Villin Antibody [VIL1/1314]

CATALOG NUMBER: 33-717

Clonality:
Monoclonal
Tested Applications:
Flow, IF, IHC-P, WB
Host Species:
Mouse
Species Reactivity:
Human
Conjugate:
Unconjugated
Specifications
Host Species:
Mouse
Species Reactivity:
Human
Immunogen:
Amino acids 179-311 from the human protein were used as the immunogen for this Villin antibody.
Conjugate:
Unconjugated
Tested Applications:
Flow, IF, IHC-P, WB
Application Note:
Flow Cytometry: 0.5-1ug/10^6 cells in 0.1ml
IF: 1-2 ug/ml
Western blot: 1-2 ug/ml
IHC (FFPE): 0.25-0.5 ug/ml for 30 min at RT
Titration of the Villin antibody may be required for optimal performance.
Purification:
Protein G affinity chromatography
Clonality:
Monoclonal
Isotype:
IgG1, kappa
physical-state:
Liquid
Buffer:
PBS with 0.1 mg/ml BSA and 0.05% sodium azide
Concentration:
0.2 mg/mL
Storage Conditions:
Aliquot and Store at 2-8°C. Avoid freez-thaw cycles.
Ncbi Official Symbol:
VIL1
Additional Names:
VIL1, D2S1471, Villin, Villin 1, Villin-1, VIL
Ncbi Gene Id Number:
7429
User Note:
Optimal dilutions for each application to be determined by the researcher
Background:
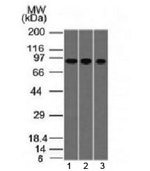
Recognizes a protein of ~93kDa which is identified as Villin (VIL1). It is a major constituent in the microvilli, which compose the brush border of epithelial cells forming absorptive surfaces of the intestinal and renal proximal tubular epithelia. Anti-Villin labels the brush border area in the gastrointestinal mucosal epithelium and urogenital tract. Among neoplasms, Villin is predominantly expressed in tumors of colorectal origin. Antibody to Villin is useful in identifying malignant cells from primary and metastatic colorectal carcinomas. This antibody also labels Merkel cells of the skin.

FOR RESEARCH USE ONLY

For additional information, visit ProSci’s Terms & Conditions Page.

Disclaimer:
Optimal dilutions/concentrations should be determined by the end user. The information provided is a guideline for product use. This product is for research use only.

CATALOG NUMBER:

33-717

List Size:
100 ug

List Price:

$626.00

Shipping Info
Customize your order
Custom Antibody Services

New & Featured Products

CATALOG NUMBER: PM-7369-HRP

CATALOG NUMBER: PM-7369-biotin

CATALOG NUMBER: PM-7369