Trial Size

VISTA Antibody [4C4]

CATALOG NUMBER: RF16071

Clonality:
Monoclonal
Tested Applications:
ELISA, Flow, ICC, IF, IHC-P, WB
Host Species:
Mouse
Species Reactivity:
Human
Conjugate:
Unconjugated
Specifications
Host Species:
Mouse
Species Reactivity:
Human
Immunogen:
VISTA antibody was raised against the extracellular domain of human VISTA.
Conjugate:
Unconjugated
Tested Applications:
ELISA, Flow, ICC, IF, IHC-P, WB
Application Note:
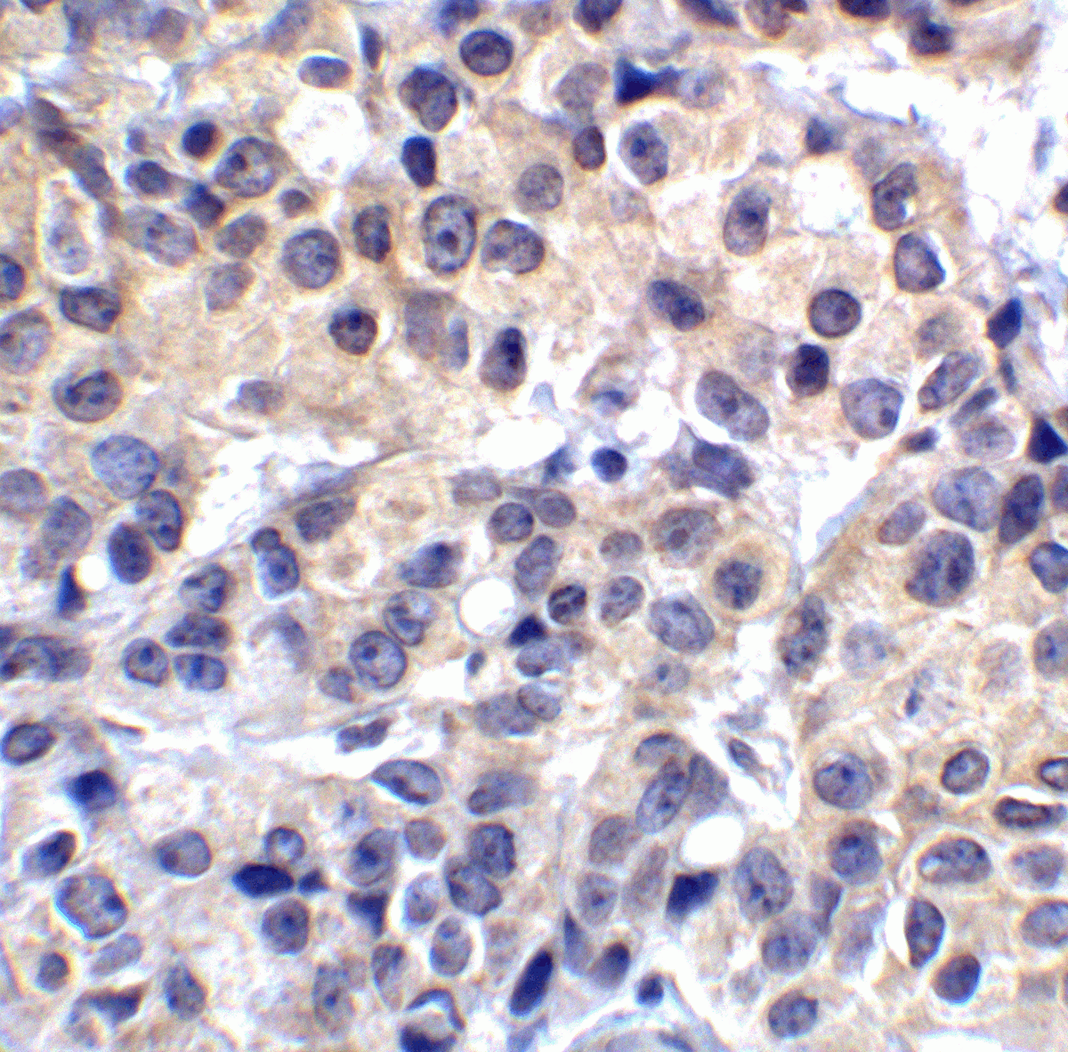
VISTA antibody can be used for detection of VISTA by Western blot at 0.25 - 1 μg/mL. Antibody can also be used for immunohistochemistry starting at 2 μg/mL and immunocytochemistry starting at 1 μg/mL. For immunofluorescence start at 2 μg/mL.
Antibody validated: Western Blot in human samples; Immunohistochemistry in human samples; Immunocytochemistry in human samples; Immunofluorescence in human samples and Flow Cytometry in mouse samples. All other applications and species not yet tested.
Positive Control 1:
Cat. No. 1331 - Human Lymphoma Tissue Lysate
Positive Control 2:
Cat. No. 1306 - Human Spleen Tissue
Predicted Molecular Weight:
Predicted: 31 kDa
Observed: 47 kDa
Purification:
VISTA Antibody is supplied as protein A purified IgG1.
Clonality:
Monoclonal
Isotype:
IgG1
physical-state:
Liquid
Buffer:
VISTA Antibody is supplied in PBS containing 0.02% sodium azide and 50% glycerol.
Concentration:
1 mg/mL
Storage Conditions:
VISTA antibody can be stored at 4°C for three months and -20°C, stable for up to one year. As with all antibodies care should be taken to avoid repeated freeze thaw cycles. Antibodies should not be exposed to prolonged high temperatures.
Ncbi Official Symbol:
VSIR
Additional Names:
VISTA Antibody: VISTA molecule, VSIR, B7-H5, B7H5, GI24, PP2135, SISP1, DD1alpha, VISTA, C10orf54, chromosome 10 open reading frame 54, PD-1H, V-set immunoregulatory receptor, V-Type Immunoglobulin Domain-Containing Suppressor Of T-Cell Activation, Chromosome 10 Open Reading Frame 54
Protein Accession Number:
NP_071436
Protein Gi Number:
64115
Ncbi Gene Id Number:
64115
User Note:
Optimal dilutions for each application to be determined by the researcher.
Background:
VISTA Antibody: VISTA/B7-H5/platelet receptor Gi24 is a single-pass type I membrane protein located at the cell surface. It is an immunoregulatory receptor which can inhibit T-cell response and may promote differentiation of embryonic stem cells, by inhibiting the BMP4 signaling pathway. The protein can be cleaved by MMP14, and stimulate MMP14-mediated MMP2 activation.
Background Reference 1:
Mayya V., et al . Quantitative phosphoproteomic analysis of T cell receptor signaling reveals system-wide modulation of protein-protein interactions. 2009, Sci. Signal. 2:RA46-RA46.
Background Reference 2:
Sakr M.A., et al.,GI24 enhances tumor invasiveness by regulating cell surface membrane-type 1 matrix metalloproteinase. 2010, Cancer Sci. 101:2368-2374.

FOR RESEARCH USE ONLY

For additional information, visit ProSci’s Terms & Conditions Page.

Disclaimer:
Optimal dilutions/concentrations should be determined by the end user. The information provided is a guideline for product use. This product is for research use only.

CATALOG NUMBER:

RF16071

List Size:
0.02 mg, 0.1 mg

List Price:

Price range: $99.00 through $445.00

Shipping Info
Customize your order
Custom Antibody Services

New & Featured Products

CATALOG NUMBER: PM-7369-HRP

CATALOG NUMBER: PM-7369-biotin

CATALOG NUMBER: PM-7369