Monoclonal

Product Type
Research Area
Clonality
Host Species
Species Reactivity
Tested Applications
Modifications
Conjugate
Product Badges
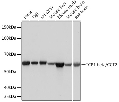
Western blot analysis of various lysates using TCP1 beta/CCT2 Rabbit mAb at 1:1000 dilution.|Secondary antibody: HRP-conjugated Goat anti-Rabbit IgG (H+L) at 1:10000 dilution.|Lysates/proteins: 25μg per lane.|Blocking buffer: 3% nonfat dry milk in TBST.|Detection: ECL Basic Kit.|Exposure time: 3s.
Clonality:
Monoclonal
Host Species:
Rabbit
Tested Applications:
ELISA, IHC-P, WB
Conjugate:
Unconjugated
Species Reactivity:
Human, Mouse, Rat
List Size:
100 uL
Western blot analysis of lysates from HeLa cells using TCPTP/PTPN2 Rabbit mAb at 1:1000 dilution incubated overnight at 4℃.|Secondary antibody: HRP-conjugated Goat anti-Rabbit IgG (H+L) at 1:10000 dilution.|Lysates/proteins: 25 μg per lane.|Blocking buffer: 3% nonfat dry milk in TBST.|Detection: ECL Basic Kit.|Exposure time: 10s.
Clonality:
Monoclonal
Host Species:
Rabbit
Tested Applications:
ELISA, WB
Conjugate:
Unconjugated
Species Reactivity:
Human, Mouse, Rat
List Size:
100 uL

CATALOG NUMBER: 77-207

Clonality:
Monoclonal
Host Species:
Hamster
Tested Applications:
Flow, Functional Assays, IF, IHC, IP
Conjugate:
Unconjugated
Species Reactivity:
Mouse
List Size:
0.1 mg

CATALOG NUMBER: 98-898

Clonality:
Monoclonal
Host Species:
Hamster
Tested Applications:
Adhesion, Blocking, ELISA, Flow, ICC, IHC-Fr, IP, WB, WB-NR
Conjugate:
Unconjugated
Species Reactivity:
Mouse
List Size:
0.5 mg

CATALOG NUMBER: 98-904

Clonality:
Monoclonal
Host Species:
Hamster
Tested Applications:
Flow
Conjugate:
Unconjugated
Species Reactivity:
Mouse
List Size:
0.5 mg
TCR beta Antibody [H57-597] (APC)

CATALOG NUMBER: 98-902

Clonality:
Monoclonal
Host Species:
Hamster
Tested Applications:
Flow, ICC, IHC-Fr, WB, WB-NR
Conjugate:
APC
Species Reactivity:
Mouse
List Size:
0.1 mg

CATALOG NUMBER: 77-215

Clonality:
Monoclonal
Host Species:
Hamster
Tested Applications:
Flow
Conjugate:
APC
Species Reactivity:
Mouse
List Size:
0.1 mg

CATALOG NUMBER: 77-216

Clonality:
Monoclonal
Host Species:
Hamster
Tested Applications:
Flow
Conjugate:
APC
Species Reactivity:
Mouse
List Size:
0.025 mg
TCR beta Antibody [H57-597] (Biotin)

CATALOG NUMBER: 98-900

Clonality:
Monoclonal
Host Species:
Hamster
Tested Applications:
Flow
Conjugate:
Biotin
Species Reactivity:
Mouse
List Size:
0.5 mg
TCR beta Antibody [H57-597] (FITC)

CATALOG NUMBER: 98-899

Clonality:
Monoclonal
Host Species:
Hamster
Tested Applications:
Flow
Conjugate:
FITC
Species Reactivity:
Mouse
List Size:
0.5 mg