Trial Size

ZSCAN4 Antibody

CATALOG NUMBER: 5611

Clonality:
Polyclonal
Tested Applications:
ELISA, IF, IHC-P, WB
Host Species:
Rabbit
Species Reactivity:
Human, Mouse, Rat
Conjugate:
Unconjugated
Specifications
Host Species:
Rabbit
Species Reactivity:
Human, Mouse, Rat
Homology:
Predicted species reactivity based on immunogen sequence: Bovine: (81%), Chicken: (86%)
Immunogen:
ZSCAN4 antibody was raised against an 18 amino acid synthetic peptide near the carboxy terminus of human ZSCAN4.
The immunogen is located within amino acids 370 - 420 of ZSCAN4.
Conjugate:
Unconjugated
Tested Applications:
ELISA, IF, IHC-P, WB
Application Note:
ZSCAN4 antibody can be used for detection of ZSCAN4 by Western blot. Antibody can also be used for immunohistochemistry starting at 5 μg/mL. For immunofluorescence start at 20 μg/mL.
Antibody validated: Western Blot in mouse samples; Immunohistochemistry in rat samples and Immunofluorescence in rat samples. All other applications and species not yet tested.
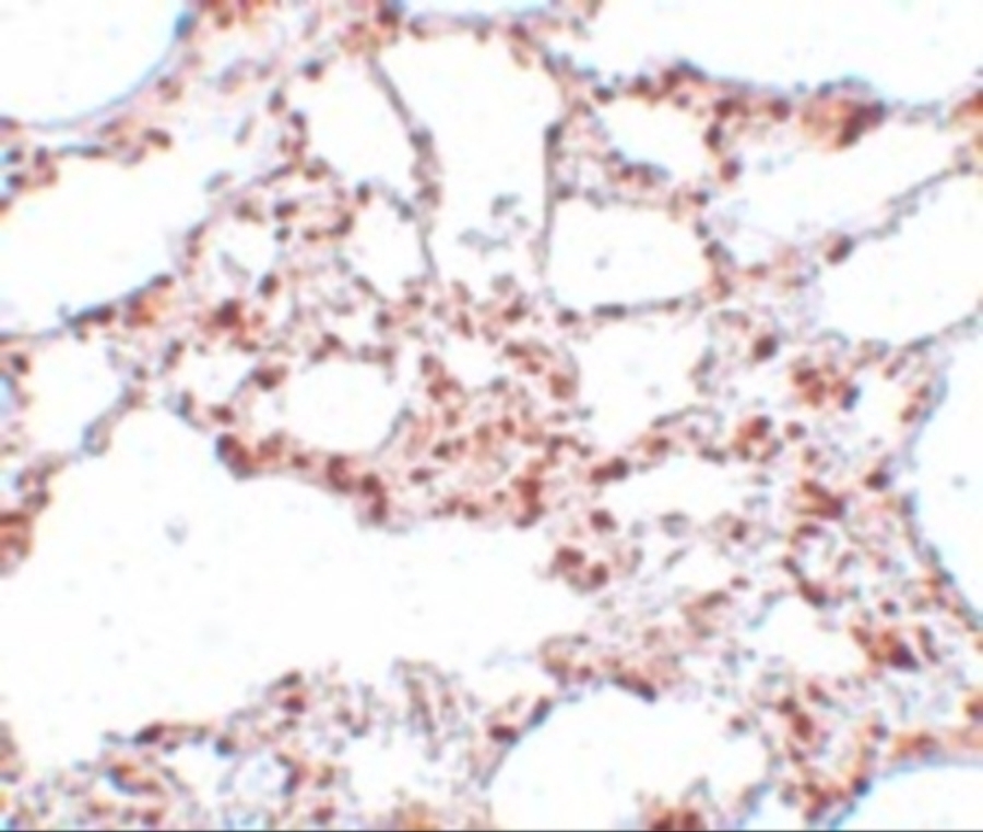
Positive Control 1:
Cat. No. 1402 - Mouse Lung Tissue Lysate
Predicted Molecular Weight:
Predicted: 48 kDa
Observed: 64 kDa
Purification:
ZSCAN4 Antibody is affinity chromatography purified via peptide column.
Clonality:
Polyclonal
Isotype:
IgG
physical-state:
Liquid
Buffer:
ZSCAN4 Antibody is supplied in PBS containing 0.02% sodium azide.
Concentration:
1 mg/mL
Storage Conditions:
ZSCAN4 antibody can be stored at 4°C up to one year. Antibodies should not be exposed to prolonged high temperatures.
Ncbi Official Symbol:
ZSCAN4
Additional Names:
ZSCAN4 Antibody: ZNF494, ZNF494, Zinc finger and SCAN domain-containing protein 4, Zinc finger protein 494
Protein Accession Number:
NP_689890.1
Protein Gi Number:
22749365
Ncbi Gene Id Number:
201516
User Note:
Optimal dilutions for each application to be determined by the researcher.
Background:
ZSCAN4 Antibody: Zytotic genome activation (ZGA) is the first and most critical transition event from the maternal genetic to the embryonic genetic program and the major burst of ZGA occurs only in the late 2-cell stage. ZSCAN4 encodes a SCAN domain and four zinc finger domains and is expressed in late 2-cell embryos and embryonic stem cells. Loss-of-function studies using siRNA shows delays in the progression from the 2-cell to the 4-cell stage and subsequent embryo development. ZSCAN4 plays an important role in the preimplantation development. Also, ZSCAN4 is involved in telomere maintenance and long term genomic stability in ES cells, suggesting that ZSCAN4 may be of critical importance in maintaining pluripotency in replicating stem cells.
Background Reference 1:
Hamatani T, Carter MG, Sharov AA, et al. Dynamics of global gene expression changes during mouse preimplantation development. Dev. Cell 2004; 6:117-131.
Background Reference 2:
Falco G, Lee SL, Stanghellini I, et al. Zscan4: a novel gene expressed exclusively in late 2-cell embryos and embryonic stem cells. Dev. Biol. 2007; 307:539-50.
Background Reference 3:
Zalzman M, Falco G, Sharova LV, et al. Zscan4 regulates telomere elongation and genomic stability in ES cells. Nature 2010; 464:858-63.

FOR RESEARCH USE ONLY

For additional information, visit ProSci’s Terms & Conditions Page.

Disclaimer:
Optimal dilutions/concentrations should be determined by the end user. The information provided is a guideline for product use. This product is for research use only.

CATALOG NUMBER:

5611

List Size:
0.02 mg, 0.1 mg

List Price:

Price range: $99.00 through $445.00

Shipping Info
Customize your order
Custom Antibody Services

New & Featured Products

CATALOG NUMBER: PM-7369-HRP

CATALOG NUMBER: PM-7369-biotin

CATALOG NUMBER: PM-7369