IAV
Trial Size

Vinculin Antibody

CATALOG NUMBER: 7489

Clonality:
Polyclonal
Tested Applications:
ELISA, IF, IHC-P, WB
Host Species:
Rabbit
Species Reactivity:
Human, Mouse, Rat
Conjugate:
Unconjugated
Specifications
Host Species:
Rabbit
Species Reactivity:
Human, Mouse, Rat
Homology:
Predicted species reactivity based on immunogen sequence: Pig: (100%), Chicken: (100%)
Immunogen:
Anti-Vinculin antibody (7489) was raised against a peptide corresponding to 16 amino acids near the carboxy terminus of human Vinculin.
The immunogen is located within amino acids 1060-1110 of Vinculin.
Conjugate:
Unconjugated
Tested Applications:
ELISA, IF, IHC-P, WB
Application Note:
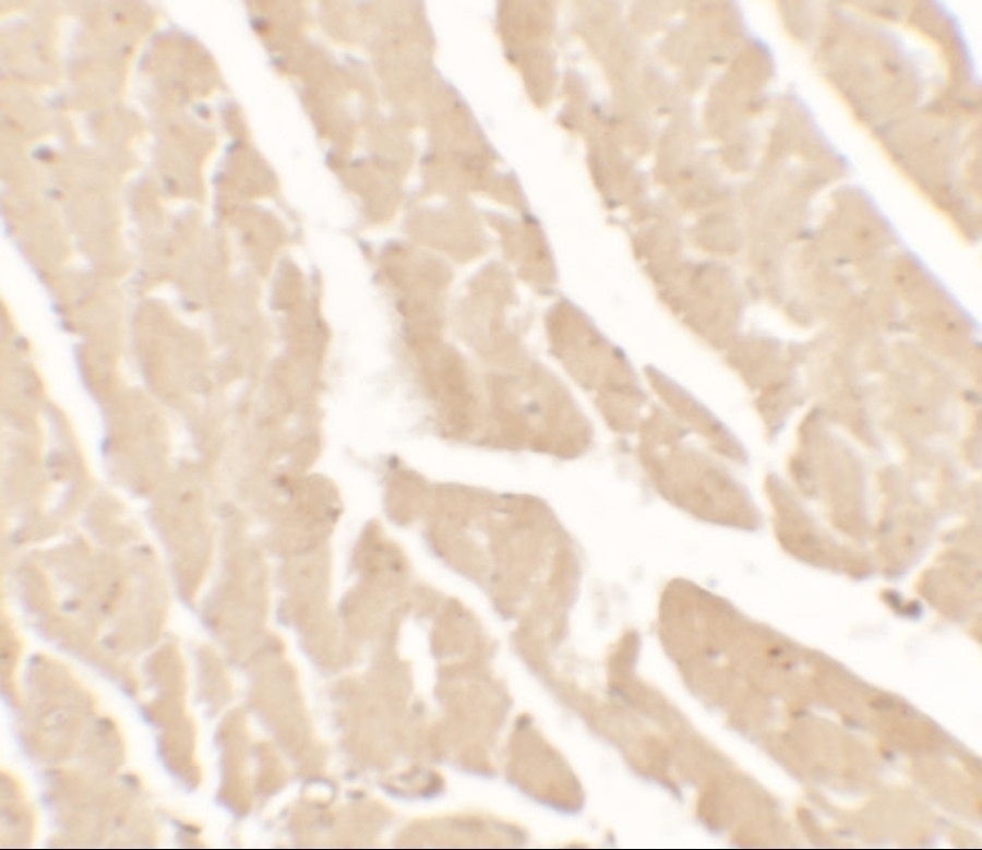
WB: 1-2 μg/mL; IHC: 5 μg/mL; IF: 20 μg/mL.
Antibody validated: Western Blot in human, mouse and rat samples; Immunohistochemistry in rat samples; Immunofluorescence in rat samples. All other applications and species not yet tested.
Specificity:
Vinculin antibody is human, mouse and rat specific. At least three isoforms of Vinculin are known to exist.
Positive Control 1:
Cat. No. 1216 - PC-3 Cell Lysate
Positive Control 2:
Cat. No. 1201 - HeLa Cell Lysate
Positive Control 3:
Cat. No. 1203 - A549 Cell Lysate
Positive Control 4:
Cat. No. 1282 - 3T3/NIH Cell Lysate
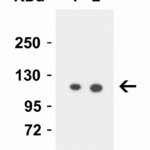
Predicted Molecular Weight:
Predicted: 124kD
Observed: 124kD
Validation:

