Trial Size

UBC13 Antibody

CATALOG NUMBER: 3373

Clonality:
Polyclonal
Tested Applications:
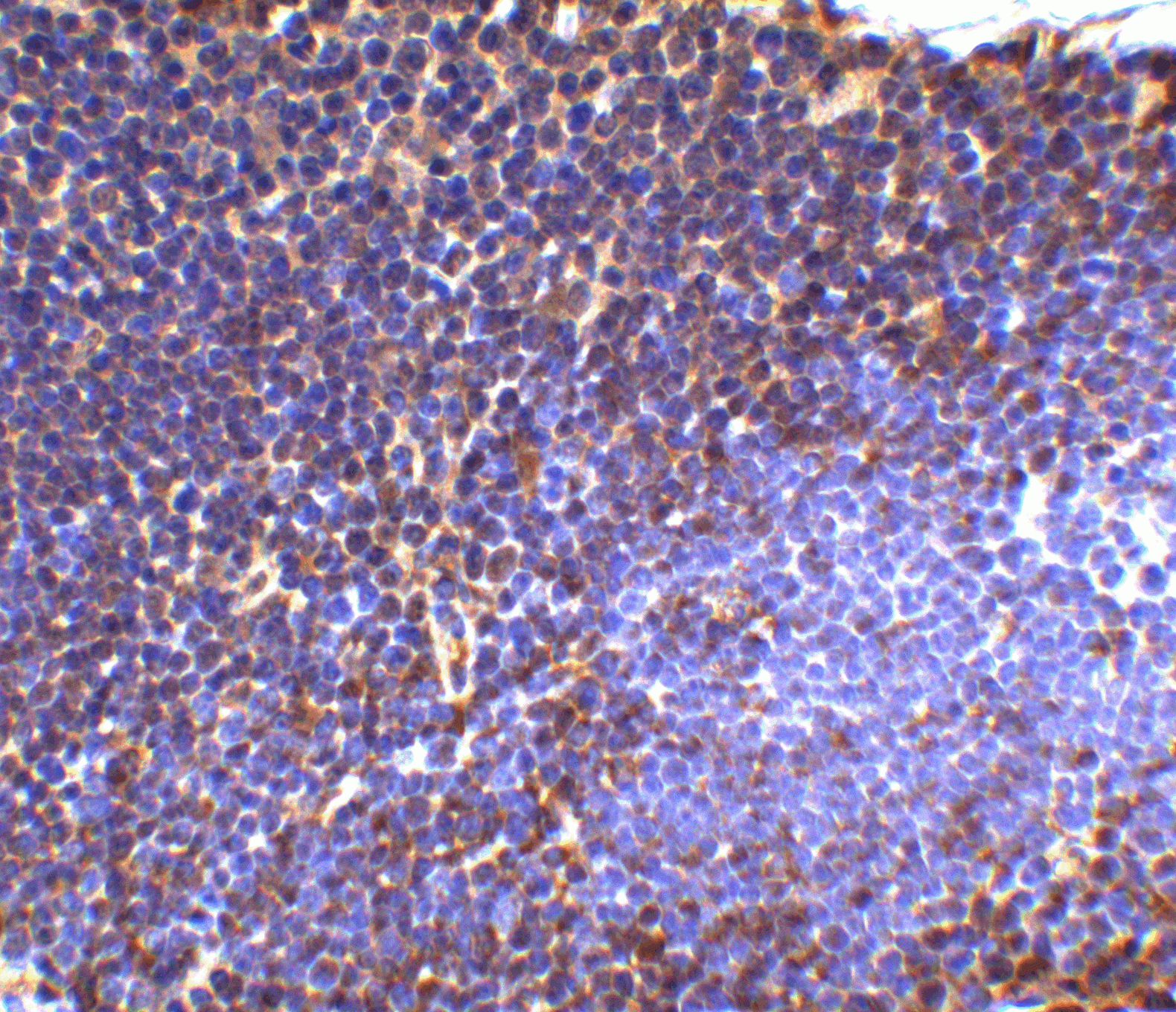
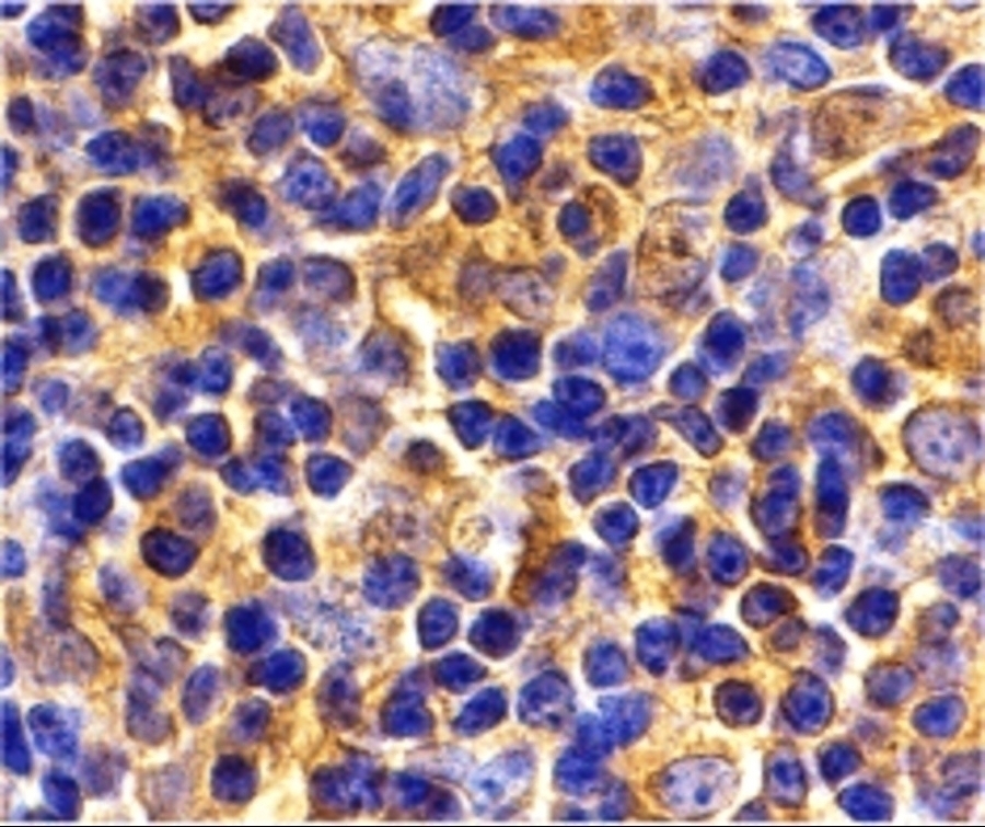
ELISA, IF, IHC-P, WB
Host Species:
Rabbit
Species Reactivity:
Human, Mouse, Rat
Conjugate:
Unconjugated
Specifications
Host Species:
Rabbit
Species Reactivity:
Human, Mouse, Rat
Homology:
Predicted species reactivity based on immunogen sequence: Bovine: (100%)
Immunogen:
UBC13 antibody was raised against a peptide corresponding to 15 amino acids near the C-terminus of human UBC13.
The immunogen is located within the last 50 amino acids of UBC13.
Conjugate:
Unconjugated
Tested Applications:
ELISA, IF, IHC-P, WB
Application Note:
UBC13 antibody can be used for detection of UBC13 by Western blot at 0.5 to 2 μg/mL. Antibody can also be used for immunohistochemistry starting at 2.5 μg/mL. For immunofluorescence start at 10 μg/mL.
Antibody validated: Western Blot in human samples; Immunohistochemistry in mouse samples and Immunofluorescence in mouse samples. All other applications and species not yet tested.
Positive Control 1:
Cat. No. 1308 - Human Small Intestine Tissue Lysate
Positive Control 2:
Cat. No. 1409 - Mouse Thymus Tissue Lysate
Purification:
UBC13 Antibody is affinity chromatography purified via peptide column.
Clonality:
Polyclonal
Isotype:
IgG
physical-state:
Liquid
Buffer:
UBC13 Antibody is supplied in PBS containing 0.02% sodium azide.
Concentration:
1 mg/mL
Storage Conditions:
UBC13 antibody can be stored at 4°C for three months and -20°C, stable for up to one year. As with all antibodies care should be taken to avoid repeated freeze thaw cycles. Antibodies should not be exposed to prolonged high temperatures.
Ncbi Official Symbol:
UBE2N
Additional Names:
UBC13 Antibody: UBC13, UbcH13, HEL-S-71, UbcH-ben, BLU, Ubiquitin-conjugating enzyme E2 N, Bendless-like ubiquitin-conjugating enzyme
Protein Accession Number:
AAP35519
Protein Gi Number:
30582585
Ncbi Gene Id Number:
7334
User Note:
Optimal dilutions for each application to be determined by the researcher.
Background:
