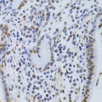
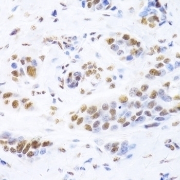
XRCC5 Antibody

CATALOG NUMBER: 19-904

Clonality:
Polyclonal
Tested Applications:
IF, IHC, IP, WB
Host Species:
Rabbit
Species Reactivity:
Human, Mouse, Rat
Conjugate:
Unconjugated
Specifications
Host Species:
Rabbit
Species Reactivity:
Human, Mouse, Rat
Immunogen:
Recombinant fusion protein containing a sequence corresponding to amino acids 543-732 of human XRCC5 (NP_066964.1).
Conjugate:
Unconjugated
Tested Applications:
IF, IHC, IP, WB
Application Note:
WB: 1:500 - 1:2000
IHC: 1:100 - 1:200
IF: 1:20 - 1:100
IP: 1:50 - 1:200
Positive Control 1:
SW620
Positive Control 2:
293T
Positive Control 3:
HeLa
Positive Control 4:
HepG2
Predicted Molecular Weight:
Observed: 86kDa
Purification:
Affinity purification
Clonality:
Polyclonal
Isotype:
IgG
physical-state:
Liquid
Buffer:
PBS with 0.02% sodium azide, 50% glycerol, pH7.3.
Concentration:
batch dependent
Storage Conditions:
Store at -20°C. Avoid freeze / thaw cycles.
Ncbi Official Symbol:
XRCC5
Additional Names:
XRCC5, KU80, KUB2, Ku86, NFIV, KARP1, KARP-1
Ncbi Gene Id Number:
7520
User Note:
Optimal dilutions for each application to be determined by the researcher.
Background:
The protein encoded by this gene is the 80-kilodalton subunit of the Ku heterodimer protein which is also known as ATP-dependant DNA helicase II or DNA repair protein XRCC5. Ku is the DNA-binding component of the DNA-dependent protein kinase, and it functions together with the DNA ligase IV-XRCC4 complex in the repair of DNA double-strand break by non-homologous end joining and the completion of V(D)J recombination events. This gene functionally complements Chinese hamster xrs-6, a mutant defective in DNA double-strand break repair and in ability to undergo V(D)J recombination. A rare microsatellite polymorphism in this gene is associated with cancer in patients of varying radiosensitivity.

FOR RESEARCH USE ONLY

For additional information, visit ProSci’s Terms & Conditions Page.

Disclaimer:
Optimal dilutions/concentrations should be determined by the end user. The information provided is a guideline for product use. This product is for research use only.

CATALOG NUMBER:

19-904

List Size:
100 uL

List Price:

$436.00

Shipping Info
Customize your order
Custom Antibody Services

New & Featured Products

CATALOG NUMBER: PM-7369-HRP

CATALOG NUMBER: PM-7369-biotin

CATALOG NUMBER: PM-7369