Trial Size

ZBP1 Antibody

CATALOG NUMBER: 4401

Clonality:
Polyclonal
Tested Applications:
ELISA, IHC-P, WB, ICC/IF, IHC-P/IF
Host Species:
Rabbit
Species Reactivity:
Human, Mouse, Rat
Conjugate:
Unconjugated
Specifications
Host Species:
Rabbit
Species Reactivity:
Human, Mouse, Rat
Immunogen:
Anti-ZBP1 antibody (4401) was raised against an 18 amino acid synthetic peptide from near the carboxy terminus of human ZBP1.
The immunogen is located within the last 50 amino acids of ZBP1.
Conjugate:
Unconjugated
Tested Applications:
ELISA, IHC-P, WB, ICC/IF, IHC-P/IF
Application Note:
WB: 1-2 μg/mL; IHC-P/IF: 5-20 μg/mL; IHC-P: 1-5 μg/mL; ICC/IF: 10-20 μg/mL.
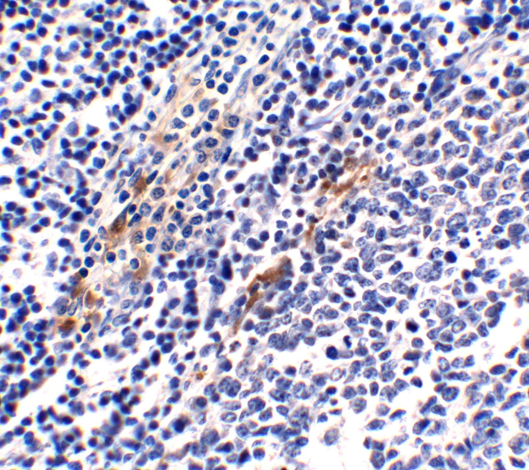
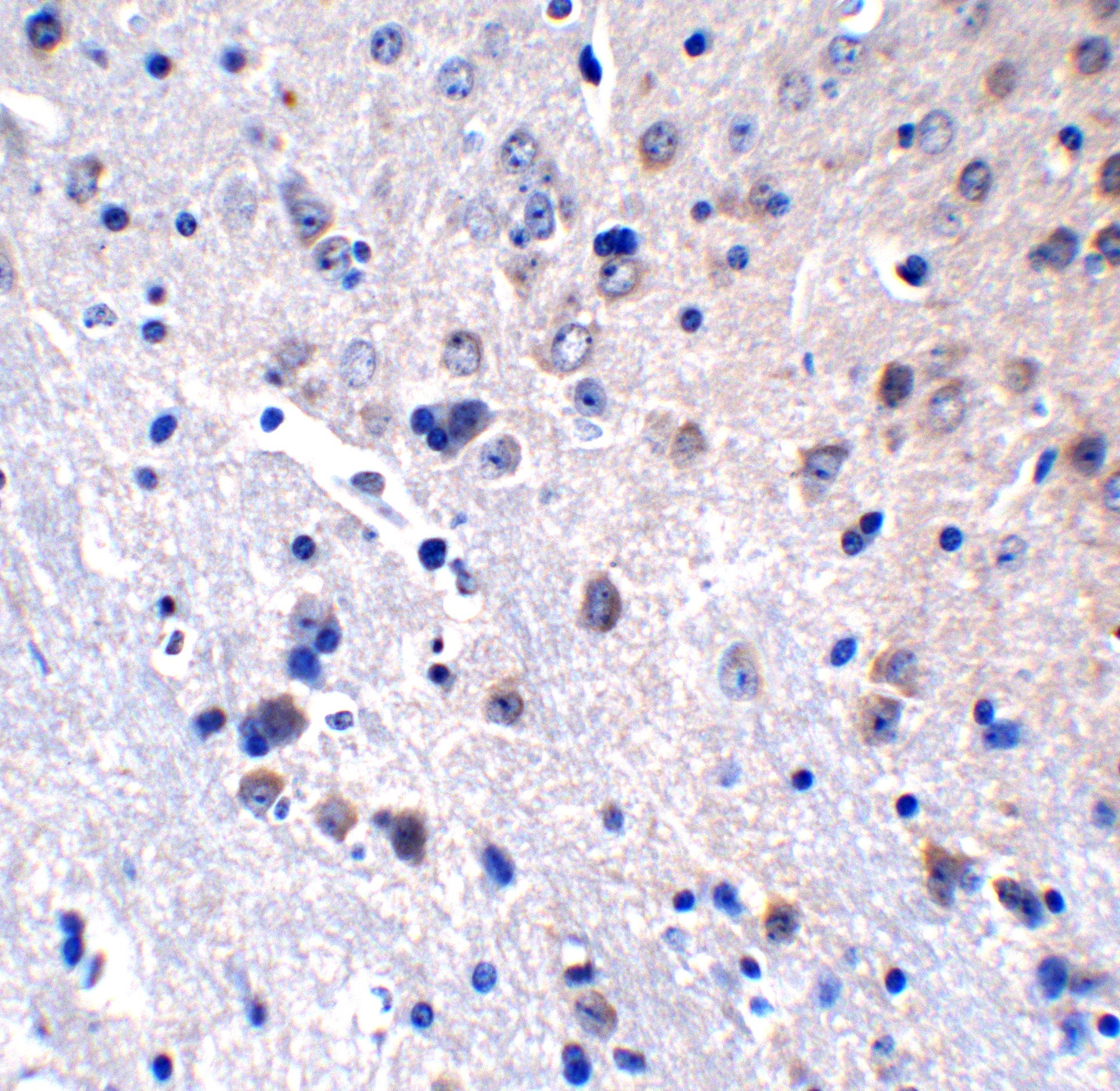
Antibody validated: Western Blot in human, mouse and rat samples; Immunofluorescence in human and rat samples; Immunohistochemistry in human and mouse samples. All other applications and species not yet tested.
Specificity:
Multiple isoforms of ZBP1 are known to exist.
Positive Control 1:
Cat. No. 1408 - Mouse Small Intestine Tissue Lysate
Positive Control 2:
Cat. No. 11-801 - Human Small Intestine Tissue Slide
Predicted Molecular Weight:
Predicted: 46 kD Observed: 46 kD
Isoforms:
Human ZBP1 has 7 isoforms, including isoform 1 (429aa, 46kD), isoform 2 (446aa, 49kD), isoform 3 (380aa, 41kD), isoform 4 (406aa, 44kD), isoform 5 (149aa, 16kD), isoform 6 (248aa, 27kD), and isoform 7 (354aa, 38kD). Mouse ZBP1 has 2 isoform (411aa, 44kD) and isoform 2 (187aa, 21kD). Rat ZBP1 has 1 isoform (409aa, 44kD). 4401 can detect ZBP1 in human, mouse, and rat.
Purification:
ZBP1 Antibody is affinity chromatography purified via peptide column.
Clonality:
Polyclonal
Isotype:
IgG
physical-state:
Liquid
Buffer:
ZBP1 Antibody is supplied in PBS containing 0.02% sodium azide.
Concentration:
1 mg/mL
Storage Conditions:
