Trial Size

VISTA Antibody

CATALOG NUMBER: 8695

Clonality:
Polyclonal
Tested Applications:
ELISA, ICC, IF, IHC, WB
Host Species:
Rabbit
Species Reactivity:
Human
Conjugate:
Unconjugated
Specifications
Host Species:
Rabbit
Species Reactivity:
Human
Homology:
Predicted species reactivity based on immunogen sequence: Mouse: (93%)
Immunogen:
VISTA antibody was raised against a peptide corresponding to 15 amino acids near the carboxy terminus of human VISTA.
The immunogen is located within the last 60 amino acids of VISTA.
Conjugate:
Unconjugated
Tested Applications:
ELISA, ICC, IF, IHC, WB
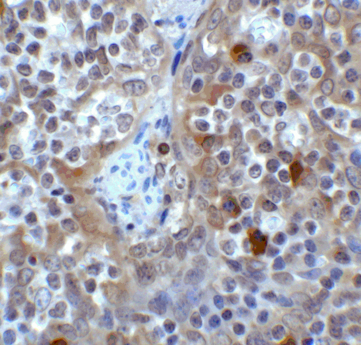
Application Note:
VISTA antibody can be used for Immunohistochemistry at 2 μg/mL. For Immunoflorescence start at 20 μg/mL. For Immunocytochemistry start at 1 μg/mL.
Antibody validated: Immunohistochemistry in human samples and Immunofluorescence in human samples. All other applications and species not yet tested.
Positive Control 2:
Cat. No. 11-533 - Human Tonsil Tissue Slide
Purification:
VISTA Antibody is affinity chromatography purified via peptide column.
Clonality:
Polyclonal
Isotype:
IgG
physical-state:
Liquid
Buffer:
VISTA Antibody is supplied in PBS containing 0.02% sodium azide.
Concentration:
1 mg/mL
Storage Conditions:
VISTA antibody can be stored at 4°C for three months and -20°C, stable for up to one year. As with all antibodies care should be taken to avoid repeated freeze thaw cycles. Antibodies should not be exposed to prolonged high temperatures.
Ncbi Official Symbol:
VSIR
Additional Names:
VISTA Antibody: VISTA molecule, VSIR, B7-H5, B7H5, GI24, PP2135, SISP1, DD1alpha, VISTA, C10orf54, chromosome 10 open reading frame 54, PD-1H, V-set immunoregulatory receptor, V-Type Immunoglobulin Domain-Containing Suppressor Of T-Cell Activation, Chromosome 10 Open Reading Frame 54
Protein Accession Number:
NP_071436
Protein Gi Number:
64115
Ncbi Gene Id Number:
64115
User Note:
Optimal dilutions for each application to be determined by the researcher.
Background:
The lymphocyte activation gene-3 (LAG3) is a member of the immunoglobulin superfamily and binds MHC class II with high affinity (1), negatively regulating T-cell function and homeostasis (2). It is expressed in B, T, and NK cells, monocytes, and dendritic cells (3), and acts to regulate T cell expansion (4). LAG3 is also an important immune checkpoint protein, with anti-LAG3 antibodies activating T effector cells and affecting regulatory T cell functions. Furthermore LAG3 appears to act in a synergistic fashion with PD-1/PD-L1, suggesting that a dual antibody approach may prove useful in cancer immunotherapy (5).
Background Reference 1:
Mayya V., et al . Quantitative phosphoproteomic analysis of T cell receptor signaling reveals system-wide modulation of protein-protein interactions. 2009, Sci. Signal. 2:RA46-RA46.
Background Reference 2:
Sakr M.A., et al.,GI24 enhances tumor invasiveness by regulating cell surface membrane-type 1 matrix metalloproteinase. 2010, Cancer Sci. 101:2368-2374.

FOR RESEARCH USE ONLY

For additional information, visit ProSci’s Terms & Conditions Page.

Disclaimer:
Optimal dilutions/concentrations should be determined by the end user. The information provided is a guideline for product use. This product is for research use only.

CATALOG NUMBER:

8695

List Size:
0.02 mg, 0.1 mg

List Price:

Price range: $99.00 through $445.00

Shipping Info
Customize your order
Custom Antibody Services

New & Featured Products

CATALOG NUMBER: PM-7369-HRP

CATALOG NUMBER: PM-7369-biotin

CATALOG NUMBER: PM-7369