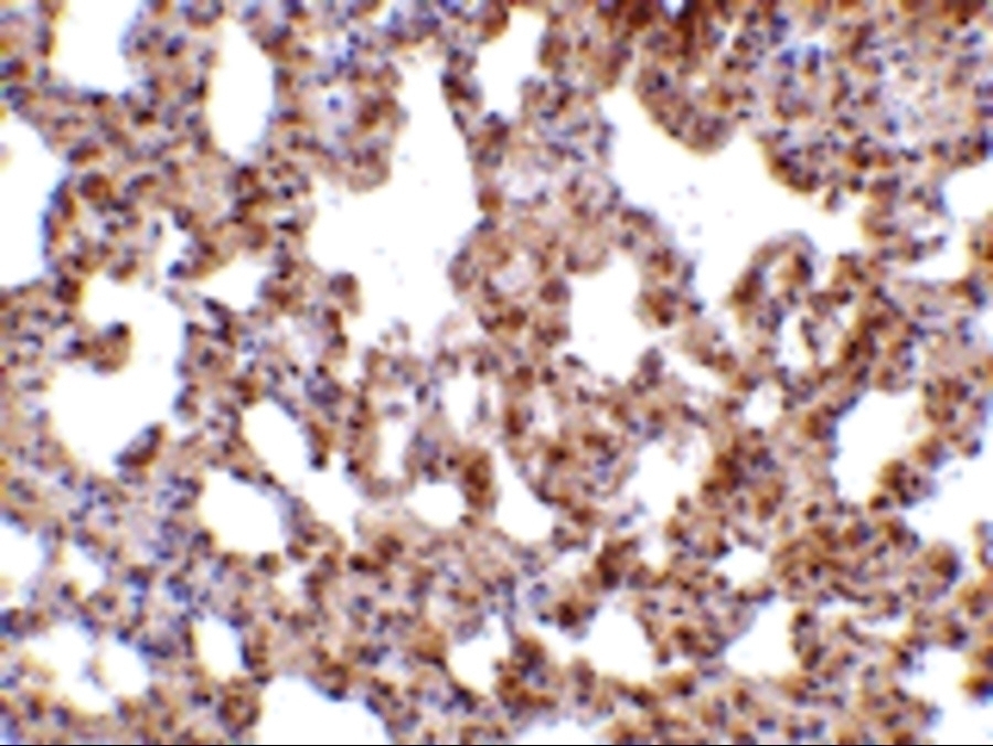
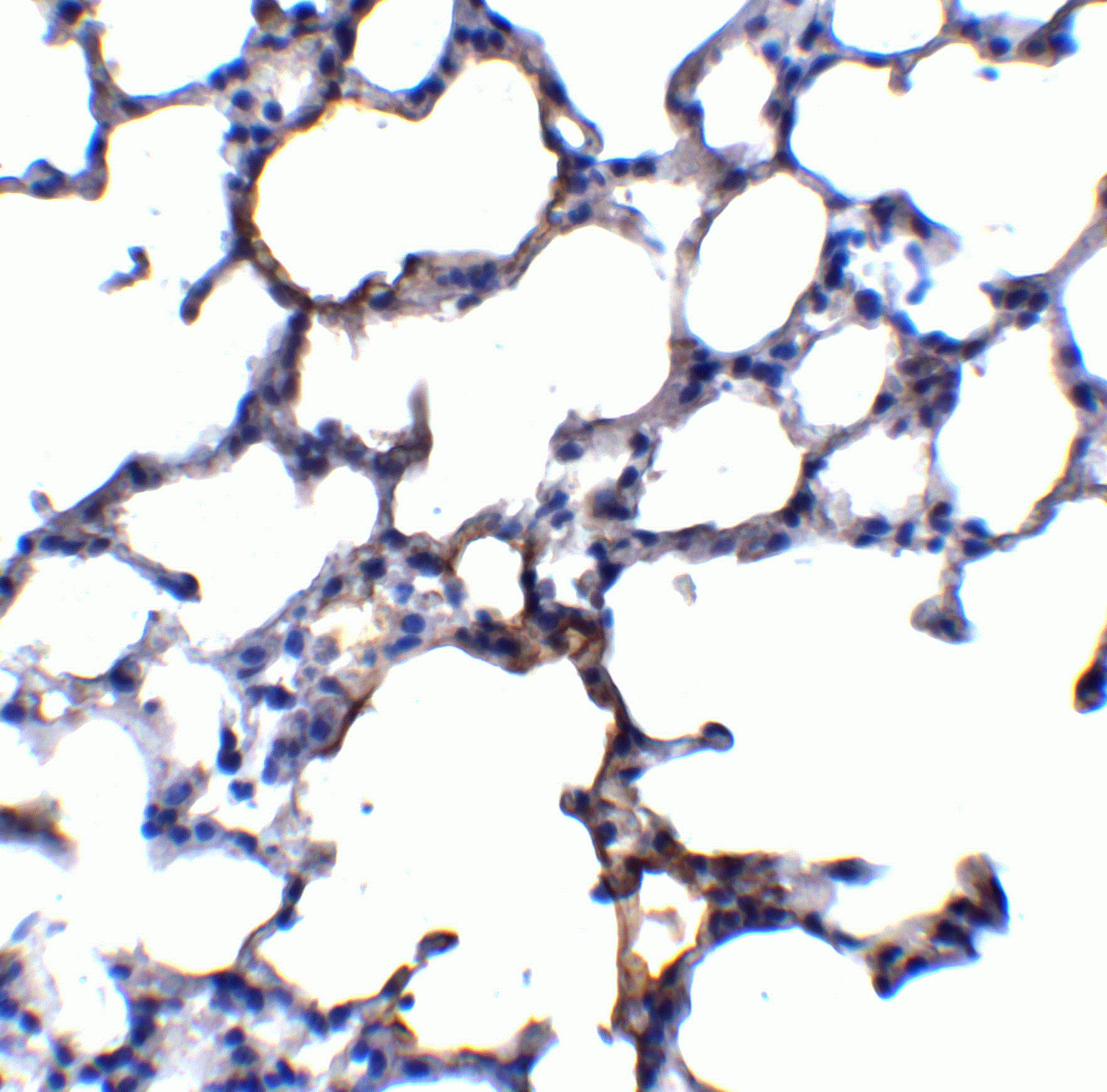
TRPC6 antibody can be used for the detection of TRPC6 by Western blot at 0.5 - 2 μg/mL. Antibody can also be used for immunohistochemistry starting at 10 μg/mL. For immunofluorescence start at 20 μg/mL.
Antibody validated: Western Blot in mouse samples; Immunohistochemistry in mouse samples and Immunofluorescence in mouse samples. All other applications and species not yet tested.
Specificity:
This antibody may cross-react with TRPC3.
Positive Control 1:
Cat. No. 1402 - Mouse Lung Tissue Lysate
Predicted Molecular Weight:
Predicted: 100, 102 kDa
Observed: 93 kDa
Purification:
TRPC6 Antibody is affinity chromatography purified via peptide column.
Clonality:
Polyclonal
Isotype:
IgG
physical-state:
Liquid
Buffer:
TRPC6 Antibody is supplied in PBS containing 0.02% sodium azide.
Concentration:
1 mg/mL
Storage Conditions:
TRPC6 antibody can be stored at 4°C for three months and -20°C, stable for up to one year. As with all antibodies care should be taken to avoid repeated freeze thaw cycles. Antibodies should not be exposed to prolonged high temperatures.
Ncbi Official Symbol:
TRPC6
Additional Names:
TRPC6 Antibody: TRP6, FSGS2, TRP6, Short transient receptor potential channel 6, Transient receptor protein 6, TrpC6
Protein Accession Number:
AAH93658
Protein Gi Number:
62739910
Ncbi Gene Id Number:
7225
User Note:
Optimal dilutions for each application to be determined by the researcher.
Background:
TRPC6 Antibody: The mammalian transient receptor potential (TRP) superfamily can be divided into three major families including the "canonical TRP" (TRPC) family. The seven members of this family share the activation through PLC-coupled receptors and have been suggested to be components of receptor-regulated cation channels in different cell types. Furthermore, the members of the TRPC6/6/7 subfamily can be activated by diacylglycerol (DAG) analogs, suggesting a possible mechanism of activation of these channels by PLC-coupled receptors. When expressed in transfected cells, TRPC6 acts as a non-selective store-independent receptor-activated cation channel. It is activated by DAG in a PKC-independent manner and is insensitive to IP3 activation. There is increasing evidence that TRPC6 encodes endogenous DAG-activated receptor-operated cation channels in vivo.
Background Reference 1:
Contell C, Birnbaumer V, Flockerzi V, et al. A unified nomenclature for the superfamily of TRP cation channels. Mol. Cell 2002; 9:229-31.
Background Reference 2:
Dietrich A, Kalwa H, Rost BR, et al. The diacylglycerol-sensitive TRPC6/6/7 subfamily of cation channels: functional characterization and physiological relevance. Pflugers Arch. 2005; 451:72-80.
Background Reference 3:
Trebak M, Vazquez G, Bird GSJ, et al. The TRPC6/6/7 subfamily of cation channels. Cell Calcium 2003; 33:451-61

FOR RESEARCH USE ONLY

For additional information, visit ProSci’s Terms & Conditions Page.

Disclaimer:
Optimal dilutions/concentrations should be determined by the end user. The information provided is a guideline for product use. This product is for research use only.

CATALOG NUMBER:

3897

List Size:
0.02 mg, 0.1 mg

List Price:

Price range: $99.00 through $445.00

Shipping Info
Customize your order
Custom Antibody Services

New & Featured Products

CATALOG NUMBER: PM-7369-HRP

CATALOG NUMBER: PM-7369-biotin

CATALOG NUMBER: PM-7369