Independent Antibody Validation in Cell lines (Figure 2) shows similar Vinculin expression profile in human, mouse and rat cell lines detected by three independent anti-Vinculin antibodies that recognize different epitopes, 7489 against C-terminus domain, 7807 against N-terminus domain and 7809 against central domain.  Vinculin proteins are detected in the most tested cell lines at different expression levels by the three independent antibodies. 

Isoforms:
Human Vinculin has 3 isoforms, including isoform 2 (1134aa, 124kD), isoform 1 (1066aa, 117kD) and isoform 3 (222aa, 25kD). Mouse Vinculin has one isoform (1066aa, 117kD) and Rat Vinculin also has one isoform (1066aa, 117kD). 7489 can detect human, mouse and rat.
Purification:
Vinculin Antibody is affinity chromatography purified via peptide column.
Clonality:
Polyclonal
Isotype:
IgG
physical-state:
Liquid
Buffer:
Vinculin Antibody is supplied in PBS containing 0.02% sodium azide.
Concentration:
1 mg/mL
Storage Conditions:
Vinculin antibody can be stored at 4°C for three months and -20°C, stable for up to one year.
Ncbi Official Symbol:
VCL
Additional Names:
Vinculin Antibody : MV, MVCL, CMD1W, CMH15, HEL114, Vinculin, Metavinculin, MV
Protein Accession Number:
NP_003364
Protein Gi Number:
4507877
Ncbi Gene Id Number:
7414
User Note:
Optimal dilutions for each application to be determined by the researcher.
Background:
Vinculin is a cytoskeletal protein that plays an important role in the regulation of focal adhesions and embryonic development (1). Three structural vinculin domains include an amino-terminal head, a short flexible proline-rich region and a carboxy-terminal tail (2). Expression of vinculin were shown to be affected by the level of actin expression (2,3). Vinculin deficiencies are associated with a decrease in cell adhesion and an increase in cell motility, suggesting a possible role in metastatic growth (4). Defects in VCL are the cause of cardiomyopathy dilated type 1W (CMD1W) (5).
Background Reference 1:
Burridge et al. Annu. Rev. Cell Biol.1988; 4:487-525.
Background Reference 2:
Gilmore et al. J. Cell Sci. 1992; 103:719-31.
Background Reference 3:
Deakin et al. PLoS One 2012; 7:e37990.
Background Reference 4:
Goldmann et al. Cell Biol. Int. 2013; Feb 1.
Citation 1:
Wang et al. AMPK is involved in the differential neonatal performance of chicks hatching at different time. Gen Comp Endocrinol. 2016;228:53-59. PMID: 26873631

FOR RESEARCH USE ONLY

For additional information, visit ProSci’s Terms & Conditions Page.

Disclaimer:
Optimal dilutions/concentrations should be determined by the end user. The information provided is a guideline for product use. This product is for research use only.

CATALOG NUMBER:

7489

List Size:
0.02 mg, 0.1 mg

List Price:

Price range: $99.00 through $445.00

Shipping Info
Customize your order
Custom Antibody Services

New & Featured Products

CATALOG NUMBER: PM-7369-HRP

CATALOG NUMBER: PM-7369-biotin

CATALOG NUMBER: PM-7369