UBC13 Antibody: Ubiquitin-conjugating enzyme 13 (Ubc13) was initially discovered in S. cerevisiae as a DNA-damage inducible protein involved in the error-free DNA postreplication repair pathway. It has recently been shown to be an important component of the Toll-like receptor and IL-1R signaling pathway. Signals from these pathways are relayed by a number of downstream molecules such as MyD88 and tumor necrosis factor receptor associated factor (TRAF6), ultimately activating various kinases and transcription factors. Ubc13 is part of a dimeric ubiquitin-conjugating enzyme complex also containing UEV1A (ubiquitin-conjugating enzyme E2 variant 1) that together with TRAF6 activates TAK1, a member of the mitogen-activated protein kinase kinase kinase family. The Ubc13-UEV1A complex also mediates the Lys-63 ubiquitination of TRAF-6, and this ubiquitination is essential for TAK1 activation.
Background Reference 1:
Brusky J, Zhu Y, and Xiao W. UBC13, a DNA-damage-inducible gene, is a member of the error-free postreplication repair pathway in Saccharomyces cerevisiae. Curr. Genet. 2000; 37:168-74.
Background Reference 2:
Akira S and Takeda K. Toll-like receptor Signalling. Nat. Rev. Immunol. 2004; 4:499-511. 
Background Reference 3:
Vogel SN, Fitzgerald KA, and Fenton MJ. TLRs: differential adapter utilization by toll-like receptors mediates TLR-specific patterns of gene expression. Mol. Interv. 2003; 3:466-77.
Background Reference 4:
Deng L, Wang C, Spencer E, et al. Activation of the IκB kinase complex by TRAF6 requires a dimeric ubiquitin-conjugating enzyme complex and a unique polyubiquitin chain. Cell 2000; 103:351-61.

FOR RESEARCH USE ONLY

For additional information, visit ProSci’s Terms & Conditions Page.

Disclaimer:
Optimal dilutions/concentrations should be determined by the end user. The information provided is a guideline for product use. This product is for research use only.

CATALOG NUMBER:

3373

List Size:
0.02 mg, 0.1 mg

List Price:

Price range: $99.00 through $445.00

Shipping Info
Customize your order
Custom Antibody Services

New & Featured Products

CATALOG NUMBER: PM-7369-HRP

CATALOG NUMBER: PM-7369-biotin

CATALOG NUMBER: PM-7369