ZBP1 antibody can be stored at 4°C, stable for up to one year. Antibodies should not be exposed to prolonged high temperatures.
Ncbi Official Symbol:
ZBP1
Additional Names:
ZBP1 Antibody: DAI, DLM1, DLM-1, C20orf183, Z-DNA-binding protein 1, Tumor stroma and activated macrophage protein DLM-1
Protein Accession Number:
EAW75510
Protein Gi Number:
119595916
Ncbi Gene Id Number:
81030
User Note:
Optimal dilutions for each application to be determined by the researcher.
Background:
Z-DNA Binding Protein 1 (ZBP1), or DNA-dependent activator of IFN-regulatory factors (DAI), is a pivotal protein in innate immunity and stress response. With two Z-DNA binding domains, ZBP1 senses cytosolic nucleic acids, triggering type I interferon responses. Beyond immunity, ZBP1 participates in necroptosis, a regulated cell death pathway. Dysregulation of ZBP1 is linked to autoimmune disorders and viral infections, making it a key player in disease pathogenesis.
Background Reference 1:
Takaoka A, et al. (2007). Nature, 448(7152), 501-505. DOI: 10.1038/nature06013
Background Reference 2:
Zhang Z, et al. (2011). Nature Immunology, 12(10), 959-965. DOI: 10.1038/ni.2091
Background Reference 3:
Kaiser WJ, et al. (2013). Nature, 471(7338), 368-372. DOI: 10.1038/nature09857
Background Reference 4:
Lin J, et al. (2016). Nature, 540(7631), 124-128. DOI: 10.1038/nature20558

FOR RESEARCH USE ONLY

For additional information, visit ProSci’s Terms & Conditions Page.

Disclaimer:
Optimal dilutions/concentrations should be determined by the end user. The information provided is a guideline for product use. This product is for research use only.

CATALOG NUMBER:

4401

List Size:
0.02 mg, 0.1 mg

List Price:

Price range: $99.00 through $445.00

Shipping Info
Customize your order
Custom Antibody Services

New & Featured Products

CATALOG NUMBER: PM-7369-HRP

CATALOG NUMBER: PM-7369-biotin

CATALOG NUMBER: PM-7369