Trial Size

YBX2 Antibody

CATALOG NUMBER: 5885

Clonality:
Polyclonal
Tested Applications:
ELISA, IF, IHC-P, WB
Host Species:
Rabbit
Species Reactivity:
Human, Mouse, Rat
Conjugate:
Unconjugated
Specifications
Host Species:
Rabbit
Species Reactivity:
Human, Mouse, Rat
Immunogen:
YBX2 antibody was raised against an 18 amino acid synthetic peptide near the carboxy end of human YBX2.
The immunogen is located within amino acids 300 - 350 of YBX2.
Conjugate:
Unconjugated
Tested Applications:
ELISA, IF, IHC-P, WB
Application Note:
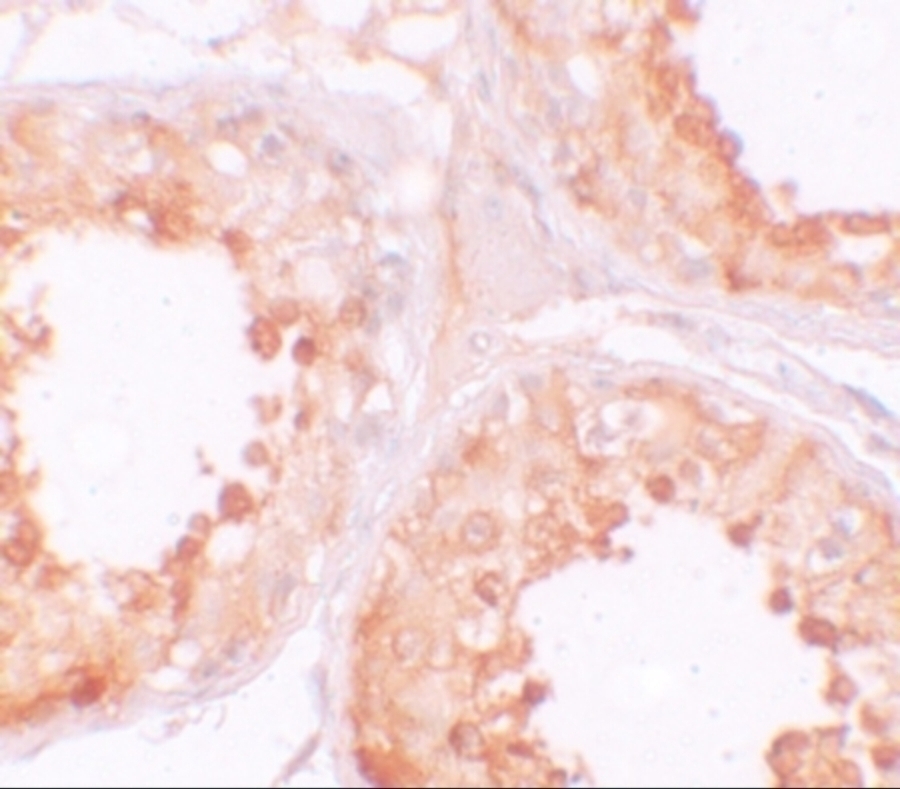
YBX2 antibody can be used for detection of YBX2 by Western blot at 1 - 2 μg/mL. Antibody can also be used for immunohistochemistry starting at 10 μg/mL. For immunofluorescence start at 20 μg/mL.
Antibody validated: Western Blot in human samples; Immunohistochemistry in human samples and Immunofluorescence in human samples. All other applications and species not yet tested.
Positive Control 1:
Cat. No. 1313 - Human Testis Tissue Lysate
Positive Control 2:
Cat. No. 11-701 - Human Testis Tissue Slide
Purification:
YBX2 Antibody is affinity chromatography purified via peptide column.
Clonality:
Polyclonal
Isotype:
IgG
physical-state:
Liquid
Buffer:
YBX2 Antibody is supplied in PBS containing 0.02% sodium azide.
Concentration:
1 mg/mL
Storage Conditions:
YBX2 antibody can be stored at 4°C for three months and -20°C, stable for up to one year. As with all antibodies care should be taken to avoid repeated freeze thaw cycles. Antibodies should not be exposed to prolonged high temperatures.
Ncbi Official Symbol:
YBX2
Additional Names:
YBX2 Antibody: DBPC, MSY2, CSDA3, CONTRIN, Y-box-binding protein 2, Contrin, Dbpc
Protein Accession Number:
NP_057066
Protein Gi Number:
156415990
Ncbi Gene Id Number:
51087
User Note:
Optimal dilutions for each application to be determined by the researcher.
Background:
YBX2 Antibody: Germ cell specific Y-box binding protein (YBX2), a germ-cell-specific member of the Y-box family of DNA-/RNA-binding proteins, is a major constituent of messenger ribonucleoprotein particles (mRNPs) and involved in the regulation of the stability and/or translation of germ cell mRNAs. It is proposed to function as a coactivator of transcription in the nucleus and to stabilize and store maternal and paternal mRNAs in the cytoplasm. YBX2 binds to the Y-box consensus promoter element and is expressed in oocytes and testicular germ cells in the stage of spermatogonia to spermatocyte. Recent studies show that deletion of YBX2 leads to the disruption of both spermatogenesis and oogenesis.
Background Reference 1:
Kohno Y, Matsuki Y, Tanimoto A, et al. Expression of Y-box-binding protein dbpC/contrin, a potentially new cancer/testis antigen. Br. J. Cancer2006; 94:710-6.
Background Reference 2:
Medvedev S, Yang J, Hecht NB, et al. CDC2A (CDK1)-mediated phosphorylation of MSY2 triggers maternal mRNA degradation during mouse oocyte maturation. Dev. Biol.2008; 321:205-15.
Background Reference 3:
Yang J, Medvedev S, Yu J, et al. Absence of the DNA-/RNA-binding protein MSY2 results in male and female infertility. Proc. Natl. Acad. Sci. USA2005; 102:5755-60.
Background Reference 4:
Hammoud S, Emery BR, and Dunn D. Sequence alterations in the YBX2 gene are associated with male factor infertility. Fertil. Steril.2009; 91:1090-5.

FOR RESEARCH USE ONLY

For additional information, visit ProSci’s Terms & Conditions Page.

Disclaimer:
Optimal dilutions/concentrations should be determined by the end user. The information provided is a guideline for product use. This product is for research use only.

CATALOG NUMBER:

5885

List Size:
0.02 mg, 0.1 mg

List Price:

Price range: $99.00 through $445.00

Shipping Info
Customize your order
Custom Antibody Services

New & Featured Products

CATALOG NUMBER: PM-7369-HRP

CATALOG NUMBER: PM-7369-biotin

CATALOG NUMBER: PM-7369